Glutathione Synthetase Antibody - BSA Free
Novus Biologicals, part of Bio-Techne | Catalog # NBP2-57177
Key Product Details
Validated by
Orthogonal Validation, Independent Antibodies
Species Reactivity
Validated:
Human
Cited:
Human
Applications
Validated:
Immunohistochemistry, Immunohistochemistry-Paraffin, Western Blot, Immunocytochemistry/ Immunofluorescence, Simple Western
Cited:
Simple Western
Label
Unconjugated
Antibody Source
Polyclonal Rabbit IgG
Format
BSA Free
Concentration
Concentrations vary lot to lot. See vial label for concentration. If unlisted please contact technical services.
Product Specifications
Immunogen
This antibody was developed against a recombinant protein corresponding to the following amino acid sequence: ISEKGSLDQDRRLFVDGQEIAVVYFRDGYMPRQYSLQNWEARLLLERSHAAKCPDIATQLAGTKKVQQELSRPGMLEMLLPG
Reactivity Notes
Mouse (82%), Rat (83%).
Clonality
Polyclonal
Host
Rabbit
Isotype
IgG
Description
Novus Biologicals Rabbit Glutathione Synthetase Antibody - BSA Free (NBP2-57177) is a polyclonal antibody validated for use in IHC, WB, ICC/IF and Simple Western. Anti-Glutathione Synthetase Antibody: Cited in 1 publication. All Novus Biologicals antibodies are covered by our 100% guarantee.
Scientific Data Images for Glutathione Synthetase Antibody - BSA Free
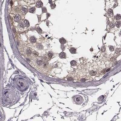
Immunohistochemistry-Paraffin: Glutathione Synthetase Antibody [NBP2-57177]
Immunohistochemistry-Paraffin: Glutathione Synthetase Antibody [NBP2-57177] - Staining of human cerebral cortex, colon, epididymis and testis using Anti-GSS antibody NBP2-57177 (A) shows similar protein distribution across tissues to independent antibody NBP2-30465 (B).Applications for Glutathione Synthetase Antibody - BSA Free
Application
Recommended Usage
Immunocytochemistry/ Immunofluorescence
0.25-2 ug/ml
Immunohistochemistry
1:200 - 1:500
Immunohistochemistry-Paraffin
1:200 - 1:500
Simple Western
Referenced in scientific literature (PMID: 32026202)
Western Blot
0.04-0.4 ug/ml
Application Notes
For IHC-Paraffin, HIER pH 6 retrieval is recommended. ICC/IF Fixation Permeabilization: Use PFA/Triton X-100.
See Simple Western Antibody Database for Simple Western validation: separated by Size
See Simple Western Antibody Database for Simple Western validation: separated by Size
Formulation, Preparation, and Storage
Purification
Affinity purified
Formulation
PBS (pH 7.2) and 40% Glycerol
Format
BSA Free
Preservative
0.02% Sodium Azide
Concentration
Concentrations vary lot to lot. See vial label for concentration. If unlisted please contact technical services.
Shipping
The product is shipped with polar packs. Upon receipt, store it immediately at the temperature recommended below.
Stability & Storage
Store at 4C short term. Aliquot and store at -20C long term. Avoid freeze-thaw cycles.
Background: Glutathione Synthetase
Alternate Names
EC 6.3.2.3, Glutathione synthase, glutathione synthetase, GSH synthetase, GSHS, GSH-S, MGC14098
Gene Symbol
GSS
Additional Glutathione Synthetase Products
Product Documents for Glutathione Synthetase Antibody - BSA Free
Product Specific Notices for Glutathione Synthetase Antibody - BSA Free
This product is for research use only and is not approved for use in humans or in clinical diagnosis. Primary Antibodies are guaranteed for 1 year from date of receipt.
Loading...
Loading...
Loading...
Loading...