Skip to main content

Key Product Details

Species Reactivity

Validated:

Human, Mouse

Cited:

Mouse

Applications

Validated:

Immunohistochemistry, Western Blot, Immunocytochemistry

Cited:

Western Blot

Label

Unconjugated

Antibody Source

Polyclonal Goat IgG

Product Specifications

Immunogen

E. coli-derived recombinant human CRY1
Lys115-His224
Accession # Q16526

Specificity

Detects human and mouse CRY1 in direct ELISAs.

Clonality

Polyclonal

Host

Goat

Isotype

IgG

Scientific Data Images for Human/Mouse CRY1 Antibody

CRY1 antibody in MOLT-4 Human Cell Line by Immunocytochemistry (ICC).

CRY1 in MOLT‑4 Human Cell Line.

CRY1 was detected in immersion fixed MOLT-4 human acute lymphoblastic leukemia cell line using Goat Anti-Human/Mouse CRY1 Antigen Affinity-purified Polyclonal Antibody (Catalog # AF3764) at 5 µg/mL for 3 hours at room temperature. Cells were stained using the NorthernLights™ 557-conjugated Anti-Goat IgG Secondary Antibody (red; Catalog # NL001) and counterstained with DAPI (blue). Specific staining was localized to nuclei and cytoplasm. View our protocol for Fluorescent ICC Staining of Non-adherent Cells.

Detection of CRY1 in Human Testis.

CRY1 was detected in immersion fixed paraffin-embedded sections of human testis using Goat Anti-Human/Mouse CRY1 Antigen Affinity-purified Polyclonal Antibody (Catalog # AF3764) at 0.5 µg/ml for 1 hour at room temperature followed by incubation with the Anti-Goat IgG VisUCyte™ HRP Polymer Antibody (Catalog # VC004). Before incubation with the primary antibody, tissue was subjected to heat-induced epitope retrieval using VisUCyte Antigen Retrieval Reagent-Basic (Catalog # VCTS021). Tissue was stained using DAB (brown) and counterstained with hematoxylin (blue). Specific staining was localized to the nucleus and cytoplasm. View our protocol for IHC Staining with VisUCyte HRP Polymer Detection Reagents.

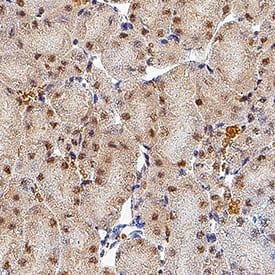
Detection of CRY1 in Mouse Kidney.

CRY1 was detected in immersion fixed paraffin-embedded sections of mouse kidney using Goat Anti-Human/Mouse CRY1 Antigen Affinity-purified Polyclonal Antibody (Catalog # AF3764) at 0.5 µg/ml for 1 hour at room temperature followed by incubation with the Anti-Goat IgG VisUCyte™ HRP Polymer Antibody (Catalog # VC004). Before incubation with the primary antibody, tissue was subjected to heat-induced epitope retrieval using VisUCyte Antigen Retrieval Reagent-Basic (Catalog # VCTS021). Tissue was stained using DAB (brown) and counterstained with hematoxylin (blue). Specific staining was localized to the nucleus and cytoplasm. View our protocol for IHC Staining with VisUCyte HRP Polymer Detection Reagents.

Applications for Human/Mouse CRY1 Antibody

Application
Recommended Usage

Immunocytochemistry

5-15 µg/mL
Sample: Immersion fixed MOLT‑4 human acute lymphoblastic leukemia cell line

Immunohistochemistry

0.5-15 µg/mL
Sample: Immersion fixed paraffin-embedded sections of human testis and mouse kidney.

Western Blot

0.1 µg/mL
Sample: Recombinant Human CRY1

Formulation, Preparation, and Storage

Purification

Antigen Affinity-purified

Reconstitution

Reconstitute at 0.2 mg/mL in sterile PBS. For liquid material, refer to CoA for concentration.

Reconstitution Buffer Available:
Size / Price
Qty
Loading...

Formulation

Lyophilized from a 0.2 μm filtered solution in PBS with Trehalose. See Certificate of Analysis for details.
*Small pack size (-SP) is supplied either lyophilized or as a 0.2 µm filtered solution in PBS.

Shipping

Lyophilized product is shipped at ambient temperature. Liquid small pack size (-SP) is shipped with polar packs. Upon receipt, store immediately at the temperature recommended below.

Stability & Storage

Use a manual defrost freezer and avoid repeated freeze-thaw cycles.
  • 12 months from date of receipt, -20 to -70 °C as supplied.
  • 1 month, 2 to 8 °C under sterile conditions after reconstitution.
  • 6 months, -20 to -70 °C under sterile conditions after reconstitution.

Background: CRY1

CRY1 is a critical component of the circadian oscillator that represses CLOCK:BMAL1 mediated transcription when translocated into the nucleus. It is a member of the DNA photolyase family but has no photolyase activity. Over the region used as immunogen, human and mouse CRY1 share 94% amino acid sequence homology.

Long Name

Cryptochrome 1

Alternate Names

Cryptochrome I, PHLL1

Entrez Gene IDs

1407 (Human); 12952 (Mouse); 299691 (Rat)

Gene Symbol

CRY1

UniProt

Additional CRY1 Products

Product Documents for Human/Mouse CRY1 Antibody

Certificate of Analysis

To download a Certificate of Analysis, please enter a lot number in the search box below.

Note: Certificate of Analysis not available for kit components.

Product Specific Notices for Human/Mouse CRY1 Antibody

For research use only

Loading...
Loading...
Loading...
Loading...