Skip to main content

Key Product Details

Species Reactivity

Human

Applications

Immunohistochemistry, Western Blot, Flow Cytometry, CyTOF-ready

Label

Unconjugated

Antibody Source

Polyclonal Goat IgG

Product Specifications

Immunogen

Mouse myeloma cell line NS0-derived recombinant human Insulin R/CD220
His28-Lys944
Accession # NP_001073285

Specificity

Detects human Insulin R/CD220 in direct ELISAs and Western blots.

Clonality

Polyclonal

Host

Goat

Isotype

IgG

Scientific Data Images for Human Insulin R/CD220 Antibody

Detection of Insulin R/CD220 in Human Blood Monocytes by Flow Cytometry.

Human peripheral blood monocytes were stained with Goat Anti-Human/Mouse Insulin R/CD220 Antigen Affinity-purified Polyclonal Antibody (Catalog # AF1544, filled histogram) or isotype control antibody (AB-108-C, open histogram) followed by Phycoerythrin-conjugated anti-Goat IgG (F0107). Staining was performed using our Staining Membrane-associated Proteins protocol.

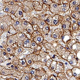
Insulin R/CD220 in Human Liver.

Insulin R/CD220 was detected in immersion fixed paraffin-embedded sections of human liver using Goat Anti-Human Insulin R/CD220 Antigen Affinity-purified Polyclonal Antibody (Catalog # AF1544) at 1 µg/mL for 1 hour at room temperature followed by incubation with the Anti-Goat IgG VisUCyte™ HRP Polymer Antibody (VC004). Before incubation with the primary antibody, tissue was subjected to heat-induced epitope retrieval using Antigen Retrieval Reagent-Basic (CTS013). Tissue was stained using DAB (brown) and counterstained with hematoxylin (blue). Specific staining was localized to cell membrane of hepatocytes. Staining was performed using our protocol for IHC Staining with VisUCyte HRP Polymer Detection Reagents.

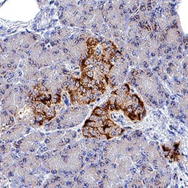
Insulin R/CD220 in Human Pancreas.

Insulin R/CD220 was detected in immersion fixed paraffin-embedded sections of human pancreas using Goat Anti-Human Insulin R/CD220 Antigen Affinity-purified Polyclonal Antibody (Catalog # AF1544) at 0.3 µg/mL for 1 hour at room temperature followed by incubation with the Anti-Goat IgG VisUCyte™ HRP Polymer Antibody (VC004). Before incubation with the primary antibody, tissue was subjected to heat-induced epitope retrieval using Antigen Retrieval Reagent-Basic (CTS013). Tissue was stained using DAB (brown) and counterstained with hematoxylin (blue). Specific staining was localized to cell membrane in islet cells. Staining was performed using our protocol for IHC Staining with VisUCyte HRP Polymer Detection Reagents.

Applications for Human Insulin R/CD220 Antibody

Application
Recommended Usage

CyTOF-ready

Ready to be labeled using established conjugation methods. No BSA or other carrier proteins that could interfere with conjugation.

Flow Cytometry

0.25 µg/106 cells
Sample: Human peripheral blood monocytes

Immunohistochemistry

0.3-15 µg/mL
Sample: Immersion fixed paraffin-embedded sections of human liver and immersion fixed paraffin-embedded sections of human pancreas

Western Blot

0.1 µg/mL
Sample: Recombinant Human Insulin R/CD220 (Catalog # 1544-IR)

Formulation, Preparation, and Storage

Purification

Antigen Affinity-purified

Reconstitution

Reconstitute at 0.2 mg/mL in sterile PBS. For liquid material, refer to CoA for concentration.

Reconstitution Buffer Available:
Size / Price
Qty
Loading...

Formulation

Lyophilized from a 0.2 μm filtered solution in PBS with Trehalose. *Small pack size (SP) is supplied either lyophilized or as a 0.2 µm filtered solution in PBS.

Shipping

Lyophilized product is shipped at ambient temperature. Liquid small pack size (-SP) is shipped with polar packs. Upon receipt, store immediately at the temperature recommended below.

Stability & Storage

Use a manual defrost freezer and avoid repeated freeze-thaw cycles.
  • 12 months from date of receipt, -20 to -70 °C as supplied.
  • 1 month, 2 to 8 °C under sterile conditions after reconstitution.
  • 6 months, -20 to -70 °C under sterile conditions after reconstitution.

Background: Insulin R/CD220

The Insulin Receptor (INS R) and insulin-like growth factor-1 receptor (IGF-1 R) constitute a subfamily of receptor tyrosine kinases (1‑4). The two receptors share structural similarity as well as overlapping intracellular signaling events, and are believed to have evolved through gene duplication from a common ancestral gene. INS R cDNA encodes a type I transmembrane single chain preproprotein with a putative 27 amino acid residues (aa) signal peptide. The large INS R extracellular domain is organized into two successive homologous globular domains, which are separated by a Cysteine-rich domain, followed by three fibronectin type III domains. The intracellular region contains the kinase domain sandwiched between the juxtamembrane domain used for docking insulin-receptor substrates (IRS), and the carboxy-terminal tail that contains two phosphotyrosine-binding sites. After synthesis, the single chain INS R precursor is glycosylated, dimerized and transported to the Golgi apparatus where it is processed at a furin-cleavage site within the middle fibronectin type III domain to generate the mature disulfide-linked  alpha2 beta2 tetrameric receptor. The alpha subunit is localized extracellularly and mediates ligand binding while the transmembrane beta subunit contains the cytoplasmic kinase domain and mediates intracellular signaling. As a result of alternative splicing, two INS R isoforms (A and B) that differ by the absence or presence, respectively, of a 12 aa residue sequence in the carboxyl terminus of the alpha subunit exist. Whereas the A isoform is predominantly expressed in fetal tissues and cancer cells, the B isoform is primarily expressed in adult differentiated cells. Both the A and B isoforms bind insulin with high-affinity, but the A isoform has considerably higher affinity for IGF‑I and IGF‑II. Ligand binding induces a conformational change of the receptor, resulting in ATP binding, autophosphorylation, and subsequent downstream signaling. INS R signaling is important in metabolic regulation, but may also contribute to cell growth, differentiation and apoptosis. Mutations in the INS R gene have been linked to insulin-resistant diabetes mellitus, noninsulin-dependent diabetes mellitus and leprechaunism, an extremely rare disorder characterized by abnormal resistance to insulin that results in a variety of distinguishing characteristics, including growth delays and abnormalities affecting the endocrine system. INS R is highly conserved between species, rat INS R shares 94% and 97% aa sequence homology with the human and mouse receptor, respectively.

References

  1. Nakae, J. et al. (2001) Endoc. Rev. 22:818.
  2. De Meyts, P. and J. Whittaker (2002) Nature Rev. Drug Disc. 1:769.
  3. Kim, J.J. and D. Accili (2002) Growth Hormone and IGF Res. 12:84.
  4. Sciacca, L. et al. (2003) Endocrinology 144:2650.

Long Name

Insulin Receptor

Alternate Names

CD220, INSR, InsulinR

Entrez Gene IDs

3643 (Human); 16337 (Mouse)

Gene Symbol

INSR

UniProt

Additional Insulin R/CD220 Products

Product Documents for Human Insulin R/CD220 Antibody

Certificate of Analysis

To download a Certificate of Analysis, please enter a lot number in the search box below.

Note: Certificate of Analysis not available for kit components.

Product Specific Notices for Human Insulin R/CD220 Antibody

For research use only

Loading...
Loading...
Loading...
Loading...
Loading...