Skip to main content

Human CA125/MUC16 Antibody

R&D Systems, part of Bio-Techne | Catalog # MAB56091

Catalog #
Availability
Size / Price
Qty
Loading...
MAB56091-100
MAB56091-SP

Key Product Details

Species Reactivity

Human

Applications

Immunohistochemistry, Flow Cytometry, CyTOF-ready

Label

Unconjugated

Antibody Source

Monoclonal Mouse IgG1 Clone # 986811

Product Specifications

Immunogen

Chinese hamster ovary cell line CHO-derived recombinant human CA125/MUC-16
Met13360-Gln14347 (Met13472Thr & Gln13957Lys)
Accession # NP_078966.2

Specificity

Detects human CA125/MUC-16 in direct ELISAs.

Clonality

Monoclonal

Host

Mouse

Isotype

IgG1

Scientific Data Images for Human CA125/MUC16 Antibody

Detection of CA125/MUC16 antibody in HeLa Human Cell Line antibody by Flow Cytometry.

Detection of CA125/MUC16 in HeLa Human Cell Line by Flow Cytometry.

HeLa human cervical cancer cell line was stained with Mouse Anti-Human CA125/MUC16 Monoclonal Antibody (Catalog # MAB56091, filled histogram) or isotype control antibody (MAB002, open histogram), followed by Allophycocyanin-conjugated Anti-Mouse IgG Secondary Antibody (F0101B). View our protocol for Staining Membrane-associated Proteins.
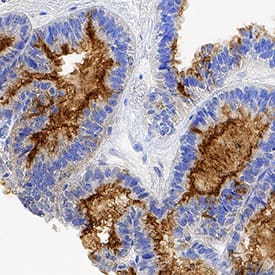
CA125/MUC16 antibody in Human Ovarian Cancer Tissue by Immunohistochemistry (IHC-P).

CA125/MUC16 in Human Ovarian Cancer Tissue.

Ovarian Cancer Antigen CA125 (CA125/MUC16) was detected in immersion fixed paraffin-embedded sections of human ovarian cancer tissue using Mouse Anti-Human CA125/MUC16 Monoclonal Antibody (MAB56091) at 5 µg/mL for 1 hour at room temperature followed by incubation with the Anti-Mouse IgG VisUCyte™ HRP Polymer Antibody (VC001). Tissue was stained using DAB (brown) and counterstained with hematoxylin (blue). Specific staining was localized to cell surfaces. View our protocol for IHC Staining with VisUCyte HRP Polymer Detection Reagents.

Detection of CA125/MUC16 in OVCAR-3 cells by Flow Cytometry

OVCAR-3 cells were stained with Mouse Anti-Human CA125/MUC16 Monoclonal Antibody (Catalog # MAB56091, filled histogram) or isotype control antibody (Catalog # MAB002, open histogram) followed by Fluorescein-conjugated Anti-Mouse IgG Secondary Antibody (Catalog # F0103B). View our protocol for Staining Membrane-associated Proteins.

Applications for Human CA125/MUC16 Antibody

Application
Recommended Usage

CyTOF-ready

Ready to be labeled using established conjugation methods. No BSA or other carrier proteins that could interfere with conjugation.

Flow Cytometry

0.25 µL/106 cells
Sample: HeLa human cervical cancer cell line; OVCAR-3 human ovarian carcinoma cell line

Immunohistochemistry

5-25 µg/mL
Sample: Immersion fixed paraffin-embedded sections of human ovarian cancer tissue

Formulation, Preparation, and Storage

Purification

Protein A or G purified from ascites

Reconstitution

Reconstitute at 0.5 mg/mL in sterile PBS. For liquid material, refer to CoA for concentration.

Reconstitution Buffer Available:
Size / Price
Qty
Loading...

Formulation

Lyophilized from a 0.2 μm filtered solution in PBS with Trehalose. *Small pack size (SP) is supplied either lyophilized or as a 0.2 µm filtered solution in PBS.

