Skip to main content

GRB7 Antibody (JE50-05)

Novus Biologicals, part of Bio-Techne | Catalog # NBP3-32404

Recombinant Monoclonal Antibody
Novus Biologicals, part of Bio-Techne
Catalog #
Availability
Size / Price
Qty
Loading...
NBP3-32404

Key Product Details

Species Reactivity

Human

Applications

Flow Cytometry, Immunocytochemistry/ Immunofluorescence, Immunohistochemistry, Immunohistochemistry-Paraffin, Western Blot

Label

Unconjugated

Antibody Source

Recombinant Monoclonal Rabbit IgG Clone # JE50-05 expressed in HEK293

Concentration

1 mg/ml

Product Specifications

Immunogen

Recombinant protein within Human GRB7 aa 1-150 / 532. (Uniprot: Q14451)

Localization

Cell junction. Cell membrane.

Clonality

Monoclonal

Host

Rabbit

Isotype

IgG

Theoretical MW

60 kDa.
Disclaimer note: The observed molecular weight of the protein may vary from the listed predicted molecular weight due to post translational modifications, post translation cleavages, relative charges, and other experimental factors.

Description

Novus Biologicals Rabbit GRB7 Antibody (JE50-05) (NBP3-32404) is a recombinant monoclonal antibody validated for use in IHC, WB, Flow and ICC/IF. All Novus Biologicals antibodies are covered by our 100% guarantee.

Scientific Data Images for GRB7 Antibody (JE50-05)

GRB7 Antibody (JE50-05)

Western Blot: GRB7 Antibody (JE50-05) [NBP3-32404]

Western Blot: GRB7 Antibody (JE50-05) [NBP3-32404] - Western blot analysis of GRB7 on different lysates with Rabbit anti-GRB7 antibody (NBP3-32404) at 1/1,000 dilution.

Lane 1: A431 cell lysate (40 ug/Lane)
Lane 2: HepG2 cell lysate (40 ug/Lane)
Lane 3: SK-Br-3 cell lysate (20 ug/Lane)

Predicted band size: 60 kDa
Observed band size: 60 kDa

Exposure time: Lane 1-2: 1 minute 40 seconds; Lane 3: 3 minutes;

4-20% SDS-PAGE gel.

Proteins were transferred to a PVDF membrane and blocked with 5% NFDM/TBST for 1 hour at room temperature. The primary antibody (NBP3-32404) at 1/1,000 dilution was used in 5% NFDM/TBST at 4 overnight. Goat Anti-Rabbit IgG - HRP Secondary Antibody at 1/50,000 dilution was used for 1 hour at room temperature.
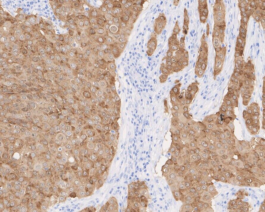
GRB7 Antibody (JE50-05)

Immunohistochemistry: GRB7 Antibody (JE50-05) [NBP3-32404]

Immunohistochemistry: GRB7 Antibody (JE50-05) [NBP3-32404] - Immunohistochemical analysis of paraffin-embedded human breast cancer tissue with Rabbit anti-GRB7 antibody (NBP3-32404) at 1/2,000 dilution.

The section was pre-treated using heat mediated antigen retrieval with Tris-EDTA buffer (pH 9.0) for 20 minutes. The tissues were blocked in 1% BSA for 20 minutes at room temperature, washed with ddH2O and PBS, and then probed with the primary antibody (NBP3-32404) at 1/2,000 dilution for 1 hour at room temperature. The detection was performed using an HRP conjugated compact polymer system. DAB was used as the chromogen. Tissues were counterstained with hematoxylin and mounted with DPX.
GRB7 Antibody (JE50-05)

Immunocytochemistry/ Immunofluorescence: GRB7 Antibody (JE50-05) [NBP3-32404]

Immunocytochemistry/ Immunofluorescence: GRB7 Antibody (JE50-05) [NBP3-32404] - Immunocytochemistry analysis of SK-Br-3 cells labeling GRB7 with Rabbit anti-GRB7 antibody (NBP3-32404) at 1/100 dilution.

Cells were fixed in 4% paraformaldehyde for 20 minutes at room temperature, permeabilized with 0.1% Triton X-100 in PBS for 5 minutes at room temperature, then blocked with 1% BSA in 10% negative goat serum for 1 hour at room temperature. Cells were then incubated with Rabbit anti-GRB7 antibody (NBP3-32404) at 1/100 dilution in 1% BSA in PBST overnight at 4 ℃. Goat Anti-Rabbit IgG H&L (iFluor™ 488) was used as the secondary antibody at 1/1,000 dilution. PBS instead of the primary antibody was used as the secondary antibody only control. Nuclear DNA was labelled in blue with DAPI.

Applications for GRB7 Antibody (JE50-05)

Application
Recommended Usage

Flow Cytometry

1:1000

Immunocytochemistry/ Immunofluorescence

1:100

Immunohistochemistry-Paraffin

1:500-1:2000

Western Blot

1:1000

Formulation, Preparation, and Storage

Purification

Protein A purified

Formulation

1*TBS (pH7.4), 0.05% BSA and 40% Glycerol

Preservative

0.05% Sodium Azide

Concentration

1 mg/ml

Shipping

The product is shipped with polar packs. Upon receipt, store it immediately at the temperature recommended below.

Stability & Storage

Store at 4C short term. Aliquot and store at -20C long term. Avoid freeze-thaw cycles.

Background: GRB7

The product of this gene belongs to a small family of adapter proteins that are known to interact with a number of receptor tyrosine kinases and signaling molecules. This gene encodes a growth factor receptor-binding protein that interacts with epidermal growth factor receptor (EGFR) and ephrin receptors. The protein plays a role in the integrin signaling pathway and cell migration by binding with focal adhesion kinase (FAK). Alternative splicing results in multiple transcript variants encoding different isoforms, although the full-length natures of only two of the variants have been determined to date.

Long Name

Growth Factor Receptor-Bound Protein 7

Alternate Names

B47

Gene Symbol

GRB7

Additional GRB7 Products

Product Documents for GRB7 Antibody (JE50-05)

Certificate of Analysis

To download a Certificate of Analysis, please enter a lot number in the search box below.

Product Specific Notices for GRB7 Antibody (JE50-05)

This product is for research use only and is not approved for use in humans or in clinical diagnosis. Primary Antibodies are guaranteed for 1 year from date of receipt.

Loading...
Loading...
Loading...
Loading...
Loading...