Skip to main content

GSTO2 Antibody - BSA Free

Novus Biologicals, part of Bio-Techne | Catalog # NBP3-38184

Novus Biologicals, part of Bio-Techne
Catalog #
Availability
Size / Price
Qty
Loading...
NBP3-38184-20ul
NBP3-38184-100ul

Key Product Details

Species Reactivity

Human, Mouse, Rat

Applications

ELISA, Immunocytochemistry/ Immunofluorescence, Western Blot

Label

Unconjugated

Antibody Source

Polyclonal Rabbit IgG

Format

BSA Free

Concentration

Please see the vial label for concentration. If unlisted please contact technical services.

Product Specifications

Immunogen

Recombinant fusion protein containing a sequence corresponding to amino acids 124-243 of human GSTO2 (NP_899062.1).

Sequence:
PHLTKECLVALRCGRECTNLKAALRQEFSNLEEILEYQNTTFFGGTCISMIDYLLWPWFERLDVYGILDCVSHTPALRLWISAMKWDPTVCALLMDKSIFQGFLNLYFQNNPNAFDFGLC

Clonality

Polyclonal

Host

Rabbit

Isotype

IgG

Theoretical MW

28 kDa.
Disclaimer note: The observed molecular weight of the protein may vary from the listed predicted molecular weight due to post translational modifications, post translation cleavages, relative charges, and other experimental factors.

Description

Novus Biologicals Rabbit GSTO2 Antibody - BSA Free (NBP3-38184) is a polyclonal antibody validated for use in WB, ELISA and ICC/IF. All Novus Biologicals antibodies are covered by our 100% guarantee.

Scientific Data Images for GSTO2 Antibody - BSA Free

GSTO2 Antibody

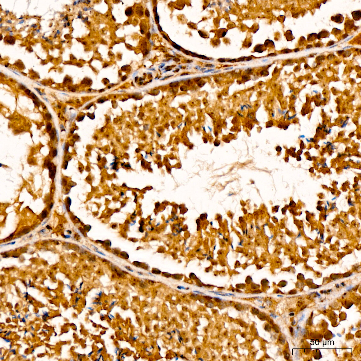
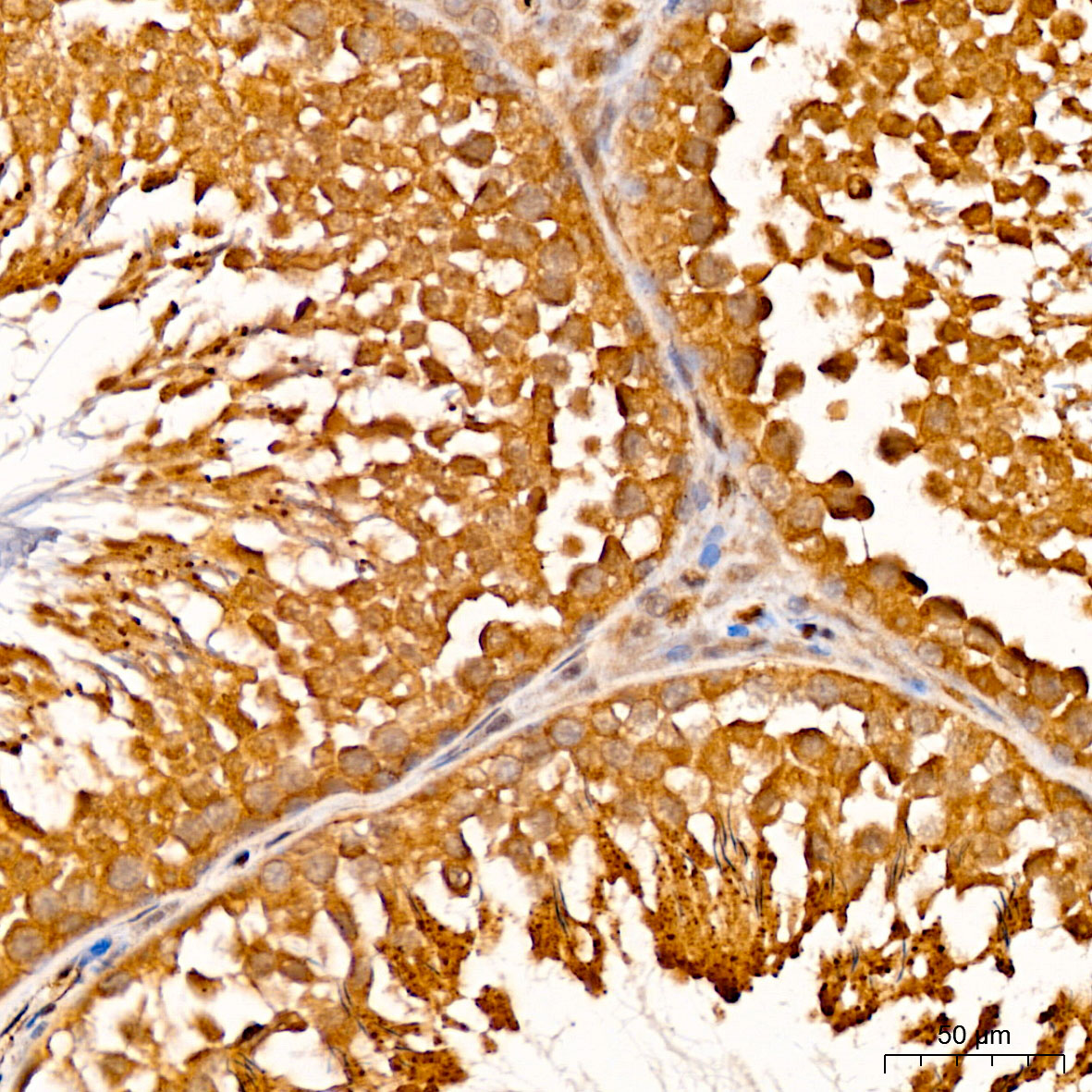
Immunohistochemistry: GSTO2 Antibody [NBP3-38184] -

