Skip to main content

Key Product Details

Species Reactivity

Validated:

Human, Mouse

Cited:

Human, Mouse, Avian - Chicken

Applications

Validated:

Immunohistochemistry, Western Blot, Neutralization

Cited:

Immunohistochemistry, Immunohistochemistry-Paraffin, Western Blot, Immunocytochemistry, In ovo assay

Label

Unconjugated

Antibody Source

Monoclonal Mouse IgG1 Clone # 47109

Product Specifications

Immunogen

E. coli-derived recombinant mouse FGF-8b
Gln23-Arg215
Accession # NP_001159834

Specificity

Detects human and mouse FGF-8 in direct ELISAs and Western blots. In direct ELISAs and Western blots, less than 2% cross-reactivity with recombinant human  (rh) FGF-5, rhFGF-7, and rhFGF-9 is observed.

Clonality

Monoclonal

Host

Mouse

Isotype

IgG1

Endotoxin Level

<0.10 EU per 1 μg of the antibody by the LAL method.

Scientific Data Images for Human/Mouse FGF-8 Antibody

Cell Proliferation Induced by FGF‑8 and Neutralization by Human and Mouse FGF‑8 Antibody.

Cell Proliferation Induced by FGF‑8 and Neutralization by Human and Mouse FGF‑8 Antibody.

Recombinant Mouse FGF-8 c Isoform (Catalog # 424-FC) stimulates proliferation in the the NR6R-3T3 mouse fibroblast cell line in a dose-dependent manner (orange line). Proliferation elicited by Recombinant Mouse FGF-8 c Isoform (125 ng/mL) is neutralized (green line) by increasing concentrations of Mouse Anti-Human/Mouse FGF-8 Monoclonal Antibody (Catalog # MAB323). The ND50 is typically 0.25-0.75 µg/mL in the presence of heparin (0.1 µg/mL).
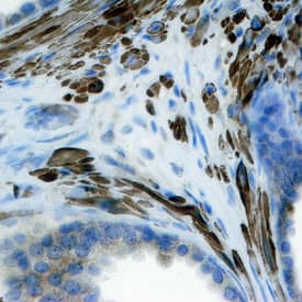
FGF-8 antibody in Human Prostate by Immunohistochemistry (IHC-P).

FGF‑8 in Human Prostate.

FGF-8 was detected in immersion fixed paraffin-embedded sections of human prostate using Mouse Anti-Human/Mouse FGF-8 Monoclonal Antibody (Catalog # MAB323) at 25 µg/mL overnight at 4 °C. Tissue was stained using the Anti-Mouse HRP-DAB Cell & Tissue Staining Kit (brown; Catalog # CTS002) and counterstained with hematoxylin (blue). Specific staining was localized to stromal cell cytoplasm. View our protocol for Chromogenic IHC Staining of Paraffin-embedded Tissue Sections.
Detection of Human/Mouse FGF-8 by Immunohistochemistry

Detection of Human/Mouse FGF-8 by Immunohistochemistry

Bafilomycin A1 (BAF) treatment demonstrates the polarization of ERK activity by FGF8 signal activity along the neuraltube. A-C) BAF amplifies ectopic ERK1/2 activity-related FGF8 induction revealing a clear polarized distribution of ERK1/2 activity around FGF8soaked beads depending of the implanted bead; rostral to IsO (C,D,G), or caudal to IsO (C,E). Nonetheles, isthmic organizer morphogenetic activityseems unaffected for Fgf8 (A) and negative regulator Sprouty 2 (B) expressions. Note that PBS bead implantation in control side (blue asterisk in C andF) did not show any ectopic induction. Two hours after bead implantation a clear amplified and almost non-homogeneous ERK1/2 activity wasdetected rostrally in the mesencephalon (rostral to the IsO), which was detected caudally when bead was placed in hindbrain (caudal to the IsO)territories (E). In telencephalic vesicles, caudal to the anr (H) the polarity of ERK activation was reversed. This polarized dpERK detection around thebead is lost at the zli (zona limitans intrathalamica) region (I). Similar symmetric ERK-related FGF8 signal found in zli was seen when placing a FGF8bead in the midbrain of Fgf8 hypomorphic mice (J,K). Importantly FGF8b protein distribution (M) was observed apparently in equal intensity andrange at rostral (N) and caudal (O) sides of the bead (for comparison with PBS bead in panel L). Scale bars are 0,5 mm in A, B, C, H, I, 200 mm in D, E, J,100 mm in F, G, K, L, M, and 50 mm in N, O. Image collected and cropped by CiteAb from the following publication (https://www.ncbi.nlm.nih.gov/pmc/articles/PMC3391221/), licensed under a CC-BY license. Not internally tested by R&D Systems.

