Skip to main content

Glyoxalase I Antibody (CPTC-GLO1-3)

Novus Biologicals, part of Bio-Techne | Catalog # NBP3-07312

Novus Biologicals, part of Bio-Techne
Catalog #
Availability
Size / Price
Qty
Loading...
NBP3-07312-100ug
NBP3-07312-20ug

Key Product Details

Species Reactivity

Human

Applications

Immunohistochemistry-Paraffin, Western Blot

Label

Unconjugated

Antibody Source

Monoclonal Mouse IgG1 Clone # CPTC-GLO1-3

Concentration

0.2 mg/ml

Product Specifications

Immunogen

Recombinant full-length human Glyoxalase I protein (Uniprot: Q04760)

Localization

Cytoplasm

Clonality

Monoclonal

Host

Mouse

Isotype

IgG1

Description

200ug/ml of antibody purified from Bioreactor Concentrate by Protein A or G. Prepared in 10 mM PBS with 0.05% BSA & 0.05% azide. Also available WITHOUT BSA & azide at 1.0 mg/ml. (NBP3-08556)

Antibody with azide - store at 2 to 8C. Antibody without azide - store at -20 to -80C.

Scientific Data Images for Glyoxalase I Antibody (CPTC-GLO1-3)

Western Blot: Glyoxalase I Antibody (CPTC-GLO1-3) [NBP3-07312]

Western Blot: Glyoxalase I Antibody (CPTC-GLO1-3) [NBP3-07312]

Western Blot: Glyoxalase I Antibody (CPTC-GLO1-3) [NBP3-07312] - Western Blot Analysis of human HeLa and HePG2 cell lysates using Glyoxalase I Mouse Monoclonal Antibody (CPTC-GLO1-3).
Immunohistochemistry-Paraffin: Glyoxalase I Antibody (CPTC-GLO1-3) [NBP3-07312]

Immunohistochemistry-Paraffin: Glyoxalase I Antibody (CPTC-GLO1-3) [NBP3-07312]

Immunohistochemistry-Paraffin: Glyoxalase I Antibody (CPTC-GLO1-3) [NBP3-07312] - Formalin-fixed, paraffin-embedded human thyroid carcinoma stained with Glyoxalase I Mouse Monoclonal Antibody (CPTC-GLO1-3).
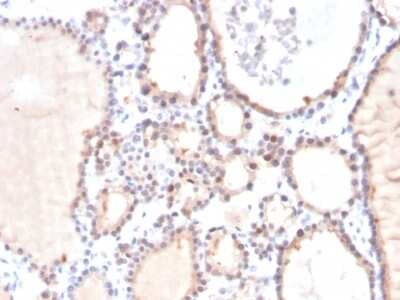
Immunohistochemistry-Paraffin: Glyoxalase I Antibody (CPTC-GLO1-3) [NBP3-07312]

Immunohistochemistry-Paraffin: Glyoxalase I Antibody (CPTC-GLO1-3) [NBP3-07312]

Immunohistochemistry-Paraffin: Glyoxalase I Antibody (CPTC-GLO1-3) [NBP3-07312] - Formalin-fixed, paraffin-embedded human prostate carcinoma stained with Glyoxalase I Mouse Monoclonal Antibody (CPTC-GLO1-3).

Applications for Glyoxalase I Antibody (CPTC-GLO1-3)

Application
Recommended Usage

Immunohistochemistry-Paraffin

1-2 ug/ml

Western Blot

1-2 ug/ml
Application Notes
Immunohistochemistry (Formalin-fixed): 1-2ug/ml for 30 min at RT. Staining of formalin-fixed tissues requires heating tissue sections in 10mM Tris with 1mM EDTA, pH 9.0, for 45 min at 95C followed by cooling at RT for 20 minutes.
Optimal dilution for a specific application should be determined.

Formulation, Preparation, and Storage

Purification

Protein A or G purified

Formulation

10 mM PBS with 0.05% BSA

Preservative

0.05% Sodium Azide

Concentration

0.2 mg/ml

Shipping

The product is shipped with polar packs. Upon receipt, store it immediately at the temperature recommended below.

Stability & Storage

Store at 4C.

Background: Glyoxalase I

Lactoylglutathione lyase, also known as GLO1, is a member of the glyoxalase I family that is responsible for the catalysis and formation of S-lactoyl-glutathione from methylglyoxal condensation and reduced glutatione. It is believed that inactivation of GLO1 in endothelial cells contributes to vascular complications in diabetes. GLO1 has also been shown to extend lifespan in C. elegans, and has been shown to be upregulated in malignant cells.

Alternate Names

Aldoketomutase, GLO1, GLOD1, Glx I, GLYI, Methylglyoxalase

Gene Symbol

GLO1

UniProt

Additional Glyoxalase I Products

Product Documents for Glyoxalase I Antibody (CPTC-GLO1-3)

Certificate of Analysis

To download a Certificate of Analysis, please enter a lot number in the search box below.

Product Specific Notices for Glyoxalase I Antibody (CPTC-GLO1-3)

This product is for research use only and is not approved for use in humans or in clinical diagnosis. Primary Antibodies are guaranteed for 1 year from date of receipt.

Loading...
Loading...
Loading...
Loading...