Skip to main content

Key Product Details

Validated by

Biological Validation

Species Reactivity

Validated:

Human

Cited:

Human, Mouse, Rat, Bovine, Canine, Rabbit

Applications

Validated:

Immunohistochemistry, Western Blot, Immunocytochemistry, Immunoprecipitation, Immunoaffinity Purification

Cited:

Immunohistochemistry, Immunohistochemistry-Paraffin, Immunohistochemistry-Frozen, Western Blot, Neutralization, Immunocytochemistry, Immunocytochemistry/ Immunofluorescence, ELISA Detection, ELISA Development

Label

Unconjugated

Antibody Source

Monoclonal Mouse IgG1 Clone # 87512

Product Specifications

Immunogen

Chinese hamster ovary cell line CHO-derived recombinant human MMP-13
Leu20-Cys471
Accession # P45452

Specificity

Detects human MMP-13 in direct ELISAs and Western blots. Detects both pro and active forms of human MMP-13 in Western blots. In direct ELISAs and Western blots, no cross-reactivity with recombinant human MMP-1, -2, -3, -7, -8, -9, -10, or -12 is observed.

Clonality

Monoclonal

Host

Mouse

Isotype

IgG1

Scientific Data Images for Human MMP-13 Antibody

MMP-13 antibody in MDA-MB-231 Human Cell Line by Immunocytochemistry (ICC).

MMP‑13 in MDA‑MB‑231 Human Cell Line.

MMP-13 was detected in immersion fixed MDA-MB-231 human breast cancer cell line using Human MMP-13 Monoclonal Antibody (Catalog # MAB511) at 5 µg/mL for 3 hours at room temperature. Cells were stained using the NorthernLights™ 493-conjugated Anti-Mouse IgG Secondary Antibody (green; Catalog # NL009) and counterstained with DAPI (blue). View our protocol for Fluorescent ICC Staining of Cells on Coverslips.
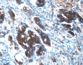
MMP-13 antibody in Human Ovarian Cancer Tissue by Immunohistochemistry (IHC-P).

MMP-13 in Human Ovarian Cancer Tissue.

MMP-13 was detected in immersion fixed paraffin-embedded sections of human ovarian cancer tissue using 8 µg/mL Mouse Anti-Human MMP-13 Monoclonal Antibody (Catalog # MAB511) overnight at 4 °C. Tissue was stained with the Anti-Mouse HRP-DAB Cell & Tissue Staining Kit (brown; Catalog # CTS002) and counterstained with hematoxylin (blue). View our protocol for Chromogenic IHC Staining of Paraffin-embedded Tissue Sections.
Detection of Canine MMP-13 by Western Blot

Detection of Canine MMP-13 by Western Blot

Effects of IGF-1 or/and PDGF-bb on IL-1 beta-induced NF-kappa B-dependent pro-inflammatory, pro-apoptotic and matrix degrading gene products in chondrocytes.To determine whether IGF-1 or/and PDGF-bbexert effects on IL-1 beta-induced NF-kappa B-dependent expression of pro-inflammatory, pro-apoptotic and matrix degrading gene products, primary chondrocytes were either stimulated with 10 ng/ml IL-1 beta, 10 ng/ml PDGF-bb, 10 ng/ml IGF-1 or combination of both growth factors (5 ng/ml each) or pre-stimulated for 12 h with 10 ng/ml PDGF-bb, 10 ng/ml IGF-1 or combination of both growth factors (5 ng/ml each) followed by 10 ng/ml IL-1 beta for 24. Equal amounts of total proteins were separated by SDS-PAGE and analyzed by immunoblotting using antibodies raised against COX-2, MMP-9 and MMP-13 and active caspase-3. Stimulation with IL-1 beta resulted in production of COX-2, MMP-9, MMP-13 and caspase-3 cleavage. Pre-treatment with a combination of both IGF-1 or/and PDGF-bb downregulated COX-2, MMP-9, MMP-13 and cleaved caspase-3. Image collected and cropped by CiteAb from the following publication (https://dx.plos.org/10.1371/journal.pone.0028663), licensed under a CC-BY license. Not internally tested by R&D Systems.

Applications for Human MMP-13 Antibody

Application
Recommended Usage

Immunoaffinity Purification

Sepharose beads coupled with this antibody have been used to immunoprecipitate and immunopurify Recombinant Human MMP-13 (Catalog # 511-MM) from conditioned media.

Immunocytochemistry

8-25 µg/mL
Sample: Immersion fixed MDA-MB-231 human breast cancer cell line

Immunohistochemistry

8-25 µg/mL
Sample: Immersion fixed paraffin-embedded sections of human ovarian cancer tissue

Immunoprecipitation

25 µg/mL
Sample: Conditioned cell culture medium spiked with Recombinant Human MMP‑13 (Catalog # 511‑MM), see our available Western blot detection antibodies

Western Blot

1 µg/mL
Sample: Recombinant Human MMP-13 Western Blot Standard (Catalog # WBC020)

Reviewed Applications

Read 6 reviews rated 4.7 using MAB511 in the following applications:

Formulation, Preparation, and Storage

Purification

Protein A or G purified from hybridoma culture supernatant

Reconstitution

Reconstitute at 0.5 mg/mL in sterile PBS. For liquid material, refer to CoA for concentration.

Reconstitution Buffer Available:
Size / Price
Qty
Loading...

Formulation

Lyophilized from a 0.2 μm filtered solution in PBS with Trehalose. *Small pack size (SP) is supplied either lyophilized or as a 0.2 µm filtered solution in PBS.

Shipping

Lyophilized product is shipped at ambient temperature. Liquid small pack size (-SP) is shipped with polar packs. Upon receipt, store immediately at the temperature recommended below.

Stability & Storage

Use a manual defrost freezer and avoid repeated freeze-thaw cycles.
  • 12 months from date of receipt, -20 to -70 °C as supplied.
  • 1 month, 2 to 8 °C under sterile conditions after reconstitution.
  • 6 months, -20 to -70 °C under sterile conditions after reconstitution.

Background: MMP-13

Matrix metalloproteinases are a family of zinc and calcium dependent endopeptidases with the combined ability to degrade all the components of the extracellular matrix. MMP-13 (Collagenase-3) has been demonstrated to degrade a range of extracellular matrix proteins, including collagen types I, II, III, IV, IX, X and XIV, gelatin, aggrecan, perlecan and fibronectin. MMP-13 is distinguished from the other human collagenases by its effecient degradation of type II collagen. MMP-13 is expressed by fibroblasts, chrondrocytes and squamous epithelial cells. Structurally, MMP-13 may be divided into several distinct domains; a pro-domain which is cleaved upon activation; a catalytic domain containing the zinc binding site; a short hinge region and a carboxyl terminal (hemopexin-like) domain.

References

  1. Jeffery, J.J. (1998) in Collagenase 3. A.J. Barrett, et al. (eds): Handbook of Proteolytic Enzymes, San Diego: Academic Press, p. 1167.

Long Name

Matrix Metalloproteinase 13

Alternate Names

MMP13

Entrez Gene IDs

4322 (Human)

Gene Symbol

MMP13

UniProt

Additional MMP-13 Products

Product Documents for Human MMP-13 Antibody

Certificate of Analysis

To download a Certificate of Analysis, please enter a lot number in the search box below.

Note: Certificate of Analysis not available for kit components.

Product Specific Notices for Human MMP-13 Antibody

For research use only

Loading...
Loading...
Loading...
Loading...