Skip to main content

Human Ferroportin/SLC40A1 Antibody

R&D Systems, part of Bio-Techne | Catalog # MAB9924

Recombinant Monoclonal Antibody.
R&D Systems, part of Bio-Techne

Key Product Details

Species Reactivity

Validated:

Human

Cited:

Human

Applications

Validated:

Immunohistochemistry, Flow Cytometry, CyTOF-ready

Cited:

Western Blot

Label

Unconjugated

Antibody Source

Recombinant Monoclonal Rabbit IgG Clone # 1308C

Product Specifications

Immunogen

Synthetic peptide containing human Ferroportin/SLC40A1
Accession # Q9NP59

Specificity

Detects human Ferroportin/SLC40A1 in direct ELISAs.

Clonality

Monoclonal

Host

Rabbit

Isotype

IgG

Scientific Data Images for Human Ferroportin/SLC40A1 Antibody

Detection of Ferroportin/SLC40A1 antibody in HEK293 Human Cell Line Transfected with Human Ferroportin/SLC40A1 and eGFP antibody by Flow Cytometry.

Detection of Ferroportin/SLC40A1 in HEK293 Human Cell Line Transfected with Human Ferroportin/SLC40A1 and eGFP by Flow Cytometry.

HEK293 human embryonic kidney cell line transfected with human Ferroportin/SLC40A1 and eGFP was stained with either (A) Rabbit Anti-Human Ferroportin/SLC40A1 Monoclonal Antibody (Catalog # MAB9924) or (B) Rabbit IgG Isotype Control (Catalog # MAB1050) followed by APC-conjugated Anti-Rabbit IgG Secondary Antibody (Catalog # F0111). View our protocol for Staining Membrane-associated Proteins.
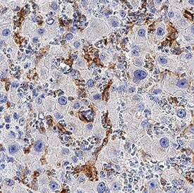
Ferroportin/SLC40A1 antibody in Human Liver by Immunohistochemistry (IHC-P).

Ferroportin/SLC40A1 in Human Liver.

Ferroportin/SLC40A1 was detected in immersion fixed paraffin-embedded sections of human liver using Rabbit Anti-Human Ferroportin/SLC40A1 Monoclonal Antibody (Catalog # MAB9924) at 1 µg/mL for 1 hour at room temperature followed by incubation with the Anti-Mouse IgG VisUCyte™ HRP Polymer Antibody (Catalog # VC001). Tissue was stained using DAB (brown) and counterstained with hematoxylin (blue). Specific staining was localized to cytoplasm in Kupffer cells. View our protocol for IHC Staining with VisUCyte HRP Polymer Detection Reagents.

Applications for Human Ferroportin/SLC40A1 Antibody

Application
Recommended Usage

CyTOF-ready

Ready to be labeled using established conjugation methods. No BSA or other carrier proteins that could interfere with conjugation.

Flow Cytometry

0.25 µg/mL
Sample: HEK293 Human Cell Line Transfected with Human Ferroportin/SLC40A1 and eGFP.

Immunohistochemistry

1-25 µg/mL
Sample: Immersion fixed paraffin-embedded sections of human liver

Formulation, Preparation, and Storage

Purification

Protein A or G purified from cell culture supernatant

Reconstitution

Reconstitute at 0.5 mg/mL in sterile PBS. For liquid material, refer to CoA for concentration.

Reconstitution Buffer Available:
Size / Price
Qty
Loading...

Formulation

Lyophilized from a 0.2 μm filtered solution in PBS with Trehalose. *Small pack size (SP) is supplied either lyophilized or as a 0.2 µm filtered solution in PBS.

Shipping

Lyophilized product is shipped at ambient temperature. Liquid small pack size (-SP) is shipped with polar packs. Upon receipt, store immediately at the temperature recommended below.

Stability & Storage

Use a manual defrost freezer and avoid repeated freeze-thaw cycles.
  • 12 months from date of receipt, -20 to -70 °C as supplied.
  • 1 month, 2 to 8 °C under sterile conditions after reconstitution.
  • 6 months, -20 to -70 °C under sterile conditions after reconstitution.

Background: Ferroportin/SLC40A1

Ferroportin-1 (FPN1), also known as solute carrier family 40 member 1 (SLC40A1) or iron-regulated transporter 1 (IREG1), is a multi-pass membrane protein that in humans is encoded by the SLC40A1 gene and is part of the Ferroportin (Fpn) Family. Ferroportin 1 is an iron-regulated transporter that is essential for iron homeostasis, playing a key role in intestinal iron absorption, as well as cellular iron release and efflux. Ferroportin can be regulated at many different levels including transcriptionally, post-transcriptionally, through mRNA stability and post-translationally, through protein turnover. Mutations affecting the SLC40A1 gene result in a disorder of iron metabolism characterized by iron overload. Excess iron is deposited in a variety of organs leading to their failure, and resulting in serious illnesses including cirrhosis, hepatomas, diabetes, cardiomyopathy and arthritis.

Long Name

Solute Carrier Family 40 Member 1

Alternate Names

FPN1, HFE4, IREG1, MST079, MTP1, SLC11A3, SLC40A1

Entrez Gene IDs

30061 (Human); 53945 (Mouse); 170840 (Rat)

Gene Symbol

SLC40A1

UniProt

Additional Ferroportin/SLC40A1 Products

Product Documents for Human Ferroportin/SLC40A1 Antibody

Certificate of Analysis

To download a Certificate of Analysis, please enter a lot number in the search box below.

Note: Certificate of Analysis not available for kit components.

Product Specific Notices for Human Ferroportin/SLC40A1 Antibody

For research use only

Loading...
Loading...
Loading...
Loading...
Loading...