Skip to main content

Glutathione Synthetase Antibody - BSA Free

Novus Biologicals, part of Bio-Techne | Catalog # NBP2-99590

Novus Biologicals, part of Bio-Techne

Key Product Details

Species Reactivity

Human

Applications

Immunohistochemistry-Paraffin

Label

Unconjugated

Antibody Source

Polyclonal Rabbit IgG

Format

BSA Free

Concentration

Please see the vial label for concentration. If unlisted please contact technical services.

Product Specifications

Immunogen

Produced in rabbits immunized with a synthetic peptide corresponding to the center region of the Human Glutathione Synthetase.

Clonality

Polyclonal

Host

Rabbit

Isotype

IgG

Description

This antibody can be stored at 2C to 8C for one month without detectable loss of activity. Antibody products are stable for twelve months from date of receipt when stored at -20C to -80C. Avoid repeated freeze-thaw cycles.

Scientific Data Images for Glutathione Synthetase Antibody - BSA Free

Immunohistochemistry-Paraffin: Glutathione Synthetase Antibody [NBP2-99590]

Immunohistochemistry-Paraffin: Glutathione Synthetase Antibody [NBP2-99590]

Immunohistochemistry-Paraffin: Glutathione Synthetase Antibody [NBP2-99590] - Immunochemical staining of human Glutathione Synthetase in human kidney with rabbit polyclonal antibody at 1:1000 dilution, formalin-fixed paraffin embedded sections.
Glutathione Synthetase Antibody - BSA Free

Immunohistochemistry-Paraffin: Glutathione Synthetase Antibody - BSA Free [NBP2-99590] -

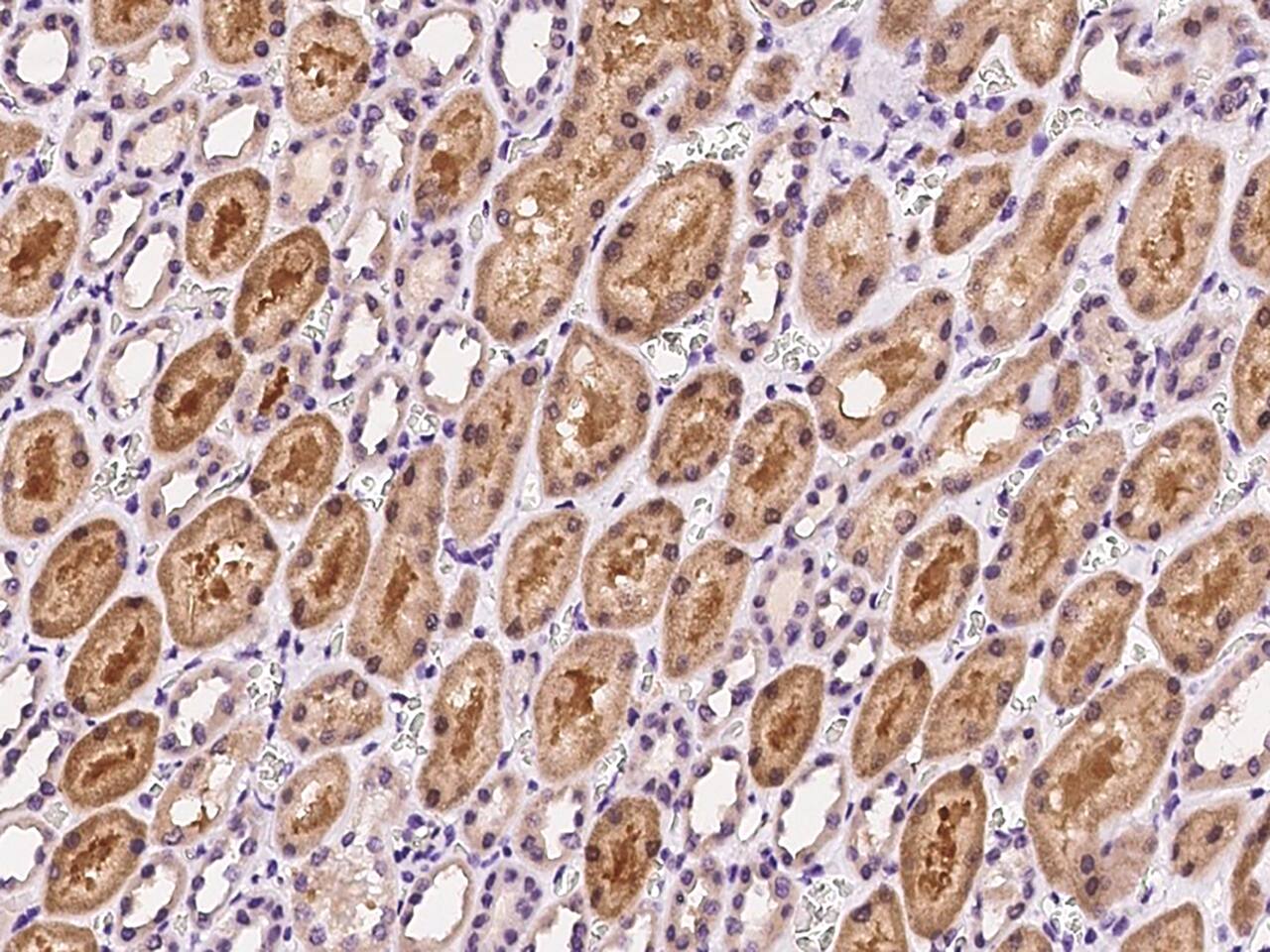
Immunohistochemistry-Paraffin: Glutathione Synthetase Antibody - BSA Free [NBP2-99590] - Immunochemical staining of human Glutathione Synthetase in human kidney with NBP2-99590 at 1:1000 dilution, formalin-fixed paraffin embedded sections.

Applications for Glutathione Synthetase Antibody - BSA Free

Application
Recommended Usage

Immunohistochemistry-Paraffin

1:500-1:2000

Formulation, Preparation, and Storage

Purification

Antigen and protein A Affinity-purified

Formulation

PBS

Format

BSA Free

Preservative

0.03% Proclin 300

Concentration

Please see the vial label for concentration. If unlisted please contact technical services.

Shipping

The product is shipped with polar packs. Upon receipt, store it immediately at the temperature recommended below.

Stability & Storage

Store at 4C short term. Aliquot and store at -20C long term. Avoid freeze-thaw cycles.

Background: Glutathione Synthetase

Glutathione is important for a variety of biological functions, including protection of cells from oxidative damage byfree radicals, detoxification of xenobiotics, and membrane transport. The protein encoded by this gene functions as ahomodimer to catalyze the second step of glutathione biosynthesis, which is the ATP-dependent conversion ofgamma-L-glutamyl-L-cysteine to glutathione. Defects in this gene are a cause of glutathione synthetase deficiency.(provided by RefSeq)

Alternate Names

EC 6.3.2.3, Glutathione synthase, glutathione synthetase, GSH synthetase, GSHS, GSH-S, MGC14098

Gene Symbol

GSS

Additional Glutathione Synthetase Products

Product Documents for Glutathione Synthetase Antibody - BSA Free

Certificate of Analysis

To download a Certificate of Analysis, please enter a lot number in the search box below.

Product Specific Notices for Glutathione Synthetase Antibody - BSA Free

This product is for research use only and is not approved for use in humans or in clinical diagnosis. Primary Antibodies are guaranteed for 1 year from date of receipt.

Loading...
Loading...
Loading...
Loading...