Skip to main content

HLA DR/DP Antibody (CL10962) - Azide and BSA Free

Novus Biologicals, part of Bio-Techne | Catalog # NBP3-44261

Novus Biologicals, part of Bio-Techne
Catalog #
Availability
Size / Price
Qty
Loading...
NBP3-44261

Key Product Details

Validated by

Orthogonal Validation

Species Reactivity

Human

Applications

Immunohistochemistry-Paraffin, Western Blot

Label

Unconjugated

Antibody Source

Monoclonal Mouse IgG2A Clone # CL10962

Format

Azide and BSA Free

Concentration

LYOPH mg/ml

Product Specifications

Immunogen

This antibody was generated using a synthetic peptide of P01903, with the exact immunogen sequence remaining proprietary.

Clonality

Monoclonal

Host

Mouse

Isotype

IgG2A

Description

Novus Biologicals Mouse HLA DR/DP Antibody (CL10962) - Azide and BSA Free (NBP3-21187) is a monoclonal antibody validated for use in IHC and WB. All Novus Biologicals antibodies are covered by our 100% guarantee.

Scientific Data Images for HLA DR/DP Antibody (CL10962) - Azide and BSA Free

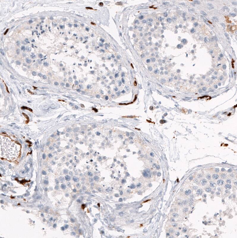
HLA DR/DP Antibody (CL10962) - Azide and BSA Free Immunohistochemistry-Paraffin: HLA DR/DP Antibody [NBP3-44261]

Immunohistochemistry-Paraffin: HLA DR/DP Antibody [NBP3-44261]

Analysis in human lymph node and testis tissues using NBP3-44261 antibody. Corresponding HLA DR/DP RNA-seq data are presented for the same tissues.
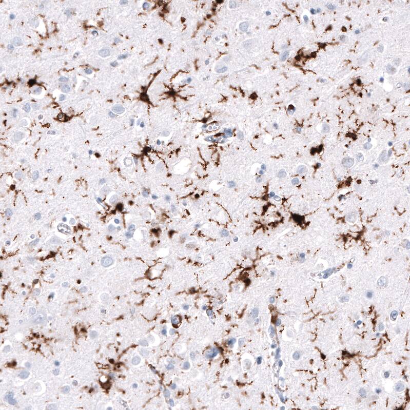
HLA DR/DP Antibody (CL10962) - Azide and BSA Free Immunohistochemistry-Paraffin: HLA DR/DP Antibody [NBP3-44261]

Immunohistochemistry-Paraffin: HLA DR/DP Antibody [NBP3-44261]

Staining of human cerebral cortex (Alzheimer disease) shows strong cytoplasmic positivity in microglia.
HLA DR/DP Antibody (CL10962) - Azide and BSA Free Immunohistochemistry-Paraffin: HLA DR/DP Antibody [NBP3-44261]

Immunohistochemistry-Paraffin: HLA DR/DP Antibody [NBP3-44261]

Staining of human lymph node shows strong membranous positivity in germinal center cells.

Applications for HLA DR/DP Antibody (CL10962) - Azide and BSA Free

Application
Recommended Usage

Immunohistochemistry-Paraffin

1:1000 - 1:2500

Western Blot

1 ug/ml
Application Notes
For IHC-Paraffin, HIER pH 6 retrieval is recommended.

Formulation, Preparation, and Storage

Purification

Protein A purified

Reconstitution

Centrifuge the vial of lyophilized antibody at 12,000 x g for 20 seconds. Reconstitute by adding sterile, distilled water to achieve a final antibody concentration of 1mg/ml.

Formulation

Lyophilized from a 0.2 um filtered solution in PBS with Trehalose

Format

Azide and BSA Free

Preservative

No Preservative

Concentration

LYOPH mg/ml

Shipping

The product is shipped at ambient temperature. Upon receipt, store it immediately at the temperature recommended below.

Stability & Storage

Store at 4C short term. Aliquot and store at -20C long term. Avoid freeze-thaw cycles.

Background: HLA DR/DP

Human MHC class II antigens are transmembrane glycoproteins composed of an alpha (36 kDa) and a beta chain (27kDa) and are expressed primarily on antigen presenting cells. Human MHC class II genes are located in the HLA-D region that encodes at least 6 alpha and 10 beta chain genes. Three loci, DR, DQ and DP, encode the major products of the human class II region. The human MHC class II molecules bind intracellularly processed peptides and present them to T-helper cells and therefore have a critical role in the initiation of the immune response. It has been shown that some autoimmune diseases are associated with certain class II alleles.

Alternate Names

FLJ51114, histocompatibility antigen HLA-DR alpha, HLA class II histocompatibility antigen, DR alpha chain, HLA-DRA1, major histocompatibility complex, class II, DR alpha, MHC cell surface glycoprotein, MHC class II antigen DRA, MLRW

Gene Symbol

HLA-DRA

Additional HLA DR/DP Products

Product Documents for HLA DR/DP Antibody (CL10962) - Azide and BSA Free

Certificate of Analysis

To download a Certificate of Analysis, please enter a lot number in the search box below.

Product Specific Notices for HLA DR/DP Antibody (CL10962) - Azide and BSA Free

This product is for research use only and is not approved for use in humans or in clinical diagnosis. Primary Antibodies are guaranteed for 1 year from date of receipt.

Loading...
Loading...
Loading...
Loading...
Loading...