Skip to main content

GPI7 Antibody - BSA Free

Novus Biologicals, part of Bio-Techne | Catalog # NBP1-89853

Novus Biologicals, part of Bio-Techne
Catalog #
Availability
Size / Price
Qty
Loading...
NBP1-89853-25ul
NBP1-89853

Key Product Details

Species Reactivity

Validated:

Human

Predicted:

Mouse (92%), Rat (91%). Backed by our 100% Guarantee.

Applications

Immunohistochemistry, Immunohistochemistry-Paraffin

Label

Unconjugated

Antibody Source

Polyclonal Rabbit IgG

Format

BSA Free

Concentration

Concentrations vary lot to lot. See vial label for concentration. If unlisted please contact technical services.

Product Specifications

Immunogen

This antibody was developed against Recombinant Protein corresponding to amino acids: VEYDGTTSFFVSDYTEVDNNVTRHLDKVLKRGDWDILILHYLGLDHIGHISGPNSPLIGQKLSEMDSVLMKIHTSLQSKERETPLPNLLVLCGDHGMSETGSHGASSTEEVNTPLILISSAFERKPGDIRHPKHVQQTDVA

Reactivity Notes

Reactivity reported in scientific literature (PMID: 23435261)

Clonality

Polyclonal

Host

Rabbit

Isotype

IgG

Description

Novus Biologicals Rabbit GPI7 Antibody - BSA Free (NBP1-89853) is a polyclonal antibody validated for use in IHC. Anti-GPI7 Antibody: Cited in 1 publication. All Novus Biologicals antibodies are covered by our 100% guarantee.

Scientific Data Images for GPI7 Antibody - BSA Free

GPI7 Antibody - BSA Free Immunohistochemistry-Paraffin: GPI7 Antibody - BSA Free [NBP1-89853]

Immunohistochemistry-Paraffin: GPI7 Antibody - BSA Free [NBP1-89853]

Staining of human cerebral cortex shows moderate cytoplasmic positivity in neurons.
GPI7 Antibody - BSA Free Immunohistochemistry-Paraffin: GPI7 Antibody - BSA Free [NBP1-89853]

Immunohistochemistry-Paraffin: GPI7 Antibody - BSA Free [NBP1-89853]

Staining of human duodenum shows strong cytoplasmic positivity in glandular cells and goblet cells.
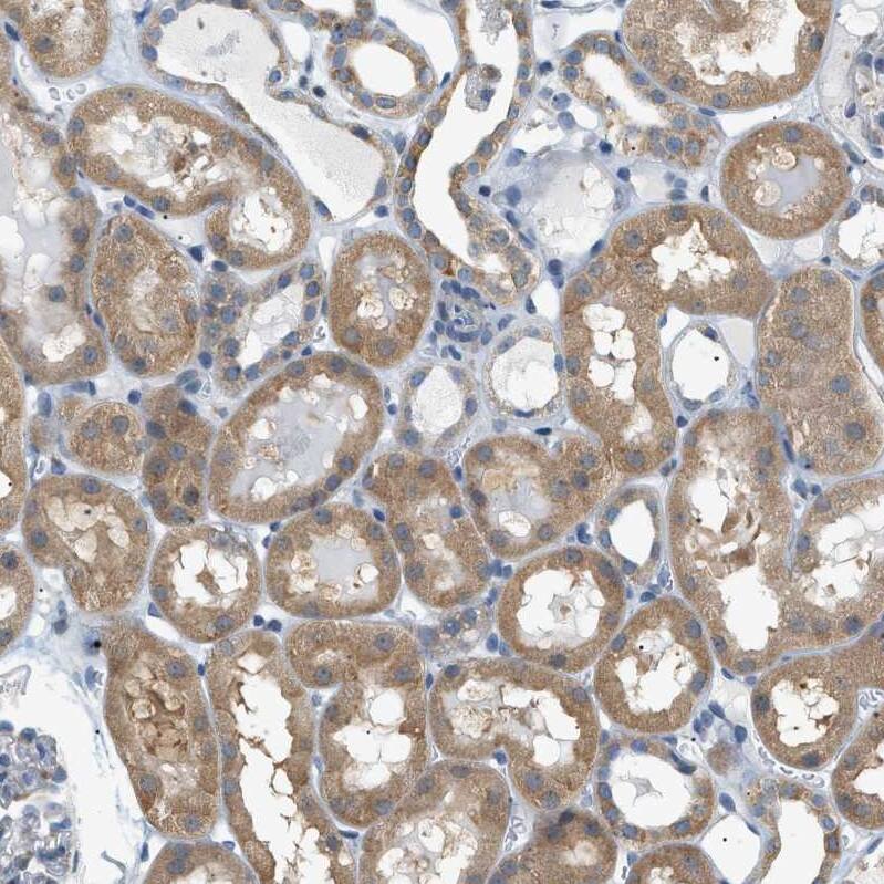
GPI7 Antibody - BSA Free Immunohistochemistry-Paraffin: GPI7 Antibody - BSA Free [NBP1-89853]

Immunohistochemistry-Paraffin: GPI7 Antibody - BSA Free [NBP1-89853]

Staining of human kidney shows moderate cytoplasmic positivity in cells in tubules.

Applications for GPI7 Antibody - BSA Free

Application
Recommended Usage

Immunohistochemistry

1:200 - 1:500

Immunohistochemistry-Paraffin

1:200 - 1:500
Application Notes
For IHC-Paraffin, HIER pH 6 retrieval is recommended.

Formulation, Preparation, and Storage

Purification

Immunogen affinity purified

Formulation

PBS (pH 7.2) and 40% Glycerol

Format

BSA Free

Preservative

0.02% Sodium Azide

Concentration

Concentrations vary lot to lot. See vial label for concentration. If unlisted please contact technical services.

Shipping

The product is shipped with polar packs. Upon receipt, store it immediately at the temperature recommended below.

Stability & Storage

Store at 4C short term. Aliquot and store at -20C long term. Avoid freeze-thaw cycles.

Background: GPI7

Ethanolamine phosphate transferase involved in glycosylphosphatidylinositol-anchor biosynthesis. Transfers ethanolamine phosphate to the GPI second mannose

Alternate Names

DKFZp434A1810, DKFZp434C1712, EC 2.-, FLJ20265, FLJ39925, GPI ethanolamine phosphate transferase 2, GPI7 homolog, GPI7DKFZp434M1131, hGPI7, LAS21, MGC131903, phosphatidylinositol glycan anchor biosynthesis, class G, phosphatidylinositol glycan, class G, Phosphatidylinositol-glycan biosynthesis class G protein, PIG-G, PRO4405, RLGS1930

Gene Symbol

PIGG

Additional GPI7 Products

Product Documents for GPI7 Antibody - BSA Free

Certificate of Analysis

To download a Certificate of Analysis, please enter a lot number in the search box below.

Product Specific Notices for GPI7 Antibody - BSA Free

This product is for research use only and is not approved for use in humans or in clinical diagnosis. Primary Antibodies are guaranteed for 1 year from date of receipt.

Loading...
Loading...
Loading...
Loading...