Skip to main content

Key Product Details

Species Reactivity

Human

Applications

Immunohistochemistry, Immunocytochemistry

Label

Unconjugated

Antibody Source

Recombinant Monoclonal Rabbit IgG Clone # 2753A

Product Specifications

Immunogen

Human CCK synthetic peptide
Accession # P06307

Specificity

Detects human CCK in direct ELISAs.

Clonality

Monoclonal

Host

Rabbit

Isotype

IgG

Scientific Data Images for Human CCK Antibody

CCK in Capan-2 Human Cell Line.

CCK was detected in immersion fixed Capan-2 human pancreatic adenocarcinoma cell line (positive staining) and Daudi human Burkitt's lymphoma cell line (negative staining) using Rabbit Anti-Human CCK Monoclonal Antibody (Catalog # MAB11040) at 3 µg/mL for 3 hours at room temperature. Cells were stained using the NorthernLights™ 557-conjugated Anti-Rabbit IgG Secondary Antibody (red; Catalog # NL004) and counterstained with DAPI (blue). Specific staining was localized to cytoplasm. View our protocol for Fluorescent ICC Staining of Cells on Coverslips.

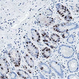
CCK in Human Duodenum.

CCK was detected in immersion fixed paraffin-embedded sections of human duodenum using Rabbit Anti-Human CCK Monoclonal Antibody (Catalog # MAB11040) at 3 µg/mL for 1 hour at room temperature followed by incubation with the Anti-Rabbit IgG VisUCyte™ HRP Polymer Antibody (VC003). Before incubation with the primary antibody, tissue was subjected to heat-induced epitope retrieval using Antigen Retrieval Reagent-Basic (CTS013). Tissue was stained using DAB (brown) and counterstained with hematoxylin (blue). Specific staining was localized to cytoplasm in neuroendocrine cells. Staining was performed using our protocol for IHC Staining with VisUCyte HRP Polymer Detection Reagents.

Applications for Human CCK Antibody

Application
Recommended Usage

Immunocytochemistry

3-25 µg/mL
Sample: Immersion fixed Capan‑2 human pancreatic adenocarcinoma cell line

Immunohistochemistry

3-25 µg/mL
Sample: Immersion fixed paraffin-embedded sections of human duodenum

Formulation, Preparation, and Storage

Purification

Protein A or G purified from cell culture supernatant

Reconstitution

Reconstitute at 0.5 mg/mL in sterile PBS. For liquid material, refer to CoA for concentration.

Reconstitution Buffer Available:
Size / Price
Qty
Loading...

Formulation

Lyophilized from a 0.2 μm filtered solution in PBS with Trehalose. *Small pack size (SP) is supplied either lyophilized or as a 0.2 µm filtered solution in PBS.

Shipping

Lyophilized product is shipped at ambient temperature. Liquid small pack size (-SP) is shipped with polar packs. Upon receipt, store immediately at the temperature recommended below.

Stability & Storage

Use a manual defrost freezer and avoid repeated freeze-thaw cycles.
  • 12 months from date of receipt, -20 to -70 °C as supplied.
  • 1 month, 2 to 8 °C under sterile conditions after reconstitution.
  • 6 months, -20 to -70 °C under sterile conditions after reconstitution.

Background: CCK

Cholecystokinin (CCK) is a peptide hormone secreted by the gastrointestinal system that stimulates the digestion of protein and fat.  CCK is synthesized and secreted by enteroendocrine cells of the duodenum and acts as a hunger suppressant. CCK participates in several processes such as digestion, satiety, and anxiety. CCK is also found extensively throughout the central nervous system with anxiogenic, panicogenic and hallucinogenic effects.  Receptors of CCK are found in the central nervous system specifically in the hippocampus, cerebral cortex, and striatum.

References

Lenka A., Arumugham SS., Christopher R., Pal PK, "Genetic Substrates of Psychosis in Patients with Parkinson's Disease: A Critical Review". Journal of the Neurological Sciences. 2016 May; 364: 33-41. Zwanzger P., Domschke K., Bradwejn J., "Neuronal Network of Panic Disorder: The Role of the Neuropeptide Cholecystokinin". Depression and Anxiety. 2012 Sep. 29(9): 762-74. Okonkwo O., Zezoff D., Adeyinka A., "Biochemistry, Cholecystokinin". StatPearls. 2021 Jan. Available from: https://www.ncbi.nlm.nih.gov/books/NBK534204/.

Long Name

Cholecystokinin

Alternate Names

cholecystokinin, MGC117187

Entrez Gene IDs

885 (Human)

Gene Symbol

CCK

UniProt

Additional CCK Products

Product Documents for Human CCK Antibody

Certificate of Analysis

To download a Certificate of Analysis, please enter a lot number in the search box below.

Note: Certificate of Analysis not available for kit components.

Product Specific Notices for Human CCK Antibody

For research use only

Loading...
Loading...
Loading...
Loading...