Immunohistochemistry: GSTO2 Antibody [NBP3-38184] - Immunohistochemistry analysis of paraffin-embedded Mouse testis tissue using GSTO2 Rabbit pAb at a dilution of 1:100 (40x lens). High pressure antigen retrieval was performed with 0.01 M citrate buffer (pH 6.0) prior to IHC staining.
GSTO2 Antibody

Western Blot: GSTO2 Antibody [NBP3-38184] -

Western Blot: GSTO2 Antibody [NBP3-38184] - Western blot analysis of various lysates using GSTO2 Rabbit pAb at 1:900 dilution.
Secondary antibody: HRP-conjugated Goat anti-Rabbit IgG (H+L) at 1:10000 dilution.
Lysates/proteins: 25 ug per lane.
Blocking buffer: 3% nonfat dry milk in TBST.
Detection: ECL Basic Kit.
Negative control (NC): MOLT-4.
Exposure time: 90s.
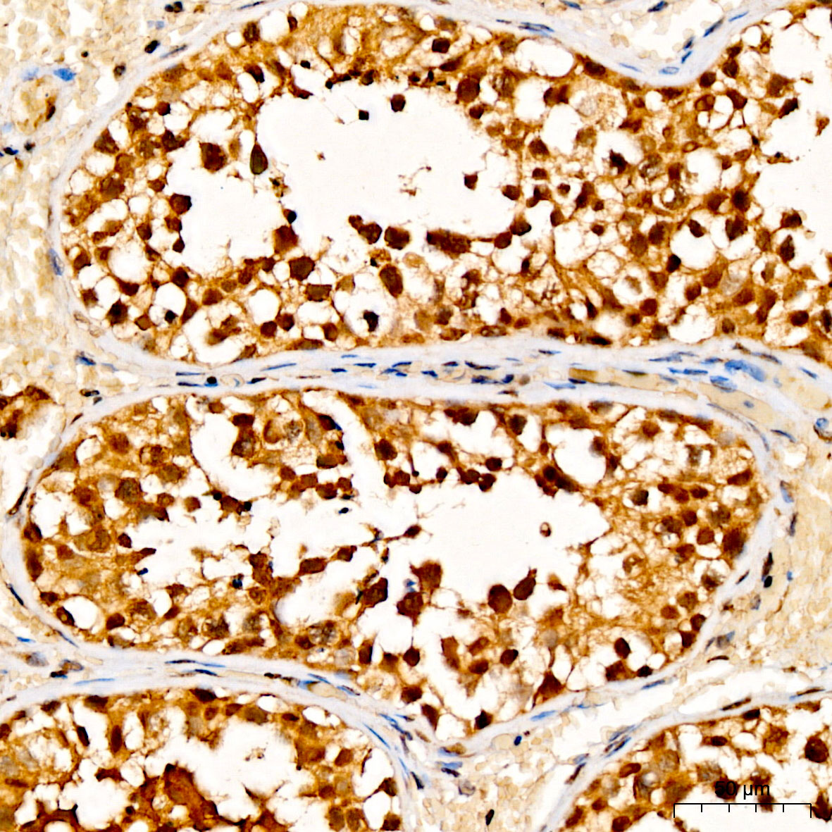
GSTO2 Antibody

Immunohistochemistry: GSTO2 Antibody [NBP3-38184] -

Immunohistochemistry: GSTO2 Antibody [NBP3-38184] - Immunohistochemistry analysis of GSTO2 in paraffin-embedded Human testis tissue using GSTO2 Rabbit pAb at a dilution of 1:100 (40x lens). High pressure antigen retrieval was performed with 0.01 M citrate buffer (pH 6.0) prior to IHC staining.

Applications for GSTO2 Antibody - BSA Free

Application
Recommended Usage

Immunocytochemistry/ Immunofluorescence

1:50 - 1:200

Western Blot

1:500 - 1:2000

Formulation, Preparation, and Storage

Purification

Affinity purified

Formulation

PBS (pH 7.3), 50% glycerol

Format

BSA Free

Preservative

0.02% Sodium Azide

Concentration

Please see the vial label for concentration. If unlisted please contact technical services.

Shipping

The product is shipped with polar packs. Upon receipt, store it immediately at the temperature recommended below.

Stability & Storage

Store at -20C. Avoid freeze-thaw cycles.

Background: GSTO2

The omega class glutathione transferases (GST; EC 2.5.1.18) have poor activity with common GST substrates, but exhibit novel glutathione-dependent thioltransferase, dehydroascorbate reductase, and monomethylarsonate reductase activities, and they modulate Ca(2+) release by ryanodine receptors (e.g., RYR1, MIM 180901) (Whitbread et al., 2003 [PubMed 12618591]). For background information on GSTs, see MIM 605482.[supplied by OMIM]

Alternate Names

bA127L20.1, bA127L20.1 (novel glutathione-S-transferase), EC 2.5.1.18, glutathione S-transferase omega 2, glutathione S-transferase omega-2, glutathione-S-transferase-like protein, GSTO-2

Gene Symbol

GSTO2

Additional GSTO2 Products

Product Documents for GSTO2 Antibody - BSA Free

Certificate of Analysis

To download a Certificate of Analysis, please enter a lot number in the search box below.

Product Specific Notices for GSTO2 Antibody - BSA Free

This product is for research use only and is not approved for use in humans or in clinical diagnosis. Primary Antibodies are guaranteed for 1 year from date of receipt.

Loading...
Loading...
Loading...
Loading...