Skip to main content

Glutathione Synthetase Antibody (JB95-33)

Novus Biologicals, part of Bio-Techne | Catalog # NBP2-75513

Recombinant Monoclonal Antibody.
Novus Biologicals, part of Bio-Techne
Catalog #
Availability
Size / Price
Qty
Loading...
NBP2-75513

Key Product Details

Species Reactivity

Validated:

Human, Mouse, Rat

Cited:

Rat

Applications

Validated:

Flow Cytometry, Immunocytochemistry/ Immunofluorescence, Immunohistochemistry, Immunohistochemistry-Paraffin, Western Blot

Cited:

Western Blot

Label

Unconjugated

Antibody Source

Recombinant Monoclonal Rabbit IgG Clone # JB95-33 expressed in HEK293

Concentration

1 mg/ml

Product Specifications

Immunogen

Recombinant protein within Human Glutathione Synthetase aa 301-420 / 474. (SwissProt: P48637 Human; SwissProt: P51855 Mouse; SwissProt: P46413 Rat)

Localization

Cytosol. Extracellular region or secreted.

Clonality

Monoclonal

Host

Rabbit

Isotype

IgG

Theoretical MW

52 kDa.
Disclaimer note: The observed molecular weight of the protein may vary from the listed predicted molecular weight due to post translational modifications, post translation cleavages, relative charges, and other experimental factors.

Description

Novus Biologicals Rabbit Glutathione Synthetase Antibody (JB95-33) (NBP2-75513) is a recombinant monoclonal antibody validated for use in IHC, WB, Flow and ICC/IF. All Novus Biologicals antibodies are covered by our 100% guarantee.

Scientific Data Images for Glutathione Synthetase Antibody (JB95-33)

Western Blot: Glutathione Synthetase Antibody (JB95-33) [NBP2-75513]

Western Blot: Glutathione Synthetase Antibody (JB95-33) [NBP2-75513]

Western Blot: Glutathione Synthetase Antibody (JB95-33) [NBP2-75513] - Analysis of Glutathione Synthetase on different lysates using anti-Glutathione Synthetase antibody at 1/500 dilution.Positive control:Lane 1: SiHa Lane 2: Mouse colonLane 3: Rat liver
Immunocytochemistry/ Immunofluorescence: Glutathione Synthetase Antibody (JB95-33) [NBP2-75513]

Immunocytochemistry/ Immunofluorescence: Glutathione Synthetase Antibody (JB95-33) [NBP2-75513]

Immunocytochemistry/Immunofluorescence: Glutathione Synthetase Antibody (JB95-33) [NBP2-75513] - Staining Glutathione Synthetase in LOVO cells (green). The nuclear counter stain is DAPI (blue). Cells were fixed in paraformaldehyde, permeabilised with 0.25% Triton X100/PBS.
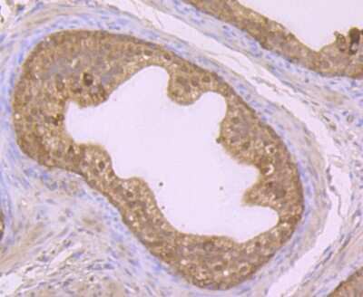
Immunohistochemistry-Paraffin: Glutathione Synthetase Antibody (JB95-33) [NBP2-75513]

Immunohistochemistry-Paraffin: Glutathione Synthetase Antibody (JB95-33) [NBP2-75513]

Immunohistochemistry-Paraffin: Glutathione Synthetase Antibody (JB95-33) [NBP2-75513] - Analysis of paraffin-embedded rat epididymis tissue using anti-Glutathione Synthetase antibody. Counter stained with hematoxylin.

Applications for Glutathione Synthetase Antibody (JB95-33)

Application
Recommended Usage

Flow Cytometry

1:50-1:100

Immunocytochemistry/ Immunofluorescence

1:50-1:200

Immunohistochemistry-Paraffin

1:50-1:200

Western Blot

1:500-1:1000

Formulation, Preparation, and Storage

Purification

Protein A purified

Formulation

TBS (pH7.4), 0.05% BSA, 40% Glycerol

Preservative

0.05% Sodium Azide

Concentration

1 mg/ml

Shipping

The product is shipped with polar packs. Upon receipt, store it immediately at the temperature recommended below.

Stability & Storage

Store at 4C short term. Aliquot and store at -20C long term. Avoid freeze-thaw cycles.

Background: Glutathione Synthetase

Glutathione is important for a variety of biological functions, including protection of cells from oxidative damage byfree radicals, detoxification of xenobiotics, and membrane transport. The protein encoded by this gene functions as ahomodimer to catalyze the second step of glutathione biosynthesis, which is the ATP-dependent conversion ofgamma-L-glutamyl-L-cysteine to glutathione. Defects in this gene are a cause of glutathione synthetase deficiency.(provided by RefSeq)

Alternate Names

EC 6.3.2.3, Glutathione synthase, glutathione synthetase, GSH synthetase, GSHS, GSH-S, MGC14098

Gene Symbol

GSS

Additional Glutathione Synthetase Products

Product Documents for Glutathione Synthetase Antibody (JB95-33)

Certificate of Analysis

To download a Certificate of Analysis, please enter a lot number in the search box below.

Product Specific Notices for Glutathione Synthetase Antibody (JB95-33)

This product is for research use only and is not approved for use in humans or in clinical diagnosis. Primary Antibodies are guaranteed for 1 year from date of receipt.

Loading...
Loading...
Loading...
Loading...
Loading...