Skip to main content

Human Glycophorin A Antibody

R&D Systems, part of Bio-Techne | Catalog # MAB1228

R&D Systems, part of Bio-Techne
Catalog #
Availability
Size / Price
Qty
Loading...
MAB1228-100
MAB1228-500
MAB1228-SP

Key Product Details

Species Reactivity

Validated:

Human

Cited:

Human

Applications

Validated:

Immunohistochemistry, Flow Cytometry, Immunoprecipitation, CyTOF-ready

Cited:

Flow Cytometry, ELISA Capture

Label

Unconjugated

Antibody Source

Monoclonal Mouse IgG1 Clone # R10

Product Specifications

Immunogen

Abelson mouse leukemia virus-induced human pre-B tumor cells

Specificity

Detects human Glycophorin A, the major sialoglycoprotein expressed on red blood cells and erythroid precursor cells [Greaves, M.F. et al. (1983) Blood 61(4):645].

Clonality

Monoclonal

Host

Mouse

Isotype

IgG1

Scientific Data Images for Human Glycophorin A Antibody

Detection of Glycophorin A antibody in TF-1 Human Cell Line antibody by Flow Cytometry.

Detection of Glycophorin A in TF‑1 Human Cell Line by Flow Cytometry.

TF-1 human erythroleukemic cell line was stained with Mouse Anti-Human Glycophorin A Monoclonal Antibody (Catalog # MAB1228, filled histogram) or isotype control antibody (Catalog # MAB002, open histogram), followed by Phycoerythrin-conjugated Anti-Mouse IgG Secondary Antibody (Catalog # F0102B).
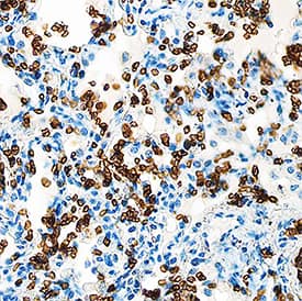
Glycophorin A antibody in Human Lung by Immunohistochemistry (IHC-P).

Glycophorin A in Human Lung.

Glycophorin A was detected in immersion fixed paraffin-embedded sections of human lung using Mouse Anti-Human Glycophorin A Monoclonal Antibody (Catalog # MAB1228) at 1.7 µg/mL overnight at 4 °C. Tissue was stained using the Anti-Mouse HRP-DAB Cell & Tissue Staining Kit (brown; Catalog # CTS002) and counterstained with hematoxylin (blue). Specific staining was localized to cell membranes of red blood cells. View our protocol for Chromogenic IHC Staining of Paraffin-embedded Tissue Sections.

Applications for Human Glycophorin A Antibody

Application
Recommended Usage

CyTOF-ready

Ready to be labeled using established conjugation methods. No BSA or other carrier proteins that could interfere with conjugation.

Flow Cytometry

0.25 µg/106 cells
Sample: TF-1 human erythroleukemic cell line

Immunohistochemistry

Rearden, A. et al. (1985) Mol. Immunol. 22:369; San Miguel, J.F. et al. (1985) Br. J. Haematol. 59:297.

Immunoprecipitation

Blanchard, D. et al. (1983) Biochem. J. 213:399.

Formulation, Preparation, and Storage

Purification

Protein A or G purified from hybridoma culture supernatant

Reconstitution

Reconstitute at 0.5 mg/mL in sterile PBS. For liquid material, refer to CoA for concentration.

Reconstitution Buffer Available:
Size / Price
Qty
Loading...

Formulation

Lyophilized from a 0.2 μm filtered solution in PBS with Trehalose. *Small pack size (SP) is supplied either lyophilized or as a 0.2 µm filtered solution in PBS.

Shipping

Lyophilized product is shipped at ambient temperature. Liquid small pack size (-SP) is shipped with polar packs. Upon receipt, store immediately at the temperature recommended below.

Stability & Storage

Use a manual defrost freezer and avoid repeated freeze-thaw cycles.
  • 12 months from date of receipt, -20 to -70 °C as supplied.
  • 1 month, 2 to 8 °C under sterile conditions after reconstitution.
  • 6 months, -20 to -70 °C under sterile conditions after reconstitution.

Background: Glycophorin A

Glycophorin A, also designated CD235a, is the major sialoglycoprotein expressed on red blood cells and erythroid precursor cells (1).

References

  1. Greaves, M.F. et al. (1983) Blood 61(4):645.

Alternate Names

CD235a, GPA, GYPA

Entrez Gene IDs

2993 (Human)

Gene Symbol

GYPA

Additional Glycophorin A Products

Product Documents for Human Glycophorin A Antibody

Certificate of Analysis

To download a Certificate of Analysis, please enter a lot number in the search box below.

Note: Certificate of Analysis not available for kit components.

Product Specific Notices for Human Glycophorin A Antibody

For research use only

Loading...
Loading...
Loading...
Loading...
Loading...