Skip to main content

HLA DRB1 Antibody (JE60-43)

Novus Biologicals, part of Bio-Techne | Catalog # NBP3-32433

Recombinant Monoclonal Antibody
Novus Biologicals, part of Bio-Techne
Catalog #
Availability
Size / Price
Qty
Loading...
NBP3-32433

Key Product Details

Species Reactivity

Human

Applications

Immunohistochemistry, Immunohistochemistry-Paraffin, Western Blot

Label

Unconjugated

Antibody Source

Recombinant Monoclonal Rabbit IgG Clone # JE60-43 expressed in HEK293

Concentration

1 mg/ml

Product Specifications

Immunogen

Synthetic peptide within Human HLA DRB1 aa 151-200 / 266. (Uniprot: P01911)

Localization

Cell membrane. Endoplasmic reticulum.

Clonality

Monoclonal

Host

Rabbit

Isotype

IgG

Theoretical MW

30 kDa.
Disclaimer note: The observed molecular weight of the protein may vary from the listed predicted molecular weight due to post translational modifications, post translation cleavages, relative charges, and other experimental factors.

Description

Novus Biologicals Rabbit HLA DRB1 Antibody (JE60-43) (NBP3-32433) is a recombinant monoclonal antibody validated for use in IHC and WB. All Novus Biologicals antibodies are covered by our 100% guarantee.

Scientific Data Images for HLA DRB1 Antibody (JE60-43)

HLA DRB1 Antibody (JE60-43)

Western Blot: HLA DRB1 Antibody (JE60-43) [NBP3-32433]

Western Blot: HLA DRB1 Antibody (JE60-43) [NBP3-32433] - Western blot analysis of HLA DRB1 on different lysates with Rabbit anti-HLA DRB1 antibody (NBP3-32433) at 1/1,000 dilution.

Lane 1: Ramos cell lysate
Lane 2: Raji cell lysate
Lane 3: Daudi cell lysate
Lane 4: HDLM-2 cell lysate
Lane 5: A375 cell lysate
Lane 6: HeLa cell lysate (negative)

Lysates/proteins at 20 ug/Lane.

Predicted band size: 29 kDa
Observed band size: 29 kDa

Exposure time: 1 minute;

4-20% SDS-PAGE gel.

Proteins were transferred to a PVDF membrane and blocked with 5% NFDM/TBST for 1 hour at room temperature. The primary antibody (NBP3-32433) at 1/1,000 dilution was used in 5% NFDM/TBST at 4 overnight. Goat Anti-Rabbit IgG - HRP Secondary Antibody at 1/50,000 dilution was used for 1 hour at room temperature.
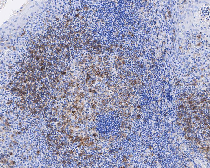
HLA DRB1 Antibody (JE60-43)

Immunohistochemistry: HLA DRB1 Antibody (JE60-43) [NBP3-32433]

Immunohistochemistry: HLA DRB1 Antibody (JE60-43) [NBP3-32433] - Immunohistochemical analysis of paraffin-embedded human tonsil tissue with Rabbit anti-HLA DRB1 antibody (NBP3-32433) at 1/1,000 dilution.

The section was pre-treated using heat mediated antigen retrieval with Tris-EDTA buffer (pH 9.0) for 20 minutes. The tissues were blocked in 1% BSA for 20 minutes at room temperature, washed with ddH2O and PBS, and then probed with the primary antibody (NBP3-32433) at 1/1,000 dilution for 1 hour at room temperature. The detection was performed using an HRP conjugated compact polymer system. DAB was used as the chromogen. Tissues were counterstained with hematoxylin and mounted with DPX.
HLA DRB1 Antibody (JE60-43)

Immunohistochemistry: HLA DRB1 Antibody (JE60-43) [NBP3-32433]

Immunohistochemistry: HLA DRB1 Antibody (JE60-43) [NBP3-32433] - Immunofluorescence analysis of paraffin-embedded human skin tissue labeling HLA DRB1 with Rabbit anti-HLA DRB1 antibody (NBP3-32433) at 1/100 dilution.

The section was pre-treated using heat mediated antigen retrieval with Tris-EDTA buffer (pH 9.0) for 20 minutes. The tissues were blocked in 10% negative goat serum for 1 hour at room temperature, washed with PBS, and then probed with the primary antibody (NBP3-32433, green) at 1/100 dilution overnight at 4 ℃, washed with PBS. Goat Anti-Rabbit IgG H&L (iFluor™ 488) was used as the secondary antibody at 1/1,000 dilution. Nuclei were counterstained with DAPI (blue).

Applications for HLA DRB1 Antibody (JE60-43)

Application
Recommended Usage

Immunohistochemistry-Paraffin

1:1000

Western Blot

1:1000

Formulation, Preparation, and Storage

Purification

Protein A purified

Formulation

1*TBS (pH7.4), 0.05% BSA and 40% Glycerol

Preservative

0.05% Sodium Azide

Concentration

1 mg/ml

Shipping

The product is shipped with polar packs. Upon receipt, store it immediately at the temperature recommended below.

Stability & Storage

Store at 4C short term. Aliquot and store at -20C long term. Avoid freeze-thaw cycles.

Background: HLA-DRB1

HLA DRB1 can be used for HLA typing.

Long Name

Major histocompatibility complex, class II, DR beta 1

Alternate Names

DRB1, HLA-DR1B, HLA-DRB, SS1

Gene Symbol

HLA-DRB1

Additional HLA-DRB1 Products

Product Documents for HLA DRB1 Antibody (JE60-43)

Certificate of Analysis

To download a Certificate of Analysis, please enter a lot number in the search box below.

Product Specific Notices for HLA DRB1 Antibody (JE60-43)

This product is for research use only and is not approved for use in humans or in clinical diagnosis. Primary Antibodies are guaranteed for 1 year from date of receipt.

Loading...
Loading...
Loading...
Loading...
Loading...