Skip to main content

Key Product Details

Species Reactivity

Human

Applications

Immunohistochemistry, Western Blot, ELISA

Label

Unconjugated

Antibody Source

Monoclonal Mouse IgG2A Clone # 89221

Product Specifications

Immunogen

E. coli-derived recombinant human Cardiotrophin-1
Ser2-Ala201
Accession # Q16619

Specificity

Detects human Cardiotrophin-1 in direct ELISAs and Western blots.

Clonality

Monoclonal

Host

Mouse

Isotype

IgG2A

Scientific Data Images for Human Cardiotrophin-1/CT-1 Antibody

Detection of Human Cardiotrophin-1/CT-1 antibody by Western Blot.

Detection of Human Cardiotrophin‑1/CT‑1 by Western Blot.

Western blot shows lysates of human heart tissue. PVDF membrane was probed with 2 µg/mL of Mouse Anti-Human Cardiotrophin-1/CT-1 Monoclonal Antibody (Catalog # MAB2602) followed by HRP-conjugated Anti-Mouse IgG Secondary Antibody (Catalog # HAF018). A specific band was detected for Cardiotrophin-1/CT-1 at approximately 22 kDa (as indicated). This experiment was conducted under reducing conditions and using Immunoblot Buffer Group 1.
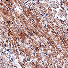
Cardiotrophin-1/CT-1 antibody in Human Heart by Immunohistochemistry (IHC-P).

Cardiotrophin‑1/CT‑1 in Human Heart.

Cardiotrophin-1/CT-1 was detected in immersion fixed paraffin-embedded sections of human heart using Mouse Anti-Human Cardiotrophin-1/CT-1 Monoclonal Antibody (Catalog # MAB2602) at 5 µg/mL for 1 hour at room temperature followed by incubation with the Anti-Mouse IgG VisUCyte™ HRP Polymer Antibody (Catalog # VC001). Tissue was stained using DAB (brown) and counterstained with hematoxylin (blue). Specific staining was localized to cytoplasm in cardiomyocytes. View our protocol for IHC Staining with VisUCyte HRP Polymer Detection Reagents.
Human Cardiotrophin-1/CT-1 Antibody in ELISA Standard Curve.

Human Cardiotrophin-1/CT-1 ELISA Standard Curve.

Recombinant human Cardiotrophin/CT-1 protein was serially diluted 2-fold and captured by Mouse Anti-Human Cardiotrophin/CT-1 Monoclonal Antibody (Catalog # MAB2603) coated on a Clear Polystyrene Microplate (Catalog # DY990). Mouse Anti-Human Cardiotrophin/CT-1 Monoclonal Antibody (Catalog # MAB2602) was biotinylated and incubated with the protein captured on the plate. Detection of the standard curve was achieved by incubating Streptavidin-HRP (Catalog # DY998) followed by Substrate Solution (Catalog # DY999) and stopping the enzymatic reaction with Stop Solution (Catalog # DY994).

Applications for Human Cardiotrophin-1/CT-1 Antibody

Application
Recommended Usage

ELISA

This antibody functions as an ELISA detection antibody when paired with Mouse Anti-Human Cardiotrophin-1/CT-1 Monoclonal Antibody (Catalog # MAB2603).

This product is intended for assay development on various assay platforms requiring antibody pairs.

Immunohistochemistry

5-25 µg/mL
Sample: Immersion fixed paraffin-embedded sections of human heart

Western Blot

2 µg/mL
Sample: Human heart tissue

Reviewed Applications

Read 1 review rated 5 using MAB2602 in the following applications:

Formulation, Preparation, and Storage

Purification

Protein A or G purified from ascites

Reconstitution

Reconstitute at 0.5 mg/mL in sterile PBS. For liquid material, refer to CoA for concentration.

Reconstitution Buffer Available:
Size / Price
Qty
Loading...

Formulation

Lyophilized from a 0.2 μm filtered solution in PBS with Trehalose. *Small pack size (SP) is supplied either lyophilized or as a 0.2 µm filtered solution in PBS.

Shipping

Lyophilized product is shipped at ambient temperature. Liquid small pack size (-SP) is shipped with polar packs. Upon receipt, store immediately at the temperature recommended below.

Stability & Storage

Use a manual defrost freezer and avoid repeated freeze-thaw cycles.
  • 12 months from date of receipt, -20 to -70 °C as supplied.
  • 1 month, 2 to 8 °C under sterile conditions after reconstitution.
  • 6 months, -20 to -70 °C under sterile conditions after reconstitution.

Background: Cardiotrophin-1/CT-1

Cardiotrophin-1 (CT-1) is a member of the cytokine family which also includes IL-6, IL-11, leukemia inhibitory factor (LIF), oncostatin M (OSM), and ciliary neurotrophic factor (CNTF). It was originally isolated based on its ability to induce cardiac myocyte hypertrophy in vitro. CT-1 has since been shown to be a pleiotrophic cytokine with overlapping actions with other IL-6 family members on a variety of cell types. Human CT-1 encodes a 201 amino acid (aa) residue protein that lacks a hydrophobic signal peptide. The mechanism of CT-1 release from cells is currently not understood. Human and mouse CT-1 share 80% aa sequence identity and exhibit cross-species activity. CT-1 is highly expressed in heart, skeletal muscle, liver, lung and kidney. Lower levels of CT-1 expression is also seen in testis and brain. CT-1 initiates downstream signaling pathways through the heterodimerization of gp130 and the LIF receptor beta subunit. A third  alpha receptor subunit has been implicated in the receptor complex.

References

  1. Pennica, D. et al. (1996) Cytokine and Growth Factor Reviews 7:81.
  2. Robledo, O. et al. (1997) J. Biol. Chem. 272:4855.

Alternate Names

Cardiotrophin1, CTF1

Entrez Gene IDs

1489 (Human); 13019 (Mouse)

Gene Symbol

CTF1

UniProt

Additional Cardiotrophin-1/CT-1 Products

Product Documents for Human Cardiotrophin-1/CT-1 Antibody

Certificate of Analysis

To download a Certificate of Analysis, please enter a lot number in the search box below.

Note: Certificate of Analysis not available for kit components.

Product Specific Notices for Human Cardiotrophin-1/CT-1 Antibody

For research use only

Loading...
Loading...
Loading...
Loading...