Skip to main content

Human IgM Antibody

R&D Systems, part of Bio-Techne | Catalog # MAB9435

Recombinant Monoclonal Antibody.
R&D Systems, part of Bio-Techne

Key Product Details

Species Reactivity

Human

Applications

Multiplex Immunofluorescence, Immunohistochemistry, Western Blot, ELISA, Simple Western, COMET

Label

Unconjugated

Antibody Source

Monoclonal Rabbit IgG Clone # 2123A

Product Specifications

Immunogen

Immunoglobulin M (IgM), mu chain from human plasma

Specificity

Detects human IgM in Western blots.

Clonality

Monoclonal

Host

Rabbit

Isotype

IgG

Scientific Data Images for Human IgM Antibody

IgM in Human Non-Hodgkins Lymphoma via seqIF™ staining on COMET™

IgM was detected in immersion fixed paraffin-embedded sections of human Non-Hodgkins Lymphoma using Rabbit Anti-Human IgM, Monoclonal Antibody (Catalog #MAB9435) at 0.2ug/mL at 37° Celsius for 4 minutes. Before incubation with the primary antibody, tissue underwent an all-in-one dewaxing and antigen retrieval preprocessing using PreTreatment Module (PT Module) and Dewax and HIER Buffer H (pH 9; Epredia Catalog # TA-999-DHBH). Tissue was stained using the Alexa Fluor™ Plus 555 Goat anti-Rabbit IgG Secondary Antibody at 1:100 at 37 ° Celsius for 2 minutes. (Yellow; Lunaphore Catalog # DR555RB) and counterstained with DAPI (blue; Lunaphore Catalog # DR100). Specific staining was localized to the membrane. Protocol available in COMET™ Panel Builder.​​
Detection of Human IgM antibody by Western Blot.

Detection of Human IgM by Western Blot.

Western blot shows lysates of human serum, monkey serum, mouse serum and rat plasma. PVDF membrane was probed with 0.1 µg/mL of Rabbit Anti-Human IgM Monoclonal Antibody (Catalog # MAB9435) followed by HRP-conjugated Anti-Rabbit IgG Secondary Antibody (HAF008). A specific band was detected for IgM at approximately 65 kDa (as indicated). This experiment was conducted under reducing conditions and using Immunoblot Buffer Group 1.
Detection of Human IgM antibody by Simple WesternTM.

Detection of Human IgM by Simple WesternTM.

Simple Western lane view shows lysates of human serum, loaded at 0.2 mg/mL. A specific band was detected for IgM at approximately 100 kDa (as indicated) using 5 µg/mL of Rabbit Anti-Human IgM Monoclonal Antibody (Catalog # MAB9435). This experiment was conducted under reducing conditions and using the 12-230 kDa separation system.

Applications for Human IgM Antibody

Application
Recommended Usage

COMET

ELISA

This antibody functions as an ELISA capture antibody when paired with Rabbit Anti-Human IgM Monoclonal Antibody (Catalog # MAB94351).

This product is intended for assay development on various assay platforms requiring antibody pairs.

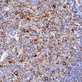
Immunohistochemistry

1-3 µg/mL
Sample: Immersion fixed paraffin-embedded sections of human tonsil

Multiplex Immunofluorescence

0.5 µg/mL
Sample: Immersion fixed paraffin-embedded sections of human non-Hodgkin's Lymphoma

Simple Western

5 µg/mL
Sample: Human serum

Western Blot

0.1 µg/mL
Sample: Human serum

Formulation, Preparation, and Storage

Purification

Protein A or G purified from cell culture supernatant

Reconstitution

Reconstitute at 0.5 mg/mL in sterile PBS. For liquid material, refer to CoA for concentration.

Reconstitution Buffer Available:
Size / Price
Qty
Loading...

Formulation

Lyophilized from a 0.2 μm filtered solution in PBS with Trehalose. See Certificate of Analysis for details.
*Small pack size (-SP) is supplied either lyophilized or as a 0.2 µm filtered solution in PBS.

Shipping

Lyophilized product is shipped at ambient temperature. Liquid small pack size (-SP) is shipped with polar packs. Upon receipt, store immediately at the temperature recommended below.

Stability & Storage

Use a manual defrost freezer and avoid repeated freeze-thaw cycles.
  • 12 months from date of receipt, -20 to -70 °C as supplied.
  • 1 month, 2 to 8 °C under sterile conditions after reconstitution.
  • 6 months, -20 to -70 °C under sterile conditions after reconstitution.

Background: IgM

R&D Systems offers a range of secondary antibodies and controls for flow cytometry, immunohistochemistry, and Western blotting. We provide species-specific secondary antibodies that are available with a variety of conjugated labels.

Our NorthernLights fluorescent secondary antibodies are bright and resistant to photobleaching. We are currently offering secondary antibodies recognizing mouse, rat, goat, sheep, and rabbit IgG as well as chicken IgY. These reagents are available with three distinct excitation and emission maxima, making them ideal for multi-color fluorescence microscopy.

Long Name

Immunoglobulin M

Alternate Names

AGM1, DKFZp686I15196, DKFZp686I15212, FLJ00385, immunoglobulin heavy constant mu, MGC104996, MGC52291, MU, VH

Additional IgM Products

Product Documents for Human IgM Antibody

Certificate of Analysis

To download a Certificate of Analysis, please enter a lot number in the search box below.

Note: Certificate of Analysis not available for kit components.

Product Specific Notices for Human IgM Antibody

For research use only

Loading...
Loading...
Loading...
Loading...