Skip to main content

Human Granzyme K Antibody

R&D Systems, part of Bio-Techne | Catalog # MAB10216

Recombinant Monoclonal Antibody.
Catalog #
Availability
Size / Price
Qty
Loading...
MAB10216-100
MAB10216-SP

Key Product Details

Species Reactivity

Validated:

Human

Cited:

Human

Applications

Validated:

Immunohistochemistry, Western Blot, Flow Cytometry

Cited:

Western Blot

Label

Unconjugated

Antibody Source

Monoclonal Rabbit IgG Clone # 2471A

Product Specifications

Immunogen

Synthetic peptide containing human Granzyme K
Accession # P49863

Specificity

Detects human Granzyme K in direct ELISAs.

Clonality

Monoclonal

Host

Rabbit

Isotype

IgG

Scientific Data Images for Human Granzyme K Antibody

Detection of Human Granzyme K antibody by Western Blot.

Detection of Human Granzyme K by Western Blot.

Western blot shows lysates of human NK cells, U2OS human osteosarcoma cell line, and RT-4 human bladder carcinoma cell line. PVDF membrane was probed with 0.1 µg/mL of Rabbit Anti-Human Granzyme K Monoclonal Antibody (Catalog # MAB10216) followed by HRP-conjugated Anti-Rabbit IgG Secondary Antibody (HAF008). A specific band was detected for Granzyme K at approximately 30 kDa (as indicated). This experiment was conducted under reducing conditions and using Immunoblot Buffer Group 1.
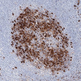
Granzyme K antibody in Human Tonsil by Immunohistochemistry (IHC-P).

Granzyme K in Human Tonsil.

Granzyme K was detected in immersion fixed paraffin-embedded sections of human tonsil using Rabbit Anti-Human Granzyme K Monoclonal Antibody (Catalog # MAB10216) at 5 µg/mL for 1 hour at room temperature followed by incubation with the Anti-Rabbit IgG VisUCyte™ HRP Polymer Antibody (VC003). Before incubation with the primary antibody, tissue was subjected to heat-induced epitope retrieval using Antigen Retrieval Reagent-Basic (CTS013). Tissue was stained using DAB (brown) and counterstained with hematoxylin (blue). Specific staining was localized to cytoplasm in lymphocytes. View our protocol for IHC Staining with VisUCyte HRP Polymer Detection Reagents.

Detection of Granzyme K in expanded Human NK cells by Flow Cytometry.

Detection of Granzyme K in expanded Human NK cells by Flow Cytometry. NK cells were expanded from Human peripheral blood mononuclear cells (PBMCs) for 14 days using ExCellerate™ Human NK Cell Expansion Media (CCM032). NK cells were stained with (A) Mouse Anti-Human Granzyme K Monoclonal Antibody (Catalog # MAB10216), followed by PE-conjugated anti-Rabbit IgG secondary antibody (F0110) and Rabbit Anti-Human CD56 Alexa Fluor® 647-conjugated Monoclonal Antibody (FAB24086R). (B) Quadrant markers were set based on control antibody staining (MAB1050). To facilitate intracellular staining, cells were fixed and permeabilized with FlowX FoxP3 Fixation & Permeabilization Buffer Kit (FC012). View our protocol for Staining Intracellular Molecules.

Applications for Human Granzyme K Antibody

Application
Recommended Usage

Flow Cytometry

25 µg/mL
Sample: Human peripheral blood mononuclear cells (PBMCs) 

Immunohistochemistry

5-25 µg/mL
Sample: Immersion fixed paraffin-embedded sections of human tonsil

Western Blot

0.1 µg/mL
Sample: Human NK cells, U2OS human osteosarcoma cell line, and RT-4 human bladder carcinoma cell line

Formulation, Preparation, and Storage

Purification

Protein A or G purified from cell culture supernatant

Reconstitution

Reconstitute at 0.5 mg/mL in sterile PBS. For liquid material, refer to CoA for concentration.

Reconstitution Buffer Available:
Size / Price
Qty
Loading...

Formulation

Lyophilized from a 0.2 μm filtered solution in PBS with Trehalose. *Small pack size (SP) is supplied either lyophilized or as a 0.2 µm filtered solution in PBS.

Shipping

Lyophilized product is shipped at ambient temperature. Liquid small pack size (-SP) is shipped with polar packs. Upon receipt, store immediately at the temperature recommended below.

Stability & Storage

Use a manual defrost freezer and avoid repeated freeze-thaw cycles.
  • 12 months from date of receipt, -20 to -70 °C as supplied.
  • 1 month, 2 to 8 °C under sterile conditions after reconstitution.
  • 6 months, -20 to -70 °C under sterile conditions after reconstitution.

Background: Granzyme K

Granzymes are released by cytoplasmic granules within NK and cytotoxic T cells.  They are serine proteases that induce apoptosis in the target cell.  Granzymes have also been found to help initiate the inflammatory response by activating macrophages and mast cells when in an extracellular state.  Granzymes have also been found to protect the body against the formation of different kinds of lymphomas.

References

  1. Bots, M. and JP Medema (2006). J.Cell Sci. 119:5011.
  2. Walch, M. et al. (2014). Cell. 157:1309.
  3. Cullen, SP. et al. (2010). Cell Death Differ. 17:616.

Alternate Names

Fragmentin-3, Granzyme 3, Granzyme-K, GZMK, NK-Tryp-2, NK-Tryptase-2, TRYP2, Tryptase II

Entrez Gene IDs

3003 (Human); 14945 (Mouse); 29165 (Rat)

Gene Symbol

GZMK

UniProt

Additional Granzyme K Products

Product Documents for Human Granzyme K Antibody

Certificate of Analysis

To download a Certificate of Analysis, please enter a lot number in the search box below.

Note: Certificate of Analysis not available for kit components.

Product Specific Notices for Human Granzyme K Antibody

For research use only

Loading...
Loading...
Loading...
Loading...
Loading...
Loading...