Human AdipoR1 Antibody
R&D Systems, part of Bio-Techne | Catalog # MAB10128
Recombinant Monoclonal Antibody.
Conjugate
Catalog #
Key Product Details
Species Reactivity
Human
Applications
Immunohistochemistry, Flow Cytometry, CyTOF-ready
Label
Unconjugated
Antibody Source
Recombinant Monoclonal Rabbit IgG1 Clone # 2416C
Product Specifications
Immunogen
Synthetic peptide containing human AdipoR1 C-term sequences
Specificity
Detects human AdipoR1 in direct ELISAs. In direct ELISA, no cross-reactivity with human AdipoR2 is observed
Clonality
Monoclonal
Host
Rabbit
Isotype
IgG1
Scientific Data Images for Human AdipoR1 Antibody
Detection of AdipoR1 in HEK293 Human Cell Line Transfected with Human AdipoR1 and eGFP by Flow Cytometry.
HEK293 human embryonic kidney cell line transfected with either (A) human AdipoR1 or (B) irrelevant transfectants and eGFP was stained with Rabbit Anti-Human AdipoR1 Monoclonal Antibody (Catalog # MAB10128) followed by Allophycocyanin-conjugated Anti-Rabbit IgG Secondary Antibody (Catalog # F0111). Quadrant markers were set based on control antibody staining (Catalog # MAB1050). View our protocol for Staining Membrane-associated Proteins.AdipoR1 in Human Placenta.
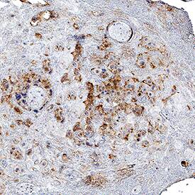
AdipoR1 was detected in immersion fixed paraffin-embedded sections of human placenta using Rabbit Anti-Human AdipoR1 Monoclonal Antibody (Catalog # MAB10128) at 3 µg/mL for 1 hour at room temperature followed by incubation with the Anti-Rabbit IgG VisUCyte™ HRP Polymer Antibody (Catalog # VC003). Before incubation with the primary antibody, tissue was subjected to heat-induced epitope retrieval using Antigen Retrieval Reagent-Basic (Catalog # CTS013). Tissue was stained using DAB (brown) and counterstained with hematoxylin (blue). Specific staining was localized to cell membrane in decidual cells. View our protocol for IHC Staining with VisUCyte HRP Polymer Detection Reagents.Applications for Human AdipoR1 Antibody
Application
Recommended Usage
CyTOF-ready
Ready to be labeled using established conjugation methods. No BSA or other carrier proteins that could interfere with conjugation.
Flow Cytometry
0.25 µg/106 cells
Sample: HEK293 Human Cell Line Transfected with Human AdipoR1 and eGFP
Sample: HEK293 Human Cell Line Transfected with Human AdipoR1 and eGFP
Immunohistochemistry
3-25 µg/mL
Sample: Immersion fixed paraffin-embedded sections of human placenta
Sample: Immersion fixed paraffin-embedded sections of human placenta
Formulation, Preparation, and Storage
Purification
Protein A or G purified from cell culture supernatant
Reconstitution
Reconstitute at 0.5 mg/mL in sterile PBS. For liquid material, refer to CoA for concentration.
Formulation
Lyophilized from a 0.2 μm filtered solution in PBS with Trehalose. *Small pack size (SP) is supplied either lyophilized or as a 0.2 µm filtered solution in PBS.
Shipping
Lyophilized product is shipped at ambient temperature. Liquid small pack size (-SP) is shipped with polar packs. Upon receipt, store immediately at the temperature recommended below.
Stability & Storage
Use a manual defrost freezer and avoid repeated freeze-thaw cycles.
- 12 months from date of receipt, -20 to -70 °C as supplied.
- 1 month, 2 to 8 °C under sterile conditions after reconstitution.
- 6 months, -20 to -70 °C under sterile conditions after reconstitution.
Background: AdipoR1
Long Name
Adiponectin Receptor 1
Alternate Names
ACDCR1, CGI45, PAQR1, TESBP1A
Gene Symbol
ADIPOR1
Additional AdipoR1 Products
Product Documents for Human AdipoR1 Antibody
Product Specific Notices for Human AdipoR1 Antibody
For research use only
Loading...
Loading...
Loading...
Loading...
Loading...
Loading...