Skip to main content

Key Product Details

Validated by

Knockout/Knockdown

Species Reactivity

Validated:

Human, Mouse

Cited:

Human, Mouse

Applications

Validated:

Immunohistochemistry, Western Blot, Immunocytochemistry, Simple Western

Cited:

Immunohistochemistry, Western Blot, Immunocytochemistry, Chromatin Immunoprecipitation (ChIP), Chromatin Immunoprecipitation Sequencing

Label

Unconjugated

Antibody Source

Polyclonal Goat IgG

Product Specifications

Immunogen

E. coli-derived recombinant human GATA-2
Ala15-Thr279
Accession # P23769

Specificity

Detects human and mouse GATA-2 in Western blots.

Clonality

Polyclonal

Host

Goat

Isotype

IgG

Scientific Data Images for Human/Mouse GATA-2 Antibody

Detection of Human GATA-2 antibody by Western Blot.

Detection of Human GATA‑2 by Western Blot.

Western blot shows lysates of NIH-3T3 mouse embryonic fibroblast cell line and KG-1 human acute myelogenous leukemia cell line. PVDF membrane was probed with 0.5 µg/mL of Human/Mouse GATA-2 Antigen Affinity-purified Polyclonal Antibody (Catalog # AF2046) followed by HRP-conjugated Anti-Goat IgG Secondary Antibody (Catalog # HAF017). A specific band was detected for GATA-2 at approximately 51 kDa (as indicated). This experiment was conducted under reducing conditions and using Immunoblot Buffer Group 1.
Detection of Human GATA-2 antibody by Western Blot.

Detection of Human GATA‑2 by Western Blot.

Western blot shows lysates of LNCaP human prostate cancer cell line and SH-SY5Y human neuroblastoma cell line. PVDF membrane was probed with 0.5 µg/mL of Goat Anti-Human/Mouse GATA-2 Antigen Affinity-purified Polyclonal Antibody (Catalog # AF2046) followed by HRP-conjugated Anti-Goat IgG Secondary Antibody (Catalog # HAF017). A specific band was detected for GATA-2 at approximately 55 kDa (as indicated). This experiment was conducted under reducing conditions and using Immunoblot Buffer Group 1.

GATA-2 in HUVEC Human Cells.

GATA-2 was detected in immersion fixed HUVEC human umbilical vein endothelial cells using Goat Anti-Human/Mouse GATA-2 Antigen Affinity-purified Polyclonal Antibody (Catalog # AF2046) at 5 µg/mL for 3 hours at room temperature. Cells were stained using the NorthernLights™ 557-conjugated Anti-Goat IgG Secondary Antibody (red; NL001) and counterstained with DAPI (blue). Specific staining was localized to cell nuclei. Staining was performed using our protocol for Fluorescent ICC Staining of Non-adherent Cells.

Applications for Human/Mouse GATA-2 Antibody

Application
Recommended Usage

Immunocytochemistry

5-15 µg/mL
Sample: Immersion fixed HUVEC human umbilical vein endothelial cells  and SH‑SY5Y human neuroblastoma cell line

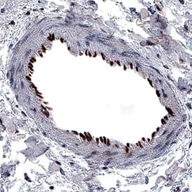
Immunohistochemistry

1-15 µg/mL
Sample: Immersion fixed paraffin-embedded sections of human duodenum (blood vessel)

Simple Western

5 µg/mL
Sample: KG‑1 human acute myelogenous leukemia cell line

Western Blot

0.5 µg/mL
Sample: NIH-3T3 mouse embryonic fibroblast cell line, KG-1 human acute myelogenous leukemia cell line, LNCaP human prostate cancer cell line, and SH‑SY5Y human neuroblastoma cell line

Reviewed Applications

Read 1 review rated 5 using AF2046 in the following applications:

Formulation, Preparation, and Storage

Purification

Antigen Affinity-purified

Reconstitution

Reconstitute at 0.2 mg/mL in sterile PBS. For liquid material, refer to CoA for concentration.

Reconstitution Buffer Available:
Size / Price
Qty
Loading...

Formulation

Lyophilized from a 0.2 μm filtered solution in PBS with Trehalose. *Small pack size (SP) is supplied either lyophilized or as a 0.2 µm filtered solution in PBS.

Shipping

Lyophilized product is shipped at ambient temperature. Liquid small pack size (-SP) is shipped with polar packs. Upon receipt, store immediately at the temperature recommended below.

Stability & Storage

Use a manual defrost freezer and avoid repeated freeze-thaw cycles.
  • 12 months from date of receipt, -20 to -70 °C as supplied.
  • 1 month, 2 to 8 °C under sterile conditions after reconstitution.
  • 6 months, -20 to -70 °C under sterile conditions after reconstitution.

Background: GATA-2

GATA factors constitute a family of transcriptional regulatory factors that bind to the consensus DNA sequence (A/T) GATA (A/G) to control diverse tissue-specific programs of gene expression and morphogenesis. GATA-1/2/3 are each expressed in the hematopoietic system while GATA 4/5/6 are each expressed in the developing heart and in gastrointestinal and gut-derived tissues (1, 2).

References

  1. Tsai, S.F. et al. (1989) Nature 339:446.
  2. Jiang, Y. and T. Evans (1996) Dev. Biol. 174:258.

Alternate Names

GATA2

Entrez Gene IDs

2624 (Human)

Gene Symbol

GATA2

UniProt

Additional GATA-2 Products

Product Documents for Human/Mouse GATA-2 Antibody

Certificate of Analysis

To download a Certificate of Analysis, please enter a lot number in the search box below.

Note: Certificate of Analysis not available for kit components.

Product Specific Notices for Human/Mouse GATA-2 Antibody

For research use only

Loading...
Loading...
Loading...
Loading...