Skip to main content

HLA DR/DP Antibody (CL10962) - BSA Free

Novus Biologicals, part of Bio-Techne | Catalog # NBP3-21187

Novus Biologicals, part of Bio-Techne
Catalog #
Availability
Size / Price
Qty
Loading...
NBP3-21187-25ul
NBP3-21187-100ul

Key Product Details

Validated by

Orthogonal Validation

Species Reactivity

Validated:

Human

Predicted:

Rat (90%). Backed by our 100% Guarantee.

Applications

Immunohistochemistry, Immunohistochemistry-Paraffin, Western Blot

Label

Unconjugated

Antibody Source

Monoclonal Mouse IgG2A Clone # CL10962

Format

BSA Free

Concentration

Concentrations vary lot to lot. See vial label for concentration. If unlisted please contact technical services.

Product Specifications

Immunogen

This antibody was developed using a synthetic peptide derived from P01903, with the exact immunogen sequence remaining proprietary.

Clonality

Monoclonal

Host

Mouse

Isotype

IgG2A

Description

Novus Biologicals Mouse HLA DR/DP Antibody (CL10962) - BSA Free (NBP3-21187) is a monoclonal antibody validated for use in IHC and WB. All Novus Biologicals antibodies are covered by our 100% guarantee.

Scientific Data Images for HLA DR/DP Antibody (CL10962) - BSA Free

Immunohistochemistry-Paraffin: HLA DR/DP Antibody [NBP3-21187] -

Immunohistochemistry-Paraffin: HLA DR/DP Antibody [NBP3-21187] -

Staining of human lymph node shows strong membranous positivity in germinal center cells.
Western Blot: HLA DR/DP Antibody [NBP3-21187] -

Western Blot: HLA DR/DP Antibody [NBP3-21187] -

Analysis in human cell line Daudi.
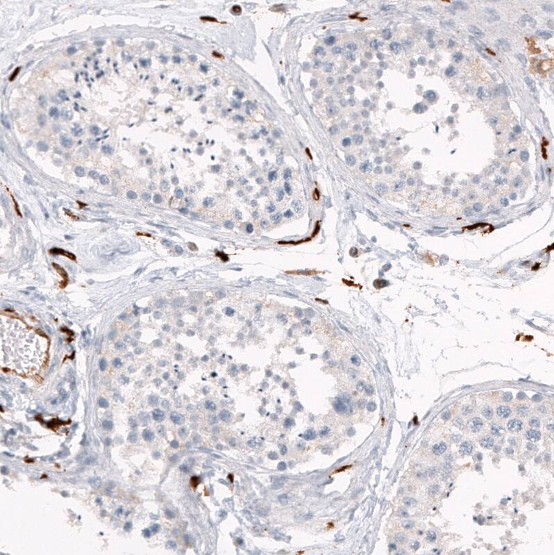
Immunohistochemistry-Paraffin: HLA DR/DP Antibody [NBP3-21187] -

Immunohistochemistry-Paraffin: HLA DR/DP Antibody [NBP3-21187] -

Analysis in human lymph node and testis tissues using NBP3-21187 antibody. Corresponding HLA-DRA RNA-seq data are presented for the same tissues.

Applications for HLA DR/DP Antibody (CL10962) - BSA Free

Application
Recommended Usage

Immunohistochemistry

1:1000 - 1:2500

Immunohistochemistry-Paraffin

1:1000 - 1:2500

Western Blot

1 ug/ml
Application Notes
For IHC-Paraffin, HIER pH 6 retrieval is recommended.

Formulation, Preparation, and Storage

Purification

Protein A purified

Formulation

PBS (pH 7.2) and 40% Glycerol

Format

BSA Free

Preservative

0.02% Sodium Azide

Concentration

Concentrations vary lot to lot. See vial label for concentration. If unlisted please contact technical services.

Shipping

The product is shipped with polar packs. Upon receipt, store it immediately at the temperature recommended below.

Stability & Storage

Store at 4C short term. Aliquot and store at -20C long term. Avoid freeze-thaw cycles.

Background: HLA DR/DP

Human MHC class II antigens are transmembrane glycoproteins composed of an alpha (36 kDa) and a beta chain (27kDa) and are expressed primarily on antigen presenting cells. Human MHC class II genes are located in the HLA-D region that encodes at least 6 alpha and 10 beta chain genes. Three loci, DR, DQ and DP, encode the major products of the human class II region. The human MHC class II molecules bind intracellularly processed peptides and present them to T-helper cells and therefore have a critical role in the initiation of the immune response. It has been shown that some autoimmune diseases are associated with certain class II alleles.

Alternate Names

FLJ51114, histocompatibility antigen HLA-DR alpha, HLA class II histocompatibility antigen, DR alpha chain, HLA-DRA1, major histocompatibility complex, class II, DR alpha, MHC cell surface glycoprotein, MHC class II antigen DRA, MLRW

Gene Symbol

HLA-DRA

Additional HLA DR/DP Products

Product Documents for HLA DR/DP Antibody (CL10962) - BSA Free

Certificate of Analysis

To download a Certificate of Analysis, please enter a lot number in the search box below.

Product Specific Notices for HLA DR/DP Antibody (CL10962) - BSA Free

This product is for research use only and is not approved for use in humans or in clinical diagnosis. Primary Antibodies are guaranteed for 1 year from date of receipt.

Loading...
Loading...
Loading...
Loading...