Skip to main content

Human CCR7 Antibody

R&D Systems, part of Bio-Techne | Catalog # MAB197

Clone 150503 was used by HLDA to establish CD designation
R&D Systems, part of Bio-Techne

Key Product Details

Validated by

Biological Validation

Species Reactivity

Validated:

Human

Cited:

Human, Mouse, Canine, Complex Species Category, Primate, Primate - Callithrix jacchus (Common Marmoset), Primate - Macaca fascicularis (Crab-eating Monkey or Cynomolgus Macaque), Primate - Macaca mulatta (Rhesus Macaque), Rabbit

Applications

Validated:

Immunohistochemistry, Neutralization, Flow Cytometry, Dual RNAscope ISH-IHC Compatible, Immunocytochemistry, CyTOF-reported

Cited:

Immunohistochemistry, Immunohistochemistry-Paraffin, Western Blot, Neutralization, Flow Cytometry, Immunocytochemistry, Blocking, CyTof, Flow Cytomery, Functional Assay, Mass Cytometry

Label

Unconjugated

Antibody Source

Monoclonal Mouse IgG2A Clone # 150503

Product Specifications

Immunogen

Human CCR7 transfectants
Met1-Pro378
Accession # AAA58615

Specificity

Detects human CCR7.

Clonality

Monoclonal

Host

Mouse

Isotype

IgG2A

Endotoxin Level

<0.10 EU per 1 μg of the antibody by the LAL method.

Scientific Data Images for Human CCR7 Antibody

Detection of CCR7 antibody in Human PBMCs antibody by Flow Cytometry.

Detection of CCR7 in Human PBMCs by Flow Cytometry.

Human peripheral blood mononuclear cells (PBMCs) were stained with Mouse Anti-Human CD4 PE-conjugated Monoclonal Antibody (Catalog # FAB3791P) and either (A) Mouse Anti-Human CCR7 Monoclonal Antibody (Catalog # MAB197) or (B) Mouse IgG2AIsotype Control (Catalog # MAB003) followed by Allophycocyanin-conjugated Anti-Mouse IgG Secondary Antibody (Catalog # F0101B). View our protocol for Staining Membrane-associated Proteins.
CCR7 antibody in Human PBMCs by Immunocytochemistry (ICC).

CCR7 in Human PBMCs.

CCR7 was detected in immersion fixed human peripheral blood mononuclear cells (PBMCs) using 25 µg/mL Mouse Anti-Human CCR7 Monoclonal Antibody (Catalog # MAB197) for 3 hours at room temperature. Cells were stained (red) and counterstained (green). View our protocol for Fluorescent ICC Staining of Non-adherent Cells.
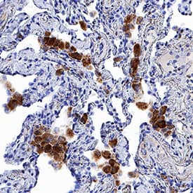
CCR7 antibody in Human Lung by Immunohistochemistry (IHC-P).

CCR7 in Human Lung.

CCR7 was detected in immersion fixed paraffin-embedded sections of human lung using Mouse Anti-Human CCR7 Monoclonal Antibody (Catalog # MAB197) at 5 µg/mL for 1 hour at room temperature followed by incubation with the Anti-Mouse IgG VisUCyte™ HRP Polymer Antibody (Catalog # VC001). Tissue was stained using DAB (brown) and counterstained with hematoxylin (blue). Specific staining was localized to cytoplasm in macrophages. View our protocol for IHC Staining with VisUCyte HRP Polymer Detection Reagents.

Applications for Human CCR7 Antibody

Application
Recommended Usage

CyTOF-reported

Mei, H.E. et al. (2015) J. Immunol. 194: 2022. Ready to be labeled using established conjugation methods. No BSA or other carrier proteins that could interfere with conjugation.

Dual RNAscope ISH-IHC Compatible

3-25 µg/mL
Sample: Immersion fixed paraffin-embedded sections of human tonsil

Flow Cytometry

0.25 µg/106 cells
Sample: Human peripheral blood mononuclear cells (PBMCs)

Immunocytochemistry

8-25 µg/mL
Sample: Immersion fixed human peripheral blood mononuclear cells (PBMCs)

Immunohistochemistry

5-25 µg/mL
Sample: Immersion fixed paraffin-embedded sections of human lung

Neutralization

Measured by its ability to neutralize CCL19/MIP-3 beta-induced chemotaxis in the BaF3 mouse pro-B cell line transfected with human CCR7. The Neutralization Dose (ND50) is typically 1-5 µg/mL in the presence of 50 ng/mL Recombinant Human CCL19/MIP-3 beta.

Reviewed Applications

Read 3 reviews rated 5 using MAB197 in the following applications:

Formulation, Preparation, and Storage

Purification

Protein A or G purified from hybridoma culture supernatant

Reconstitution

Reconstitute at 0.5 mg/mL in sterile PBS. For liquid material, refer to CoA for concentration.

Reconstitution Buffer Available:
Size / Price
Qty
Loading...

Formulation

Lyophilized from a 0.2 μm filtered solution in PBS with Trehalose. See Certificate of Analysis for details.
*Small pack size (-SP) is supplied either lyophilized or as a 0.2 µm filtered solution in PBS.

Shipping

Lyophilized product is shipped at ambient temperature. Liquid small pack size (-SP) is shipped with polar packs. Upon receipt, store immediately at the temperature recommended below.

Stability & Storage

Use a manual defrost freezer and avoid repeated freeze-thaw cycles.
  • 12 months from date of receipt, -20 to -70 °C as supplied.
  • 1 month, 2 to 8 °C under sterile conditions after reconstitution.
  • 6 months, -20 to -70 °C under sterile conditions after reconstitution.

Background: CCR7

CCR7 (Chemokine Receptor 7; also CD197) is a 7 transmembrane (7TM) G protein-coupled chemokine receptor for the homeostatic chemokines CCL19/MIP-3 beta and CCL21/6Ckine. CCL19 and CCL21 are constitutively expressed by high endothelial venule epithelial cells or fibroblastic reticular cells in secondary lymphoid organs. CCR7 is upregulated on dendritic cells, naïve and memory T cells, Treg, NK cells, and B cells following inflammatory stimulation. Its expression enables the function of immune cell trafficking to and retention in regional lymph nodes for expansion of the adaptive immune response. Human CCR7 shares 87% amino acid sequence identity with mouse CCR7.

Alternate Names

BLR2, CC-CKR-7, CCR7, CD197, CDw197, CMKBR7, EBI1

Entrez Gene IDs

1236 (Human); 12775 (Mouse); 287673 (Rat)

Gene Symbol

CCR7

UniProt

Additional CCR7 Products

Product Documents for Human CCR7 Antibody

Certificate of Analysis

To download a Certificate of Analysis, please enter a lot number in the search box below.

Note: Certificate of Analysis not available for kit components.

Product Specific Notices for Human CCR7 Antibody

For research use only

Loading...
Loading...
Loading...
Loading...
Loading...