Skip to main content

Key Product Details

Species Reactivity

Validated:

Human

Cited:

Human

Applications

Validated:

Immunohistochemistry, Western Blot

Cited:

Western Blot

Label

Unconjugated

Antibody Source

Monoclonal Mouse IgG2A Clone # 386131

Product Specifications

Immunogen

Human plasma-derived alpha1-Acid Glycoprotein
Accession # P02763

Specificity

Detects human alpha1‑Acid Glycoprotein in direct ELISAs and Western blots.

Clonality

Monoclonal

Host

Mouse

Isotype

IgG2A

Scientific Data Images for Human alpha1-Acid Glycoprotein Antibody

Detection of Human a1-Acid Glycoprotein antibody by Western Blot.

Detection of Human alpha1‑Acid Glycoprotein by Western Blot.

Western blot shows lysates of human liver tissue. PVDF Membrane was probed with 2 µg/mL of Mouse Anti-Human a1-Acid Glycoprotein Monoclonal Antibody (Catalog # MAB3694) followed by HRP-conjugated Anti-Mouse IgG Secondary Antibody (Catalog # HAF007). Specific bands were detected for a1-Acid Glycoprotein at approximately 40-50 kDa (as indicated). This experiment was conducted under reducing and non-reducing conditions and using Immunoblot Buffer Group 1.
Detection of Human a1-Acid Glycoprotein antibody by Western Blot.

Detection of Human alpha1‑Acid Glycoprotein by Western Blot.

Western blot shows lysates of human plasma. PVDF Membrane was probed with 2 µg/mL of Mouse Anti-Human a1-Acid Glycoprotein Monoclonal Antibody (Catalog # MAB3694) followed by HRP-conjugated Anti-Mouse IgG Secondary Antibody (Catalog # HAF018). A specific band was detected for a1-Acid Glycoprotein at approximately 55 kDa (as indicated). This experiment was conducted under reducing conditions and using Immunoblot Buffer Group 1.
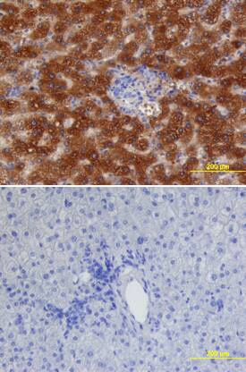
a1-Acid Glycoprotein antibody in Human Liver by Immunohistochemistry (IHC-P).

alpha1-Acid Glycoprotein in Human Liver.

a1-Acid Glycoprotein was detected in immersion fixed paraffin-embedded sections of human liver using Mouse Anti-Human a1-Acid Glycoprotein Monoclonal Antibody (Catalog # MAB3694) at 25 µg/mL overnight at 4 °C. Tissue was stained using the Anti-Mouse HRP-DAB Cell & Tissue Staining Kit (brown; Catalog # CTS002) and counterstained with hematoxylin (blue). Lower panel shows a lack of labeling if primary antibodies are omitted and tissue is stained only with secondary antibody followed by incubation with detection reagents. View our protocol for Chromogenic IHC Staining of Paraffin-embedded Tissue Sections.

Applications for Human alpha1-Acid Glycoprotein Antibody

Application
Recommended Usage

Immunohistochemistry

8-25 µg/mL
Sample: Immersion fixed paraffin-embedded sections of human liver

Western Blot

2 µg/mL
Sample: Human liver tissue and Human plasma

Reviewed Applications

Read 1 review rated 5 using MAB3694 in the following applications:

Formulation, Preparation, and Storage

Purification

Protein A or G purified from hybridoma culture supernatant

Reconstitution

Reconstitute at 0.5 mg/mL in sterile PBS. For liquid material, refer to CoA for concentration.

Reconstitution Buffer Available:
Size / Price
Qty
Loading...

Formulation

Lyophilized from a 0.2 μm filtered solution in PBS with Trehalose. *Small pack size (SP) is supplied either lyophilized or as a 0.2 µm filtered solution in PBS.

Shipping

Lyophilized product is shipped at ambient temperature. Liquid small pack size (-SP) is shipped with polar packs. Upon receipt, store immediately at the temperature recommended below.

Stability & Storage

Use a manual defrost freezer and avoid repeated freeze-thaw cycles.
  • 12 months from date of receipt, -20 to -70 °C as supplied.
  • 1 month, 2 to 8 °C under sterile conditions after reconstitution.
  • 6 months, -20 to -70 °C under sterile conditions after reconstitution.

Background: alpha 1-Acid Glycoprotein

alpha1-Acid Glycoprotein (AGP-1), also known as orosomucoid-1, is an acute phase protein secreted by the liver. Serum AGP-1 levels are elevated during inflammatory responses. AGP-1 binds a wide range of molecules in the circulation. Human and mouse AGP-1 share 43% amino acid sequence identity.

Alternate Names

AGP, AGP1, AGPA, alpha 1Acid Glycoprotein, ORM1, Orosomucoid

Entrez Gene IDs

5004 (Human); 18405 (Mouse); 24614 (Rat)

Gene Symbol

ORM1

UniProt

Additional alpha 1-Acid Glycoprotein Products

Product Documents for Human alpha1-Acid Glycoprotein Antibody

Certificate of Analysis

To download a Certificate of Analysis, please enter a lot number in the search box below.

Note: Certificate of Analysis not available for kit components.

Product Specific Notices for Human alpha1-Acid Glycoprotein Antibody

For research use only

Loading...
Loading...
Loading...
Loading...