Skip to main content

Key Product Details

Species Reactivity

Human

Applications

Immunohistochemistry, Western Blot

Label

Unconjugated

Antibody Source

Polyclonal Sheep IgG

Product Specifications

Immunogen

E.coli-derived Recombinant Human AG-3
Ile22-Leu166
Accession # Q8TD06

Specificity

Detects human AG-3 in direct ELISAs and Western blots. In direct ELISAs, less than 1% cross-reactivity with recombinant human AG‑2 is observed.

Clonality

Polyclonal

Host

Sheep

Isotype

IgG

Scientific Data Images for Human AG-3 Antibody

Detection of Human AG-3 antibody by Western Blot.

Detection of Human AG-3 by Western Blot.

Western blot shows lysates of human small intestine tissue. PVDF Membrane was probed with 0.5 µg/mL of Human AG-3 Antigen Affinity-purified Polyclonal Antibody (Catalog # AF6307) followed by HRP-conjugated Anti-Sheep IgG Secondary Antibody (Catalog # HAF016). A specific band was detected for AG-3 at approximately 19kDa (as indicated). This experiment was conducted under reducing conditions and using Immunoblot Buffer Group 1.
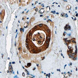
AG-3 antibody in Human Breast by Immunohistochemistry (IHC-P).

AG‑3 in Human Breast.

AG-3 was detected in immersion fixed paraffin-embedded sections of human breast using Sheep Anti-Human AG-3 Antigen Affinity-purified Polyclonal Antibody (Catalog # AF6307) at 3 µg/mL overnight at 4 °C. Tissue was stained using the Anti-Sheep HRP-DAB Cell & Tissue Staining Kit (brown; Catalog # CTS019) and counterstained with hematoxylin (blue). Specific staining was localized to epithelial cells. View our protocol for Chromogenic IHC Staining of Paraffin-embedded Tissue Sections.

Applications for Human AG-3 Antibody

Application
Recommended Usage

Immunohistochemistry

5-15 µg/mL
Sample: Immersion fixed paraffin-embedded sections of human breast

Western Blot

0.5 µg/mL
Sample: Human small intestine tissue

Formulation, Preparation, and Storage

Purification

Antigen Affinity-purified

Reconstitution

Sterile PBS to a final concentration of 0.2 mg/mL. For liquid material, refer to CoA for concentration.

Reconstitution Buffer Available:
Size / Price
Qty
Loading...

Formulation

Lyophilized from a 0.2 μm filtered solution in PBS with Trehalose. *Small pack size (SP) is supplied either lyophilized or as a 0.2 µm filtered solution in PBS.

Shipping

Lyophilized product is shipped at ambient temperature. Liquid small pack size (-SP) is shipped with polar packs. Upon receipt, store immediately at the temperature recommended below.

Stability & Storage

Use a manual defrost freezer and avoid repeated freeze-thaw cycles.
  • 12 months from date of receipt, -20 to -70 °C as supplied.
  • 1 month, 2 to 8 °C under sterile conditions after reconstitution.
  • 6 months, -20 to -70 °C under sterile conditions after reconstitution.

Background: AG-3

AG3 (Anterior gradient protein 3; also known as AGR3 and BCMP11) is a 17 kDa (predicted) member of the AGR family of proteins. It is expressed by intestinal epithelial and breast cancer cells. AG3 is presumably secreted and binds to both a-dystroglycan and C4.4a/LYPD3. Mature human AG3 is 145 amino acids (aa) in length (aa 22‑166) (SwissProt #:Q8TD06). Over aa 22-166, human AG3 shares 92% amino acid sequence identity with mouse AG3.

Long Name

Anterior Gradient 3 Homolog

Alternate Names

AG3, AGR3, BCMP11, PDIA18

Entrez Gene IDs

155465 (Human); 403205 (Mouse); 298959 (Rat)

Gene Symbol

AGR3

UniProt

Additional AG-3 Products

Product Documents for Human AG-3 Antibody

Certificate of Analysis

To download a Certificate of Analysis, please enter a lot number in the search box below.

Note: Certificate of Analysis not available for kit components.

Product Specific Notices for Human AG-3 Antibody

For research use only

Loading...
Loading...
Loading...
Loading...