Skip to main content

Key Product Details

Species Reactivity

Validated:

Human

Cited:

Mouse, Transgenic Mouse

Applications

Validated:

Immunohistochemistry, Western Blot

Cited:

Immunohistochemistry

Label

Unconjugated

Antibody Source

Polyclonal Sheep IgG

Product Specifications

Immunogen

E. coli-derived recombinant human AG-2/AGR2
Arg21-Leu175
Accession # O95994

Specificity

Detects human AG-2/AGR2 in direct ELISA and Western blots. In direct ELISAs, approximately 20% cross‑reactivity with recombinant human AG-3 is observed.

Clonality

Polyclonal

Host

Sheep

Isotype

IgG

Scientific Data Images for Human AG-2/AGR2 Antibody

Detection of Human AG-2/AGR2 antibody by Western Blot.

Detection of Human AG-2/AGR2 by Western Blot.

Western blot shows lysates of A549 human lung carcinoma cell line and human small intestine tissue. PVDF Membrane was probed with 1 µg/mL of Sheep Anti-Human AG-2/AGR2 Antigen Affinity-purified Polyclonal Antibody (Catalog # AF6068) followed by HRP-conjugated Anti-Sheep IgG Secondary Antibody (Catalog # HAF016). A specific band was detected for AG-2/AGR2 at approximately 20 kDa (as indicated). This experiment was conducted under reducing conditions and using Immunoblot Buffer Group 8.
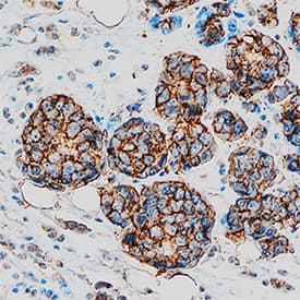
AG-2/AGR2 antibody in Human Breast Cancer Tissue by Immunohistochemistry (IHC-P).

AG-2/AGR2 in Human Breast Cancer Tissue.

AG-2/AGR2 was detected in immersion fixed paraffin-embedded sections of human breast cancer tissue using Sheep Anti-Human AG-2/AGR2 Antigen Affinity-purified Polyclonal Antibody (Catalog # AF6068) at 10 µg/mL overnight at 4 °C. Tissue was stained using the Anti-Sheep HRP-DAB Cell & Tissue Staining Kit (brown; Catalog # CTS019) and counterstained with hematoxylin (blue). Specific staining was localized to plasma membrane in cancer cells. View our protocol for Chromogenic IHC Staining of Paraffin-embedded Tissue Sections.

Applications for Human AG-2/AGR2 Antibody

Application
Recommended Usage

Immunohistochemistry

5-15 µg/mL
Sample: Immersion fixed paraffin-embedded sections of human breast cancer tissue

Western Blot

1 µg/mL
Sample: A549 human lung carcinoma cell line and human small intestine tissue

Formulation, Preparation, and Storage

Purification

Antigen Affinity-purified

Reconstitution

Reconstitute at 0.2 mg/mL in sterile PBS. For liquid material, refer to CoA for concentration.

Reconstitution Buffer Available:
Size / Price
Qty
Loading...

Formulation

Lyophilized from a 0.2 μm filtered solution in PBS with Trehalose. *Small pack size (SP) is supplied either lyophilized or as a 0.2 µm filtered solution in PBS.

Shipping

Lyophilized product is shipped at ambient temperature. Liquid small pack size (-SP) is shipped with polar packs. Upon receipt, store immediately at the temperature recommended below.

Stability & Storage

Use a manual defrost freezer and avoid repeated freeze-thaw cycles.
  • 12 months from date of receipt, -20 to -70 °C as supplied.
  • 1 month, 2 to 8 °C under sterile conditions after reconstitution.
  • 6 months, -20 to -70 °C under sterile conditions after reconstitution.

Background: AG-2/AGR2

AG-2 (Anterior gradient protein 2; also AGR2, GOB4 and HPC8) is an 18‑21 kDa member of the PDI family of enzymes. It is expressed in secretory cell types, such as prostate epithelium, small intestine goblet, Paneth and enteroendocrine cells, and multiple carcinoma cell types. Although AG-2 possesses a signal sequence, it appears to be rarely secreted, instead being found in the ER due the presence of a KTEL ER retention signal at its C-terminus. AG-2 forms transient disulfide linkages with molecules destined for secretion, possibly aiding protein folding. Mature human AG-2 is 155 amino acids (aa) in length (aa 21‑175). Cys81 is presumed to participate in intermolecular bond formation. There is one potential alternative start site 20 aa upstream of the standard start site. Over aa 21‑175, human AG-2 shares 94% aa identity with mouse AG-2.

Long Name

Anterior Gradient 2 Homolog

Alternate Names

AG2, AGR2, GOB-4, HPC8, PDIA17

Entrez Gene IDs

10551 (Human); 23795 (Mouse); 298961 (Rat)

Gene Symbol

AGR2

UniProt

Additional AG-2/AGR2 Products

Product Documents for Human AG-2/AGR2 Antibody

Certificate of Analysis

To download a Certificate of Analysis, please enter a lot number in the search box below.

Note: Certificate of Analysis not available for kit components.

Product Specific Notices for Human AG-2/AGR2 Antibody

For research use only

Loading...
Loading...
Loading...
Loading...