Skip to main content

Glycophorin A Antibody (GYPA/1725R) - Azide and BSA Free

Novus Biologicals, part of Bio-Techne | Catalog # NBP2-54470

Recombinant Monoclonal Antibody.
Novus Biologicals, part of Bio-Techne

Key Product Details

Species Reactivity

Human

Applications

Immunohistochemistry, Immunohistochemistry-Paraffin, Western Blot

Label

Unconjugated

Antibody Source

Recombinant Monoclonal Rabbit IgG Clone # GYPA/1725R

Format

Azide and BSA Free

Concentration

1 mg/ml

Product Specifications

Immunogen

Recombinant full-length human Glycophorin A protein (Uniprot: P02724)

Localization

Cell surface

Marker

Erythrocyte Marker

Clonality

Monoclonal

Host

Rabbit

Isotype

IgG

Theoretical MW

39 kDa.
Disclaimer note: The observed molecular weight of the protein may vary from the listed predicted molecular weight due to post translational modifications, post translation cleavages, relative charges, and other experimental factors.

Description

1.0 mg/ml of antibody purified by Protein A. Prepared in 10mM PBS WITHOUT BSA & azide. Also available at 200 ug/ml WITH BSA & azide (NBP2-53136).

Antibody with azide - store at 2 to 8C. Antibody without azide - store at -20 to -80C.

Scientific Data Images for Glycophorin A Antibody (GYPA/1725R) - Azide and BSA Free

Western Blot: Glycophorin A Antibody (GYPA/1725R)Azide and BSA Free [NBP2-54470]

Western Blot: Glycophorin A Antibody (GYPA/1725R)Azide and BSA Free [NBP2-54470]

Western Blot: Glycophorin A Antibody (GYPA/1725R) - Azide and BSA Free [NBP2-54470] - Western Blot Analysis of K562 cell lysate using Glycophorin A Rabbit Recombinant Monoclonal Antibody (GYPA/1725R).
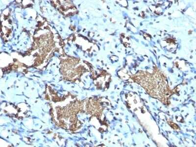
Immunohistochemistry-Paraffin: Glycophorin A Antibody (GYPA/1725R) - Azide and BSA Free [NBP2-54470]

Immunohistochemistry-Paraffin: Glycophorin A Antibody (GYPA/1725R) - Azide and BSA Free [NBP2-54470]

Immunohistochemistry-Paraffin: Glycophorin A Antibody (GYPA/1725R) - Azide and BSA Free [NBP2-54470] - Formalin-fixed, paraffin-embedded human Angiosarcoma stained with Recombinant Rabbit Monoclonal Antibody (GYPA/1725R)

Applications for Glycophorin A Antibody (GYPA/1725R) - Azide and BSA Free

Application
Recommended Usage

Immunohistochemistry-Paraffin

0.25 - 0.5 ug/ml

Western Blot

1-2 ug/ml
Application Notes
Immunohistochemistry (Formalin-fixed): 1-2ug/ml for 30 minutes at RT. Staining of formalin-fixed tissues requires heating tissue sections in 10mM Tris with 1mM EDTA, pH 9.0, for 45 min at 95C followed by cooling at RT for 20 minutes.
Optimal dilution for a specific application should be determined.

Formulation, Preparation, and Storage

Purification

Protein A purified

Formulation

10 mM PBS

Format

Azide and BSA Free

Preservative

No Preservative

Concentration

1 mg/ml

Shipping

The product is shipped with polar packs. Upon receipt, store it immediately at the temperature recommended below.

Stability & Storage

Store at -20 to -80C. Avoid freeze-thaw cycles.

Background: Glycophorin A

Glycophorins A (GPA) and B (GPB) are single pass membrane sialoglycoproteins. GPA is the carrier of blood group M and N specificities, while GPB accounts for S and U specificities. GPA and GPB provide the cells with a large mucin like surface and it has been suggested this provides a barrier to cell fusion, so minimizing aggregation between red blood cells in the circulation.

Alternate Names

CD235a, GPA, GYPA

Gene Symbol

GYPA

Additional Glycophorin A Products

Product Documents for Glycophorin A Antibody (GYPA/1725R) - Azide and BSA Free

Certificate of Analysis

To download a Certificate of Analysis, please enter a lot number in the search box below.

Product Specific Notices for Glycophorin A Antibody (GYPA/1725R) - Azide and BSA Free

This product is for research use only and is not approved for use in humans or in clinical diagnosis. Primary Antibodies are guaranteed for 1 year from date of receipt.

Loading...
Loading...
Loading...
Loading...