Applications for Human/Mouse FGF-8 Antibody

Application
Recommended Usage

Immunohistochemistry

8-25 µg/mL
Sample: Immersion fixed paraffin-embedded sections of human prostate cancer tissue and normal human prostate

Western Blot

1 µg/mL
Sample: Recombinant Human FGF-8a (Catalog # 4745-F8)
Recombinant Mouse FG-8b (Catalog # 423-F8)
Recombinant Mouse FGF-8c (Catalog # 424-FC)
Recombinant Human FGF-8e (Catalog # 4746-F8)
Recombinant Human FGF-8f (Catalog # 5027-FF)

Neutralization

Measured by its ability to neutralize FGF-8-induced proliferation in the NR6R-3T3 mouse fibroblast cell line. Rizzino, A. et al. (1988) Cancer Res. 48:4266. The Neutralization Dose (ND50) is typically 0.25-0.75 µg/mL in the presence of 125 ng/mL Recombinant Mouse FGF-8 c Isoform and 0.1 µg/mL heparin.

Formulation, Preparation, and Storage

Purification

Protein A or G purified from ascites

Reconstitution

Reconstitute at 0.5 mg/mL in sterile PBS. For liquid material, refer to CoA for concentration.

Reconstitution Buffer Available:
Size / Price
Qty
Loading...

Formulation

Lyophilized from a 0.2 μm filtered solution in PBS with Trehalose. *Small pack size (SP) is supplied either lyophilized or as a 0.2 µm filtered solution in PBS.

Shipping

Lyophilized product is shipped at ambient temperature. Liquid small pack size (-SP) is shipped with polar packs. Upon receipt, store immediately at the temperature recommended below.

Stability & Storage

Use a manual defrost freezer and avoid repeated freeze-thaw cycles.
  • 12 months from date of receipt, -20 to -70 °C as supplied.
  • 1 month, 2 to 8 °C under sterile conditions after reconstitution.
  • 6 months, -20 to -70 °C under sterile conditions after reconstitution.

Background: FGF-8

FGF-8 is a member of the fibroblast growth factor family that was originally discovered as a growth factor essential for the androgen-dependent growth of mouse mammary carcinoma cells (1-3). Alternate splicing of mouse FGF-8 mRNA generates eight secreted isoforms, designated a-h, but only FGF-8a, b, e and f exist in humans (4). FGF-8 contains a 22 amino acid (aa) signal sequence, an N‑terminal domain that varies according to the isoform (30 aa for FGF-8b; 20 aa for the shortest, FGF-8a), a 125 aa FGF domain and a 37 aa proline‑rich C‑terminal sequence. The FGF domain of FGF-8 shares the most aa identity with FGF17 (75%) and FGF-18 (67%), and the three form an FGF subfamily (2). Mouse FGF-8b shares 100% aa identity with human FGF-8b. FGF-8 is widely expressed during embryogenesis, and mediates epithelial-mesenchymal transitions. It plays an organizing and inducing role during gastrulation, and regulates patterning of the midbrain/hindbrain, eye, ear, limbs and heart in the embryo (2, 5 - 8). The isoforms may play different roles in development. FGF-8b shows the strongest receptor affinity and oncogenic transforming capacity although FGF-8a and FGF-8e are also transforming and have been found in human prostate, breast or ovarian tumors (1, 5, 9-12). FGF-8 shows limited expression in the normal adult, but low levels are found in the reproductive and genitourinary tract, peripheral leukocytes and bone marrow hematopoietic cells (3, 9, 13).

References

  1. Mattila, M.M. and P.L. Harkonen (2007) Cytokine Growth Factor Rev. 18:257.
  2. Reuss, B. and O. von Bohlen und Halbach (2003) Cell Tiss. Res. 313:139.
  3. Tanaka, A. et al. (1992) Proc. Natl. Acad. Sci. USA 89:8928.
  4. Gemel, J. et al. (1996) Genomics 35:253.
  5. Olsen, S.K. et al. (2006) Genes Dev. 20:185.
  6. Crossley, P.H. et al. (1996) Cell, 84:127.
  7. Heikinheimo, M. et al. (1994) Mech. Dev. 48:129.
  8. Sun, X. et al. (1999) Genes Dev. 13:1834.
  9. Ghosh, A.K. et al. (1996) Cell Growth Differ. 7:1425.
  10. Mattila, M.M. et al. (2001) Oncogene 20:2791.
  11. Valve, E. et al. (2000) Int. J. Cancer 88:718.
  12. Valve, E.M. et al. (2001) Lab. Invest. 81:815.
  13. Nezu, M. et al. (2005) Biochem. Biophys. Res. Commun. 335:843.

Long Name

Fibroblast Growth Factor 8

Alternate Names

AIGF, FGF8, HBGF-8

Entrez Gene IDs

2253 (Human); 14179 (Mouse); 29349 (Rat)

Gene Symbol

FGF8

UniProt

Additional FGF-8 Products

Product Documents for Human/Mouse FGF-8 Antibody

Certificate of Analysis

To download a Certificate of Analysis, please enter a lot number in the search box below.

Note: Certificate of Analysis not available for kit components.

Product Specific Notices for Human/Mouse FGF-8 Antibody

For research use only

Loading...
Loading...
Loading...
Loading...