Skip to main content

Key Product Details

Species Reactivity

Validated:

Human

Cited:

Human

Applications

Validated:

Immunohistochemistry, Western Blot, Simple Western

Cited:

Western Blot

Label

Unconjugated

Antibody Source

Monoclonal Mouse IgG2B Clone # 539442

Product Specifications

Immunogen

E. coli-derived recombinant human ISG15/UCRP
Gly2-Gly157
Accession # ABW03539

Specificity

Detects human ISG15/UCRP in direct ELISAs and Western blots.

Clonality

Monoclonal

Host

Mouse

Isotype

IgG2B

Scientific Data Images for Human ISG15/UCRP Antibody

Detection of Human ISG15/UCRP antibody by Western Blot.

Detection of Human ISG15/UCRP by Western Blot.

Western blot shows lysates of MCF-7 human breast cancer cell line and HT-29 human colon adenocarcinoma cell line. PVDF membrane was probed with 0.5 µg/mL of Mouse Anti-Human ISG15/UCRP Monoclonal Antibody (Catalog # MAB4845) followed by HRP-conjugated Anti-Mouse IgG Secondary Antibody (Catalog # HAF007). A specific band was detected for ISG15/UCRP at approximately 15 kDa (as indicated). This experiment was conducted under reducing conditions and using Immunoblot Buffer Group 2.

Detection of Human ISG15/UCRP by Simple WesternTM.

Simple Western lane view shows lysates of MCF-7 human breast cancer cell line and HT-29 human colon adenocarcinoma cell line, loaded at 0.2 mg/mL. A specific band was detected for ISG15/UCRP at approximately 20 kDa (as indicated) using 5 µg/mL of Mouse Anti-Human ISG15/UCRP Monoclonal Antibody (Catalog # MAB4845) . This experiment was conducted under reducing conditions and using the 12-230 kDa separation system.

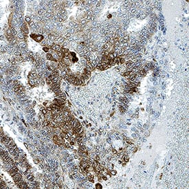
Detection of ISG15/UCRP in Human Endometrial Cancer.

ISG15/UCRP was detected in immersion fixed paraffin-embedded sections of Human Endometrial Cancer using Mouse Anti-Human ISG15/UCRP Monoclonal Antibody (Catalog # MAB4845) at 0.5 µg/mL for 1 hour at room temperature followed by incubation with the Anti-Mouse IgG VisUCyte™ HRP Polymer Antibody (Catalog # VC001). Before incubation with the primary antibody, tissue was subjected to heat-induced epitope retrieval using VisUCyte Antigen Retrieval Reagent-Basic (Catalog # VCTS021). Tissue was stained using DAB (brown) and counterstained with hematoxylin (blue). Specific staining was localized to cytoplasm in cancer cells. View our protocol for IHC Staining with VisUCyte HRP Polymer Detection Reagents.

Applications for Human ISG15/UCRP Antibody

Application
Recommended Usage

Immunohistochemistry

8-25 µg/mL
Sample: Immersion fixed paraffin-embedded sections of human endometrial cancer tissue

Simple Western

5 µg/mL
Sample: MCF-7 human breast cancer cell line and HT-29 human colon adenocarcinoma cell line

Western Blot

0.5 µg/mL
Sample: MCF-7 human breast cancer cell line and HT-29 human colon adenocarcinoma cell line

Reviewed Applications

Read 1 review rated 5 using MAB4845 in the following applications:

Formulation, Preparation, and Storage

Purification

Protein A or G purified from hybridoma culture supernatant

Reconstitution

Reconstitute at 0.5 mg/mL in sterile PBS. For liquid material, refer to CoA for concentration.

Reconstitution Buffer Available:
Size / Price
Qty
Loading...

Formulation

Lyophilized from a 0.2 μm filtered solution in PBS with Trehalose. *Small pack size (SP) is supplied either lyophilized or as a 0.2 µm filtered solution in PBS.

Shipping

Lyophilized product is shipped at ambient temperature. Liquid small pack size (-SP) is shipped with polar packs. Upon receipt, store immediately at the temperature recommended below.

Stability & Storage

Use a manual defrost freezer and avoid repeated freeze-thaw cycles.
  • 12 months from date of receipt, -20 to -70 °C as supplied.
  • 1 month, 2 to 8 °C under sterile conditions after reconstitution.
  • 6 months, -20 to -70 °C under sterile conditions after reconstitution.

Background: ISG15/UCRP

ISG15 (interferon-induced 15 kDa protein; also known as IP17) is a 15 kDa ubiquitin family protein that is expressed by a wide variety of cell types. ISG15 is induced by type I IFN, and like ubiquitin, becomes conjugated to intracellular proteins. Unlike ubiquitin, it does not target proteins for degradation. Instead, it is part of the antivirus response. Human proISG15 is 165 amino acids (aa) in length. There are two ubiquitin-like domains (aa 2‑78 and 79‑157) and a propeptide (aa 158‑165) that is cleaved intracellularly. Select blood mononuclear cells secrete mature ISG15, which is chemotactic for neutrophils. Mature human ISG15 shares 66% aa sequence identity with mouse ISG15.

Long Name

ISG15 Ubiquitin-like Modifier

Alternate Names

G1P2, IFI15, IP17, UCRP

Entrez Gene IDs

9636 (Human); 100038882 (Mouse); 298693 (Rat)

Gene Symbol

ISG15

UniProt

Additional ISG15/UCRP Products

Product Documents for Human ISG15/UCRP Antibody

Certificate of Analysis

To download a Certificate of Analysis, please enter a lot number in the search box below.

Note: Certificate of Analysis not available for kit components.

Product Specific Notices for Human ISG15/UCRP Antibody

For research use only

Loading...
Loading...
Loading...
Loading...