Human MMP-7 Antibody
R&D Systems, part of Bio-Techne | Catalog # AF907
Conjugate
Catalog #
Key Product Details
Species Reactivity
Validated:
Human
Cited:
Human, Mouse
Applications
Validated:
Immunohistochemistry, Western Blot, Neutralization, Dual RNAscope ISH-IHC Compatible, Simple Western, Immunoprecipitation
Cited:
Immunohistochemistry, Western Blot, Neutralization, ELISA Development
Label
Unconjugated
Antibody Source
Polyclonal Goat IgG
Product Specifications
Immunogen
Mouse myeloma cell line NS0-derived recombinant human MMP‑7
Leu18-Lys267
Accession # P09237
Leu18-Lys267
Accession # P09237
Specificity
Detects human MMP-7 in direct ELISAs and Western blots. In direct ELISAs, approximately 50% cross-reactivity with recombinant mouse MMP-7 is observed, and less than 1% cross-reactivity with recombinant human (rh) MMP‑8 and rhMMP-12 is observed.
Clonality
Polyclonal
Host
Goat
Isotype
IgG
Scientific Data Images for Human MMP-7 Antibody
Detection of Human MMP‑7 by Western Blot.
Western blot shows lysates of Capan-1 human pancreatic adenocarcinoma cell line and HT-29 human colon adenocarcinoma cell line. PVDF membrane was probed with 1 µg/mL of Goat Anti-Human MMP-7 Antigen Affinity-purified Polyclonal Antibody (Catalog # AF907) followed by HRP-conjugated Anti-Goat IgG Secondary Antibody (Catalog # HAF017). A specific band was detected for MMP-7 at approximately 28 kDa (as indicated). This experiment was conducted under reducing conditions and using Immunoblot Buffer Group 1.MMP‑7 in Human Pancreas.
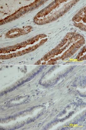
MMP-7 was detected in immersion fixed paraffin-embedded sections of human pancreas array using Goat Anti-Human MMP-7 Antigen Affinity-purified Polyclonal Antibody (Catalog # AF907) at 10 µg/mL overnight at 4 °C. Tissue was stained using the Anti-Goat HRP-DAB Cell & Tissue Staining Kit (brown; Catalog # CTS008) and counterstained with hematoxylin (blue). Lower panel shows a lack of labeling if primary antibodies are omitted and tissue is stained only with secondary antibody followed by incubation with detection reagents. View our protocol for Chromogenic IHC Staining of Paraffin-embedded Tissue Sections.Detection of Human MMP‑7 by Simple WesternTM.
Simple Western lane view shows lysates of normal stem cells (negative control) and Crohn's stem cells, loaded at 0.2 mg/mL. A specific band was detected for MMP-7 at approximately 10 kDa (as indicated) using 10 µg/mL of Goat Anti-Human MMP-7 Antigen Affinity-purified Polyclonal Antibody (Catalog # AF907) followed by 1:50 dilution of HRP-conjugated Anti-Goat IgG Secondary Antibody (Catalog # HAF109). This experiment was conducted under reducing conditions and using the 12-230 kDa separation system.Applications for Human MMP-7 Antibody
Application
Recommended Usage
Dual RNAscope ISH-IHC Compatible
5-15 µg/mL
Sample: Immersion fixed paraffin-embedded sections of human pancreas
Sample: Immersion fixed paraffin-embedded sections of human pancreas
Immunohistochemistry
5-15 µg/mL
Sample: Immersion fixed paraffin-embedded sections of human pancreas subjected to Antigen Retrieval Reagent-Basic (Catalog # CTS013)
Sample: Immersion fixed paraffin-embedded sections of human pancreas subjected to Antigen Retrieval Reagent-Basic (Catalog # CTS013)
Immunoprecipitation
25 µg/mL
Sample: Conditioned cell culture medium spiked with Recombinant Human MMP‑7 (Catalog # 907‑MP), see our available Western blot detection antibodies
Sample: Conditioned cell culture medium spiked with Recombinant Human MMP‑7 (Catalog # 907‑MP), see our available Western blot detection antibodies
Simple Western
10 µg/mL
Sample: Crohn's stem cells
Sample: Crohn's stem cells
Western Blot
1 µg/mL
Sample: Capan‑1 human pancreatic adenocarcinoma cell line and HT‑29 human colon adenocarcinoma cell line
Sample: Capan‑1 human pancreatic adenocarcinoma cell line and HT‑29 human colon adenocarcinoma cell line
Reviewed Applications
Read 1 review rated 4 using AF907 in the following applications:
Formulation, Preparation, and Storage
Purification
Antigen Affinity-purified
Reconstitution
Reconstitute at 0.2 mg/mL in sterile PBS. For liquid material, refer to CoA for concentration.
Formulation
Lyophilized from a 0.2 μm filtered solution in PBS with Trehalose. See Certificate of Analysis for details.
*Small pack size (-SP) is supplied either lyophilized or as a 0.2 µm filtered solution in PBS.
*Small pack size (-SP) is supplied either lyophilized or as a 0.2 µm filtered solution in PBS.
Shipping
Lyophilized product is shipped at ambient temperature. Liquid small pack size (-SP) is shipped with polar packs. Upon receipt, store immediately at the temperature recommended below.
Stability & Storage
Use a manual defrost freezer and avoid repeated freeze-thaw cycles.
- 12 months from date of receipt, -20 to -70 °C as supplied.
- 1 month, 2 to 8 °C under sterile conditions after reconstitution.
- 6 months, -20 to -70 °C under sterile conditions after reconstitution.
Background: MMP-7
alpha‑defensin activation in innate host defense, releases tumor necrosis factor‑ alpha in a model of herniated disc resorption, and cleaves FasL to generate a soluble form in a model of prostate involution. Structurally, MMP-7 is the smallest of the MMPs and consists of two domains: a pro-domain that is cleaved upon activation and a catalytic domain containing the zinc-binding site.
Long Name
Matrix Metalloproteinase 7
Alternate Names
Matrilysin, MMP7
Gene Symbol
MMP7
UniProt
Additional MMP-7 Products
Product Documents for Human MMP-7 Antibody
Product Specific Notices for Human MMP-7 Antibody
For research use only
Loading...
Loading...
Loading...
Loading...