Skip to main content

Key Product Details

Species Reactivity

Validated:

Human

Cited:

Human

Applications

Validated:

Immunohistochemistry, Western Blot, Flow Cytometry, CyTOF-ready

Cited:

Western Blot, Flow Cytometry

Label

Unconjugated

Antibody Source

Polyclonal Goat IgG

Product Specifications

Immunogen

S. frugiperda insect ovarian cell line Sf 21-derived recombinant human Activin RIA/ALK-2
Asp23-Glu123
Accession # Q04771

Specificity

Detects human Activin RIA/ALK‑2 in direct ELISAs and Western blots. In direct ELISAs, less than 1% cross-reactivity with recombinant human (rh) Activin RIB, rhActivin RIIA, and rhActivin RIIB is observed.

Clonality

Polyclonal

Host

Goat

Isotype

IgG

Scientific Data Images for Human Activin RIA/ALK-2 Antibody

Detection of Activin RIA/ALK-2 antibody in PC-3 Human Cell Line antibody by Flow Cytometry.

Detection of Activin RIA/ALK-2 in PC-3 Human Cell Line by Flow Cytometry.

PC-3 human prostate cancer cell line was stained with Goat Anti-Human Activin RIA/ALK-2 Antigen Affinity-purified Polyclonal Antibody (Catalog # AF637, filled histogram) or control antibody (Catalog # AB-108-C, open histogram), followed by Phycoerythrin-conjugated Anti-Goat IgG Secondary Antibody (Catalog # F0107).
Activin RIA/ALK-2 antibody in Human Astrocytoma by Immunohistochemistry (IHC-P).

Activin RIA/ALK‑2 in Human Astrocytoma.

Activin RIA/ALK-2 was detected in immersion fixed paraffin-embedded sections of human astrocytoma using 15 µg/mL Goat Anti-Human Activin RIA/ALK-2 Antigen Affinity-purified Polyclonal Antibody (Catalog # AF637) overnight at 4 °C. Tissue was stained using the Anti-Goat HRP-DAB Cell & Tissue Staining Kit (brown; Catalog # CTS008) and counterstained with hematoxylin (blue). View our protocol for Chromogenic IHC Staining of Paraffin-embedded Tissue Sections.
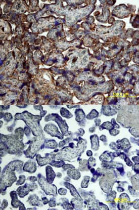
Activin RIA/ALK-2 antibody in Human Placenta by Immunohistochemistry (IHC-P).

Activin RIA/ALK‑2 in Human Placenta.

Activin RIA/ALK-2 was detected in immersion fixed paraffin-embedded sections of human placenta using Goat Anti-Human Activin RIA/ALK-2 Antigen Affinity-purified Polyclonal Antibody (Catalog # AF637) at 15 µg/mL overnight at 4 °C. Tissue was stained using the Anti-Goat HRP-DAB Cell & Tissue Staining Kit (brown; Catalog # CTS008) and counterstained with hematoxylin (blue). Lower panel shows a lack of labeling if primary antibodies are omitted and tissue is stained only with secondary antibody followed by incubation with detection reagents. View our protocol for Chromogenic IHC Staining of Paraffin-embedded Tissue Sections.

Applications for Human Activin RIA/ALK-2 Antibody

Application
Recommended Usage

CyTOF-ready

Ready to be labeled using established conjugation methods. No BSA or other carrier proteins that could interfere with conjugation.

Flow Cytometry

2.5 µg/106 cells
Sample: PC-3 human prostate cancer cell line

Immunohistochemistry

5-15 µg/mL
Sample: Immersion fixed paraffin-embedded sections of human astrocytoma and human placenta

Western Blot

0.1 µg/mL
Sample: Recombinant Human Activin RIA/ALK-2 Fc Chimera (Catalog # 637-AR)

Formulation, Preparation, and Storage

Purification

Antigen Affinity-purified

Reconstitution

Reconstitute at 0.2 mg/mL in sterile PBS. For liquid material, refer to CoA for concentration.

Reconstitution Buffer Available:
Size / Price
Qty
Loading...

Formulation

Lyophilized from a 0.2 μm filtered solution in PBS with Trehalose. *Small pack size (SP) is supplied either lyophilized or as a 0.2 µm filtered solution in PBS.

Shipping

Lyophilized product is shipped at ambient temperature. Liquid small pack size (-SP) is shipped with polar packs. Upon receipt, store immediately at the temperature recommended below.

Stability & Storage

Use a manual defrost freezer and avoid repeated freeze-thaw cycles.
  • 12 months from date of receipt, -20 to -70 °C as supplied.
  • 1 month, 2 to 8 °C under sterile conditions after reconstitution.
  • 6 months, -20 to -70 °C under sterile conditions after reconstitution.

Background: Activin RIA/ALK-2

Activin isoforms and other members of the TGF-beta superfamily exert their biological effects by binding to heteromeric complexes of a type I and a type II serine‑threonine kinase receptor, both of which are essential for signal transduction. To date, seven type I and five type II receptors, including the two type I and the two type II activin receptors, designated ActR-I(A), ActR-IB, ActR-II(A), and ActR-IIB, have been cloned from mammals. Through alternative mRNA splicing, multiple ActR-IIB isoforms can also be generated, adding to the complexity of the activin receptor system. Different activin isoforms bind with different high-affinities to the various type II isoforms. Type I activin receptors do not bind directly to activin but will associate with the type II receptor-activin complex and initiate signal transduction. Besides the activin isoforms, ActR-II will also bind inhibin, BMP-2 and BMP-7 with lower affinities. ActR-I can also bind and form signaling complexes with the BMP-2/7-bound BMPR-II. Activin type I receptors are highly conserved. Human, mouse and bovine type IA activin receptors share greater than 98% amino acid sequence homology. Recombinant soluble activin type I receptor does not bind activin.

References

  1. Attisano, L. et al. (1996) Mol. and Cell. Biol. 16:1066.
  2. Woodruff, T.K. (1998) Biochem. Pharmacology 55:953.

Long Name

Activin Receptor IA

Alternate Names

ActivinRIA, ACVR1, ALK-2, ALK2

Entrez Gene IDs

90 (Human); 11477 (Mouse)

Gene Symbol

ACVR1

UniProt

Additional Activin RIA/ALK-2 Products

Product Documents for Human Activin RIA/ALK-2 Antibody

Certificate of Analysis

To download a Certificate of Analysis, please enter a lot number in the search box below.

Note: Certificate of Analysis not available for kit components.

Product Specific Notices for Human Activin RIA/ALK-2 Antibody

For research use only

Loading...
Loading...
Loading...
Loading...
Loading...