Skip to main content

Key Product Details

Validated by

Biological Validation

Species Reactivity

Human

Applications

Immunohistochemistry, Western Blot, Intracellular Staining by Flow Cytometry, Immunocytochemistry

Label

Unconjugated

Antibody Source

Recombinant Monoclonal Rabbit IgG Clone # 2128A

Product Specifications

Immunogen

Human HIST3H3 synthetic peptide

Specificity

Detects human HIST3H3 in Western blots.

Clonality

Monoclonal

Host

Rabbit

Isotype

IgG

Scientific Data Images for Human HIST3H3 Antibody

Detection of Human HIST3H3 antibody by Western Blot.

Detection of Human HIST3H3 by Western Blot.

Western blot shows lysates of HeLa human cervical epithelial carcinoma cell line untreated (-) or treated (+) with Sodium (Na) Butyrate. PVDF membrane was probed with 0.1 µg/mL of Rabbit Anti-Human HIST3H3 Monoclonal Antibody (Catalog # MAB9448) followed by HRP-conjugated Anti-Rabbit IgG Secondary Antibody (Catalog # HAF008). A specific band was detected for HIST3H3 at approximately 16 kDa (as indicated). This experiment was conducted under reducing conditions and using Immunoblot Buffer Group 1.
HIST3H3 antibody in HeLa Human Cell Line by Immunocytochemistry (ICC).

HIST3H3 in HeLa Human Cell Line.

HIST3H3 was detected in immersion fixed HeLa human cervical epithelial carcinoma cell line using Rabbit Anti-Human HIST3H3 Monoclonal Antibody (Catalog # MAB9448) at 0.3 µg/mL for 3 hours at room temperature. Cells were stained using the NorthernLights™ 557-conjugated Anti-Rabbit IgG Secondary Antibody (yellow; Catalog # NL004) and counterstained with DAPI (blue). Specific staining was localized to cell nuclei. View our protocol for Fluorescent ICC Staining of Cells on Coverslips.
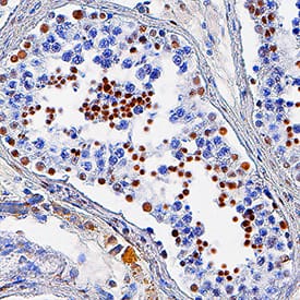
HIST3H3 antibody in Human Testis by Immunohistochemistry (IHC-P).

HIST3H3 in Human Testis.

HIST3H3 was detected in immersion fixed paraffin-embedded sections of human testis using Rabbit Anti-Human HIST3H3 Monoclonal Antibody (Catalog # MAB9448) at 3 µg/mL for 1 hour at room temperature followed by incubation with the Anti-Rabbit IgG VisUCyte™ HRP Polymer Antibody (Catalog # VC003). Tissue was stained using DAB (brown) and counterstained with hematoxylin (blue). Specific staining was localized to cell nuclei. View our protocol for IHC Staining with VisUCyte HRP Polymer Detection Reagents.

Applications for Human HIST3H3 Antibody

Application
Recommended Usage

Immunocytochemistry

0.3-25 µg/mL
Sample: Immersion fixed HeLa human cervical epithelial carcinoma cell line

Immunohistochemistry

3-25 µg/mL
Sample: Immersion fixed paraffin-embedded sections of human testis

Intracellular Staining by Flow Cytometry

0.25 µg/106 cells
Sample: HeLa Human Cell Line fixed and permeabilized with FlowX FoxP3 Fixation & Permeabilization Buffer Kit (Catalog # FC012).

Western Blot

0.1 µg/mL
Sample: HeLa human cervical epithelial carcinoma cell line

Reviewed Applications

Read 1 review rated 5 using MAB9448 in the following applications:

Formulation, Preparation, and Storage

Purification

Protein A or G purified from hybridoma culture supernatant

Reconstitution

Reconstitute at 0.5 mg/mL in sterile PBS. For liquid material, refer to CoA for concentration.

Reconstitution Buffer Available:
Size / Price
Qty
Loading...

Formulation

Lyophilized from a 0.2 μm filtered solution in PBS with Trehalose. *Small pack size (SP) is supplied either lyophilized or as a 0.2 µm filtered solution in PBS.

Shipping

Lyophilized product is shipped at ambient temperature. Liquid small pack size (-SP) is shipped with polar packs. Upon receipt, store immediately at the temperature recommended below.

Stability & Storage

Use a manual defrost freezer and avoid repeated freeze-thaw cycles.
  • 12 months from date of receipt, -20 to -70 °C as supplied.
  • 1 month, 2 to 8 °C under sterile conditions after reconstitution.
  • 6 months, -20 to -70 °C under sterile conditions after reconstitution.

Background: HIST3H3

Histones are alkaline proteins which organize nuclear DNA into nucleosomes. Histone H3 is one of four core histones, which exist as dimers to form an octameric histone core. Epigenetic modification of the exposed histone tails by methylation or acetylation is known to regulate transcription in various ways and is known to affect the etiology of a variety of cancers and developmental defects.  Methylation by methyltranserases mediates transcriptional activation (SET1, Chd1), elongation (MLL, WDR5) or silencing (SET7/9, JMJD2A). Expression of H3K4 methyltransferases have been associated with solid tumors such as prostate, ovary, squamous cell carcinoma, hepatocellular carcinoma and cancers of the blood, including T-cell acute lymphoblastic leukemia, acute myeloid leukemia, acute lymphoblastic leukemia, and others.

Long Name

Histone Cluster 3 H3

Alternate Names

H3.4, H3/G, H3/T, H3FT, H3t, Histone 3, H3

Entrez Gene IDs

8290 (Human)

Gene Symbol

H3-4

Additional HIST3H3 Products

Product Documents for Human HIST3H3 Antibody

Certificate of Analysis

To download a Certificate of Analysis, please enter a lot number in the search box below.

Note: Certificate of Analysis not available for kit components.

Product Specific Notices for Human HIST3H3 Antibody

For research use only

Loading...
Loading...
Loading...
Loading...
Loading...