Skip to main content

Key Product Details

Validated by

Knockout/Knockdown, Biological Validation

Species Reactivity

Validated:

Human

Cited:

Human, Mouse, Avian - Chicken, Xenograft

Applications

Validated:

Immunohistochemistry, Western Blot, ELISA Capture (Matched Antibody Pair), Immunoprecipitation

Cited:

Immunohistochemistry, Immunohistochemistry-Paraffin, Western Blot, Immunocytochemistry

Label

Unconjugated

Antibody Source

Polyclonal Goat IgG

Product Specifications

Immunogen

Mouse myeloma cell line NS0-derived recombinant human Cathepsin L
Glu113-Val333
Accession # P07711

Specificity

Detects human Cathepsin L in ELISAs and Western blots. 

Clonality

Polyclonal

Host

Goat

Isotype

IgG

Scientific Data Images for Human Cathepsin L Antibody

Detection of Recombinant Human Cathepsin L antibody by Western Blot.

Detection of Recombinant Human Cathepsin L by Western Blot.

Western blot shows 10 ng of Recombinant Human Cathepsin L (952-CY), Recombinant Mouse Cathepsin L (1515-CY), Recombinant Human Cathepsin V (1080-CY), Recombinant Human Cathepsin K, Recombinant Human Cathepsin S (1183-CY), Recombinant Human Cathepsin H (7516-CY), and Recombinant Human Cathepsin F. PVDF Membrane was probed with 0.1 µg/mL of Goat Anti-Human Cathepsin L Antigen Affinity-purified Polyclonal Antibody (Catalog # AF952) followed by HRP-conjugated Anti-Goat IgG Secondary Antibody (HAF109). A specific band was detected for Cathepsin L at approximately 35 kDa (as indicated). This experiment was conducted under reducing conditions and using Immunoblot Buffer Group 3.
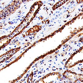
Cathepsin L antibody in Human Kidney by Immunohistochemistry (IHC-P).

Cathepsin L in Human Kidney.

Cathepsin L was detected in immersion fixed paraffin-embedded sections of human kidney using Goat Anti-Human Cathepsin L Antigen Affinity-purified Polyclonal Antibody (Catalog # AF952) at 15 µg/mL overnight at 4 °C. Tissue was stained using the Anti-Goat HRP-DAB Cell & Tissue Staining Kit (brown; CTS008) and counterstained with hematoxylin (blue). Specific staining was localized to convoluted tubules. View our protocol for Chromogenic IHC Staining of Paraffin-embedded Tissue Sections.
Detection of Human Cathepsin L by Western Blot

Detection of Human Cathepsin L by Western Blot

Cathepsins are reduced in GNPTAB- knockout cells, but restored upon GNPTAB reconstitution. a Immunoblotting of lysates from parental, knockout and reconstituted cells for CatB and CatL. The migration of a 30 kDa molecular mass marker is shown to the right. b CatB activity in lysates from parental HAP1, or knockout GNPTAB- or NPC1-cells. Cells were treated with cathepsin B inhibitor (Bi), cathepsin L inhibitor (Li), at 10 or 1 µM, or DMSO vehicle control for 1 h at 37 °C, before lysis and incubation with fluorescent CatB peptide substrate. After 1 h incubation at room temperature, fluorescence was measured. Data represent the mean ± s.d. of three technical replicates. A representative of three independent experiments is shown. c CatB activity in lysates from reconstituted cells. Lysates from transduced HAP1 or GNPTAB− cells were generated and tested for CatB activity, as for panel b. Data represent the mean ± s.d. of three technical replicates. A representative of two independent experiments is shown. For both panels b and c, statistical analysis was performed with a two-tailed Student’s t-test with significance shown as **** P ≤ 0.0001. Image collected and cropped by CiteAb from the following open publication (https://pubmed.ncbi.nlm.nih.gov/30655525), licensed under a CC-BY license. Not internally tested by R&D Systems.

Applications for Human Cathepsin L Antibody

Application
Recommended Usage

Immunohistochemistry

5-15 µg/mL
Sample: Immersion fixed paraffin-embedded sections of human kidney

Immunoprecipitation

25 µg/mL
Sample: Conditioned cell culture medium spiked with Recombinant Human Cathepsin L (Catalog # 952-CY), see our available Western blot detection antibodies

Western Blot

0.1 µg/mL
Sample: Recombinant Human Cathepsin L (Catalog # 952-CY)

Human Cathepsin L Sandwich Immunoassay

ELISA Capture (Matched Antibody Pair)
Recommended Concentration: 0.2-0.8 µg/mL
Use in combination with these reagents:
  • Detection Reagent: Human Cathepsin L Biotinylated Antibody (Catalog # BAF952)
  • Standard: Recombinant Human Cathepsin L Protein, CF (Catalog # 952-CY)
Please Note: Optimal dilutions of this antibody should be experimentally determined.

Formulation, Preparation, and Storage

Purification

Antigen Affinity-purified

Reconstitution

Reconstitute at 0.2 mg/mL in sterile PBS. For liquid material, refer to CoA for concentration.

Reconstitution Buffer Available:
Size / Price
Qty
Loading...

Formulation

Lyophilized from a 0.2 μm filtered solution in PBS with Trehalose. *Small pack size (SP) is supplied either lyophilized or as a 0.2 µm filtered solution in PBS.

Shipping

Lyophilized product is shipped at ambient temperature. Liquid small pack size (-SP) is shipped with polar packs. Upon receipt, store immediately at the temperature recommended below.

Stability & Storage

Use a manual defrost freezer and avoid repeated freeze-thaw cycles.
  • 12 months from date of receipt, -20 to -70 °C as supplied.
  • 1 month, 2 to 8 °C under sterile conditions after reconstitution.
  • 6 months, -20 to -70 °C under sterile conditions after reconstitution.

Background: Cathepsin L

Cathepsin L is a lysosomal cysteine protease expressed in most eukaryotic cells. Cathepsin L is known to hydrolyze a number of proteins, including the proform of urokinase-type plasminogen activator, which is activated by Cathepsin L cleavage (1). Cathepsin L has also been shown to proteolytically inactivate alpha1-antitrypsin and secretory leucoprotease inhibitor, two major protease inhibitors of the respiratory tract (2). These observations, combined with the demonstration of increased Cathepsin L activity in the epithelial lining fluid of the lungs of emphysema patients, have led to the suggestion that the enzyme may be involved in the progression of this disease. Cathepsin L has also been identified as a major excreted protein of transformed fibroblasts, indicating the enzyme could be involved in malignant tumor growth (3). Human Cathepsin L activity is greatest under mildly acidic conditions, from pH 4.5‑6.5. The stability of the enzyme decreases at higher pH values.

References

  1. Goretzki, L. et al. (1992) FEBS Lett. 297:112.
  2. Taggart, C.C. et al. (2001) J. Biol. Chem. 276:33345.
  3. Gottesman, M.M. and F. Cabral (1981) Biochemistry 20:1659.

Alternate Names

CTSL, CTSL1

Entrez Gene IDs

1514 (Human); 13039 (Mouse); 118276442 (Insect)

Gene Symbol

CTSL

UniProt

Additional Cathepsin L Products

Product Documents for Human Cathepsin L Antibody

Certificate of Analysis

To download a Certificate of Analysis, please enter a lot number in the search box below.

Note: Certificate of Analysis not available for kit components.

Product Specific Notices for Human Cathepsin L Antibody

For research use only

Loading...
Loading...
Loading...
Loading...
Loading...