Skip to main content

Key Product Details

Species Reactivity

Validated:

Human

Cited:

Human

Applications

Validated:

Immunohistochemistry, Western Blot, ELISA Detection (Matched Antibody Pair)

Cited:

ELISA Detection

Label

Biotin

Antibody Source

Polyclonal Goat IgG

Product Specifications

Immunogen

Mouse myeloma cell line NS0-derived recombinant human Cathepsin B
Arg18-Ile339
Accession # P07858

Specificity

Detects human Cathepsin B in ELISAs and Western blots. In sandwich immunoassays, less than 0.2% cross-reactivity with recombinant human (rh) Cathepsin A, C, D, E, L, S, V, X/Z/P, rhCystatin C, D, SA, recombinant mouse (rm) Cystatin C, D, SA, and rmCathepsin B is observed.

Clonality

Polyclonal

Host

Goat

Isotype

IgG

Scientific Data Images for Human Cathepsin B Biotinylated Antibody

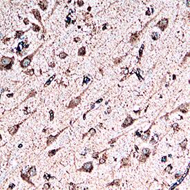
Detection of Cathepsin B in Human Brain Cortex.

Cathepsin B was detected in immersion fixed paraffin-embedded sections of human brain cortex using Goat Anti-Human Cathepsin B Biotinylated Antigen Affinity-purified Polyclonal Antibody (Catalog # BAF953) at 15 µg/ml for 1 hour at room temperature followed by incubation with the Streptavidin-HRP (Catalog # DY998). Before incubation with the primary antibody, tissue was subjected to heat-induced epitope retrieval using VisUCyte Antigen Retrieval Reagent-Basic (Catalog # VCTS021). Tissue was stained using DAB (brown) and counterstained with hematoxylin (blue). Specific staining was localized to the cytoplasm. View our protocol for Chromogenic IHC Staining of Paraffin-embedded Tissue Sections.

Applications for Human Cathepsin B Biotinylated Antibody

Application
Recommended Usage

Immunohistochemistry

5-15 µg/mL
Sample: Immersion fixed paraffin-embedded sections of human brain Cortex

Western Blot

0.1 µg/mL
Sample: Recombinant Human Cathepsin B (Catalog # 953-CY)

Human Cathepsin B Sandwich Immunoassay

ELISA Detection (Matched Antibody Pair)
Recommended Concentration: 0.1-0.4 µg/mL
Use in combination with these reagents:
  • Capture Reagent: Human Pro‑Cathepsin B Antibody (Catalog # MAB2176)
  • Standard: Recombinant Human Cathepsin B Protein, CF (Catalog # 953-CY)
Please Note: Optimal dilutions of this antibody should be experimentally determined.

Formulation, Preparation, and Storage

Purification

Antigen Affinity-purified

Reconstitution

Reconstitute at 0.2 mg/mL in sterile PBS.

Reconstitution Buffer Available:
Size / Price
Qty
Loading...

Formulation

Lyophilized from a 0.2 μm filtered solution in PBS with BSA as a carrier protein.

Shipping

The product is shipped at ambient temperature. Upon receipt, store it immediately at the temperature recommended below.

Stability & Storage

Use a manual defrost freezer and avoid repeated freeze-thaw cycles.
  • 12 months from date of receipt, -20 to -70 °C as supplied.
  • 1 month, 2 to 8 °C under sterile conditions after reconstitution.
  • 6 months, -20 to -70 °C under sterile conditions after reconstitution.

Background: Cathepsin B

Cathepsin B is the first described member of the family of lysosomal cysteine proteases (1). Cathepsin B possesses both endopeptidase and exopeptidase activities, in the latter case acting as a peptidyl-dipeptidase. It is known to process a number of proteins, including pro and active caspases, prorenin, and secretory leucoprotease inhibitor (SLPI) (2-4). Therefore, Cathepsin B may play a role in activation and inactivation of caspases, activation of renin and inactivation of SLPI, the key steps in apoptosis, angiotensin production, and progression of emphysema, respectively. Because of its increased levels and redistribution of the enzyme in human and animal tumors, Cathepsin B may also have role in invasion and metastasis (5).

In addition to lysosome, Cathepsin B can be secreted or associated with plasma membrane, cytoplasm, and nucleus. It is synthesized as a preproenzyme. Following removal of the signal peptide, the inactive proenzyme undergoes further modifications including removal of the pro region to result in the active enzyme (1).

References

  1. Mort, J.S. (2004) in Handbook of Proteolytic Enzymes. Barrett, A.J. et al. (eds): Academic Press, San Diego, p. 1079.
  2. Vancompernolle, K. et al. (1998) FEBS Lett. 438:150.
  3. Jutras, I. and T.L. Reudelhuber (1999) FEBS Lett. 443:48.
  4. Taggart, C.C. et al. (2001) J. Biol. Chem. 276:33345.
  5. Bergquin, I.M. and B.F. Sloane (1996) Adv. Exp. Med. Biol. 389:281.

Alternate Names

CTSB

Entrez Gene IDs

1508 (Human); 13030 (Mouse)

Gene Symbol

CTSB

UniProt

Additional Cathepsin B Products

Product Documents for Human Cathepsin B Biotinylated Antibody

Certificate of Analysis

To download a Certificate of Analysis, please enter a lot number in the search box below.

Note: Certificate of Analysis not available for kit components.

Product Specific Notices for Human Cathepsin B Biotinylated Antibody

For research use only

Loading...
Loading...
Loading...
Loading...
Loading...