Skip to main content

Key Product Details

Species Reactivity

Validated:

Human

Cited:

Human

Applications

Validated:

Knockout Validated, Multiplex Immunofluorescence, Immunohistochemistry, Western Blot, Flow Cytometry, Simple Western

Cited:

Western Blot

Label

Unconjugated

Antibody Source

Monoclonal Mouse IgG1 Clone # 1043759

Product Specifications

Immunogen

Mouse myeloma cell line NS0-derived human CD45 protein
Gln24-Lys575
Accession # P08575

Specificity

Detects human CD45 in direct ELISAs.

Clonality

Monoclonal

Host

Mouse

Isotype

IgG1

Scientific Data Images for Human CD45 Antibody

Detection CD45 in Human Lymph Node via Multiplex Immunofluorescence staining on COMET™

CD45 was detected in immersion fixed paraffin-embedded sections of human lymph node using Mouse Anti-Human CD45 Monoclonal Antibody (MAB14303) at 5µg/mL at 37 ° Celsius for 4 minutes. Before incubation with the primary antibody, tissue underwent an all-in-one dewaxing and antigen retrieval preprocessing using PreTreatment Module (PT Module) and Dewax and HIER Buffer H (pH 9). Tissue was stained using the Alexa Fluor™ 555 Goat anti-Mouse IgG Secondary Antibody at 1:100 at 37 ° Celsius for 2 minutes. (Yellow; Lunaphore Catalog # DR555MS) and counterstained with DAPI (blue; Lunaphore Catalog # DR100). Specific staining was localized to the membrane. Protocol available in COMET™ Panel Builder.

Detection of Human CD45 by Western Blot.

Western blot shows lysates of Jurkat human acute T cell leukemia cell line and MCF-7 human breast cancer cell line (negative control). PVDF membrane was probed with 1 µg/mL of Mouse Anti-Human CD45 Monoclonal Antibody (Catalog # MAB14303) followed by HRP-conjugated Anti-Mouse IgG Secondary Antibody (HAF018). A specific band was detected for CD45 at approximately 255 kDa (as indicated). GAPDH (MAB5718) is shown as a loading control. This experiment was conducted under reducing conditions and using Western Blot Buffer Group 1.

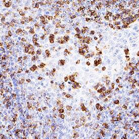
CD45 in Human Tonsil.

CD45 was detected in immersion fixed paraffin-embedded sections of human tonsil using Mouse Anti-Human CD45 Monoclonal Antibody (Catalog # MAB14303) at 5 µg/mL for 1 hour at room temperature followed by incubation with the Anti-Mouse IgG VisUCyte™ HRP Polymer Antibody (VC001). Before incubation with the primary antibody, tissue was subjected to heat-induced epitope retrieval using Antigen Retrieval Reagent-Basic (CTS013). Tissue was stained using DAB (brown) and counterstained with hematoxylin (blue). Specific staining was localized to lymphocytes. Staining was performed using our protocol for IHC Staining with VisUCyte HRP Polymer Detection Reagents.

Applications for Human CD45 Antibody

Application
Recommended Usage

Flow Cytometry

0.25 µg/106 cells
Sample: Human PBMC lymphocytes

Immunohistochemistry

5-25 µg/mL
Sample: Immersion fixed paraffin-embedded sections of human tonsil

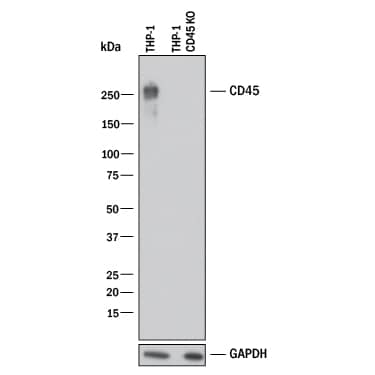
Knockout Validated

CD45 is specifically detected in THP‑1 human acute monocytic leukemia parental cell line but is not detectable in CD45 knockout THP‑1 human acute monocytic leukemia cell line.

Multiplex Immunofluorescence

5 µg/mL
Sample: Immersion fixed paraffin embedded sections of human lymph node

Simple Western

20 µg/mL
Sample: Jurkat human acute T cell leukemia cell line

Western Blot

1 µg/mL
Sample: Jurkat human acute T cell leukemia cell line

Formulation, Preparation, and Storage

Purification

Protein A or G purified from hybridoma culture supernatant

Reconstitution

Reconstitute at 0.5 mg/mL in sterile PBS. For liquid material, refer to CoA for concentration.