Shipping

Lyophilized product is shipped at ambient temperature. Liquid small pack size (-SP) is shipped with polar packs. Upon receipt, store immediately at the temperature recommended below.

Stability & Storage

Use a manual defrost freezer and avoid repeated freeze-thaw cycles.
  • 12 months from date of receipt, -20 to -70 °C as supplied.
  • 1 month, 2 to 8 °C under sterile conditions after reconstitution.
  • 6 months, -20 to -70 °C under sterile conditions after reconstitution.

Background: CA125/MUC16

MUC16, also known as the CA125 antigen, is a mucin protein that may be found in type I transmembrane or secreted forms that are used monitor the progress of epithelial ovarian cancer therapy (1, 2). Expression of isoforms, proteolytic cleavage, and heavy N- and O- linked glycosylation produce forms of human MUC16 that can vary from 1148 to 22152 amino acids (aa) in length and 200 - 5000 kDa in size (1, 2). The 22152 aa form contains ser/thr-rich N-terminal tandem repeats, 4 LRR (Leu-rich repeat) domains, 56 SEA (sea urchin sperm protein, enterokinase and agrin) domains, a transmembrane domain, and a 31 aa cytoplasmic domain that includes a tyrosine phosphorylation site (1-4). SEA domains are ~120 aa in length, contain conserved residues including potential O-glycosylation sites and a pair of cysteines, and are often found in transmembrane mucins (3). The protein produced by R&D Systems represents aa 13360-14347 of the full sequence and includes the last 6 SEA domains. It shares 68% aa identity with canine MUC16. MUC16 is over-expressed by tumor cells including ovarian and mesothelial cancers (5). The transmembrane form can adhere to mesothelin in the peritoneum, facilitating metastasis of ovarian cancer to the peritoneal cavity (5-7). MUC16 also binds galectin-1 on immune cells and enhances its expression on tumor cells (8). MUC16-expressing tumors adhere to NK cells, down-regulate CD16 and suppress NK response, which may promote immune evasion (9, 10). MUC16 is also cyclically expressed in the endometrium and may contribute to immune privilege during pregnancy (10). In the eye, MUC16 and other mucins protect the cornea and keep it hydrated. It is altered on the conjunctival epithelium of patients with non-Sjogren dry eye syndrome (11).

References

  1. Yin, B. W. T. K. O. Lloyd, 2001, J. Biol. Chem. 276:27371.
  2. Maeda, T. et al. (2004) J. Biol. Chem. 279:13174.
  3. Fendrick, J. L. et al. (1997) Tumour Biol. 18:278.
  4. Swissprot accession Q8WXI7.
  5. Kaneko, O. et al. (2009) J. Biol. Chem. 284:3739.
  6. Rump, A. et al. (2004) J. Biol. Chem. 279:9190.
  7. Gubbels, J. A. A. et al. (2006) Mol. Cancer 5:50.
  8. Seelenmeyer, C. et al. (2003) J. Cell Sci. 116:1305.
  9. Patankar, M. S. et al. (2005) Gynecol. Oncol. 99:704.
  10. Belisle, J. A. et al. (2007) Immunology 122:418.
  11. Blalock, T. D. et al. (2007) Invest. Ophthalmol. Vis. Sci. 48:4509.

Long Name

Ovarian Cancer Antigen CA125

Alternate Names

MUC16

Entrez Gene IDs

94025 (Human)

Gene Symbol

MUC16

UniProt

Additional CA125/MUC16 Products

Product Documents for Human CA125/MUC16 Antibody

Certificate of Analysis

To download a Certificate of Analysis, please enter a lot number in the search box below.

Note: Certificate of Analysis not available for kit components.

Product Specific Notices for Human CA125/MUC16 Antibody

For research use only

Loading...
Loading...
Loading...
Loading...
Loading...
Loading...