Skip to main content

Human Bradykinin RB2/BDKRB2 Antibody

R&D Systems, part of Bio-Techne | Catalog # MAB9434

R&D Systems, part of Bio-Techne

Key Product Details

Species Reactivity

Validated:

Human

Cited:

Human

Applications

Validated:

Immunohistochemistry, Western Blot, Flow Cytometry

Cited:

Immunohistochemistry

Label

Unconjugated

Antibody Source

Monoclonal Mouse IgG1 Clone # 471902

Product Specifications

Immunogen

NS0 mouse myeloma cell line transfected with human RB2/BDKRB2
Met1-Gln391
Accession # P30411

Specificity

Detects human RB2/BDKRB2 in direct ELISAs and Western blots.

Clonality

Monoclonal

Host

Mouse

Isotype

IgG1

Scientific Data Images for Human Bradykinin RB2/BDKRB2 Antibody

Detection of Human Bradykinin RB2/BDKRB2 antibody by Western Blot.

Detection of Human Bradykinin RB2/BDKRB2 by Western Blot.

Western blot shows lysates of NS0 mouse myeloma cell line either mock transfected or transfected with human Bradykinin RB2/BDKRB2. PVDF membrane was probed with 1 µg/mL of Mouse Anti-Human Bradykinin RB2/BDKRB2 Monoclonal Antibody (Catalog # MAB9434) followed by HRP-conjugated Anti-Mouse IgG Secondary Antibody (Catalog # HAF018). A specific band was detected for Bradykinin RB2/BDKRB2 at approximately 80-100 kDa (as indicated). This experiment was conducted under reducing conditions and using Immunoblot Buffer Group 1.
Detection of Bradykinin RB2/BDKRB2 antibody in HEK293 Human Cell Line Transfected with Human Bradykinin RB2/BDKRB2 and eGFP antibody by Flow Cytometry

Detection of Bradykinin RB2/BDKRB2 in HEK293 Human Cell Line Transfected with Human Bradykinin RB2/BDKRB2 and eGFP by Flow Cytometry

HEK293 human cell line transfected with (A) Human Bradykinin RB2/BDKRB2 or (B) irrelevant protein, and eGFP was stained with Mouse Anti-Human Bradykinin RB2/BDKRB2 Monoclonal Antibody (Catalog # MAB9434) followed by APC-conjugated Goat anti-Mouse IgG Secondary Antibody (Catalog # F0101B). Quadrant markers were set based on Mouse IgG1 Isotype Control Antibody (Catalog # MAB002). View our protocol for Staining Membrane-associated Proteins.
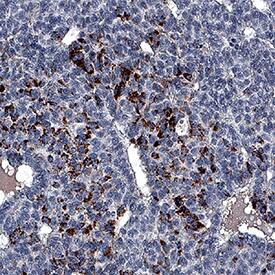
Bradykinin RB2/BDKRB2 antibody in Human Liver Cancer Tissue by Immunohistochemistry (IHC-P).

Bradykinin RB2/BDKRB2 in Human Liver Cancer Tissue.

Bradykinin RB2/BDKRB2 was detected in immersion fixed paraffin-embedded sections of human liver cancer tissue using Mouse Anti-Human Bradykinin RB2/BDKRB2 Monoclonal Antibody (Catalog # MAB9434) at 5 µg/mL for 1 hour at room temperature followed by incubation with the Anti-Mouse IgG VisUCyte™ HRP Polymer Antibody (Catalog # VC001). Tissue was stained using DAB (brown) and counterstained with hematoxylin (blue). Specific staining was localized to cytoplasm and cell surfaces. View our protocol for IHC Staining with VisUCyte HRP Polymer Detection Reagents.

Applications for Human Bradykinin RB2/BDKRB2 Antibody

Application
Recommended Usage

Flow Cytometry

0.25 µg/106 cells
Sample: HEK293 Human Cell Line Transfected with Human Bradykinin RB2/BDKRB2 and eGFP

Immunohistochemistry

5-25 µg/mL
Sample: Immersion fixed paraffin-embedded sections of human liver cancer tissue

Western Blot

1 µg/mL
Sample: NS0 mouse myeloma cell line transfected with human Bradykinin RB2

Formulation, Preparation, and Storage

Purification

Protein A or G purified from hybridoma culture supernatant

Reconstitution

Reconstitute at 0.5 mg/mL in sterile PBS. For liquid material, refer to CoA for concentration.

Reconstitution Buffer Available:
Size / Price
Qty
Loading...

Formulation

Lyophilized from a 0.2 μm filtered solution in PBS with Trehalose. *Small pack size (SP) is supplied either lyophilized or as a 0.2 µm filtered solution in PBS.

Shipping

Lyophilized product is shipped at ambient temperature. Liquid small pack size (-SP) is shipped with polar packs. Upon receipt, store immediately at the temperature recommended below.

Stability & Storage

Use a manual defrost freezer and avoid repeated freeze-thaw cycles.
  • 12 months from date of receipt, -20 to -70 °C as supplied.
  • 1 month, 2 to 8 °C under sterile conditions after reconstitution.
  • 6 months, -20 to -70 °C under sterile conditions after reconstitution.

Background: Bradykinin RB2/BDKRB2

Bradykinin RB2 (BDKRB2) is a receptor for bradykinin. The 9 aa bradykinin peptide elicits many responses including vasodilation, edema, smooth muscle spasm and pain fiber stimulation. BDKRB2 expression is widespread in normal smooth muscle tissue and neurons. BDKRB2 associates with G proteins that stimulate a phosphatidylinositol-calcium second messenger system. BDKRB2 forms a complex with PECAM1 and GNAQ and interacts with PECAM1. Aging cardiac endothelial cells gradually lose their capacity to express BDKRB2. This loss appears to be parallel with a loss of the angiogenic potential of the aging cells.

Long Name

Bradykinin Receptor B2

Alternate Names

B2R, BDKRB2, BKR2, BradykininRB2, BRB2

Entrez Gene IDs

624 (Human); 12062 (Mouse); 25245 (Rat)

Gene Symbol

BDKRB2

UniProt

Additional Bradykinin RB2/BDKRB2 Products

Product Documents for Human Bradykinin RB2/BDKRB2 Antibody

Certificate of Analysis

To download a Certificate of Analysis, please enter a lot number in the search box below.

Note: Certificate of Analysis not available for kit components.

Product Specific Notices for Human Bradykinin RB2/BDKRB2 Antibody

For research use only

Loading...
Loading...
Loading...
Loading...
Loading...