Reconstitution Buffer Available:
Size / Price
Qty
Loading...

Formulation

Lyophilized from a 0.2 μm filtered solution in PBS with Trehalose. *Small pack size (SP) is supplied either lyophilized or as a 0.2 µm filtered solution in PBS.

Shipping

Lyophilized product is shipped at ambient temperature. Liquid small pack size (-SP) is shipped with polar packs. Upon receipt, store immediately at the temperature recommended below.

Stability & Storage

Use a manual defrost freezer and avoid repeated freeze-thaw cycles.
  • 12 months from date of receipt, -20 to -70 °C as supplied.
  • 1 month, 2 to 8 °C under sterile conditions after reconstitution.
  • 6 months, -20 to -70 °C under sterile conditions after reconstitution.

Background: CD45

CD45, previously called LCA (leukocyte common antigen), T200, or Ly5 in mice, is member C of the class 1 (receptor-like) protein tyrosine phosphatase family (PTPRC) (1, 2). It is a variably glycosylated 180-220 kDa transmembrane protein that is abundantly expressed on all nucleated cells of hematopoietic origin (1-3). CD45 has several isoforms, expressed according to cell type, developmental stage and antigenic exposure (1-5). The longest form, CD45RABC (called B220 in mouse), is expressed on B lymphocytes (5). The CD45RABC cDNA encodes 1304 amino acids (aa), including a 23 aa signal sequence, a 552 aa extracellular domain containing the splicing region, a cysteine-rich region and two fibronectin type III domains, a 22 aa transmembrane sequence, and a 707 aa cytoplasmic domain that contains two phosphatase domains, D1 and D2. Only D1 has phosphatase activity. CD45R0 is the shortest form, lacking exons 4, 5 and 6 which encode aa 32-191. It is expressed on memory cells, while intermediate sizes are expressed on other T cells (3, 4, 6). CD45 has been best studied in T cells, where it determines T cell receptor signaling thresholds (3, 6-8). CD45 is moved into or out of the immunological synapse (IS) membrane microdomain depending on the relative influence of interaction with the extracellular galectin lattice or the intracellular actin cytoskeleton (9, 10). Galectin interaction can be fine-tuned by varying usage of the heavily
O-glycosylated spliced regions and sialylation of N-linked carbohydrates (4, 9). Within the IS, CD45 dephosphorylates and negatively regulates the Src family kinase, Lck (8-10). In other leukocytes, CD45 influences differentiation and links immunoreceptor signaling with cytokine secretion and cell survival, partially overlapping in function with DEP-1/CD148 (11-14). CD45 deletion causes in severe immunodeficiency, while point mutations may be associated with autoimmune disorders (6, 7).

References

  1. Anderson, J.N. et al. (2004) FASEB J. 18:8.
  2. Streuli, M. et al. (1987) J. Exp. Med. 166:1548.
  3. Hermiston, M.L. et al. (2003) Annu. Rev. Immunol. 21:107.
  4. Earl, L.A. and L.G. Baum (2008) Immunol. Cell Biol. 86:608.
  5. Ralph, S.J. et al. (1987) EMBO J. 6:1251.
  6. Falahti, R. and D. Leitenberg (2008) J. Immunol. 181:6082.
  7. Tchilian, E.Z. and P.C.L. Beverley (2006) Trends Immunol. 27:146.
  8. McNiell, L. et al. (2007) Immunity 27:425.
  9. Chen, I-J. et al. (2007) J. Biol. Chem. 282:35361.
  10. Freiberg, B.A. et al. (2002) Nat. Immunol. 3:911.
  11. Zhu, J.W. et al. (2008) Immunity 28:183.
  12. Huntington, N.D. et al. (2006) Nat. Immunol. 7:190.
  13. Hesslein, D.G. et al. (2006) Proc. Natl. Acad. Sci. USA 103:7012.
  14. Cross, J.L. et al. (2008) J. Immunol. 180:8020.

Long Name

Cluster of Differentiation 45

Alternate Names

CD45, LCA, PTPRC, T200 Glycoprotein

Entrez Gene IDs

5788 (Human); 19264 (Mouse); 490255 (Canine); 100061950 (Equine)

Gene Symbol

PTPRC

UniProt

Additional CD45 Products

Product Documents for Human CD45 Antibody

Certificate of Analysis

To download a Certificate of Analysis, please enter a lot number in the search box below.

Note: Certificate of Analysis not available for kit components.

Product Specific Notices for Human CD45 Antibody

For research use only

Loading...
Loading...
Loading...
Loading...
Loading...