Skip to main content

Glutathione Peroxidase 5 Antibody - BSA Free

Novus Biologicals, part of Bio-Techne | Catalog # NBP3-46178

Novus Biologicals, part of Bio-Techne
Catalog #
Availability
Size / Price
Qty
Loading...
NBP3-46178

Key Product Details

Species Reactivity

Human

Applications

Immunohistochemistry, Western Blot, ELISA

Label

Unconjugated

Antibody Source

Polyclonal Rabbit IgG

Format

BSA Free

Concentration

Please see the vial label for concentration. If unlisted please contact technical services.

Product Specifications

Immunogen

glutathione peroxidase 5(epididymal androgen-related protein). (Uniprot# O75715)

Clonality

Polyclonal

Host

Rabbit

Isotype

IgG

Theoretical MW

25 kDa.
Disclaimer note: The observed molecular weight of the protein may vary from the listed predicted molecular weight due to post translational modifications, post translation cleavages, relative charges, and other experimental factors.

Description

Novus Biologicals Rabbit Glutathione Peroxidase 5 Antibody - BSA Free (NBP3-46178) is a polyclonal antibody validated for use in IHC, WB and ELISA. All Novus Biologicals antibodies are covered by our 100% guarantee.

Scientific Data Images for Glutathione Peroxidase 5 Antibody - BSA Free

Glutathione Peroxidase 5 Antibody - BSA Free

Western Blot: Glutathione Peroxidase 5 Antibody - BSA Free [NBP3-46178] -

Western Blot: Glutathione Peroxidase 5 Antibody - BSA Free [NBP3-46178] - Human testis tissue were subjected to SDS PAGE followed by western blot with (Glutathione Peroxidase 5 antibody) at dilution of 1:200
Glutathione Peroxidase 5 Antibody - BSA Free

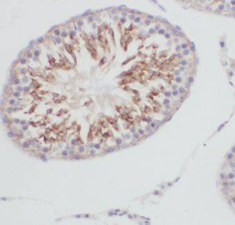
Immunohistochemistry: Glutathione Peroxidase 5 Antibody - BSA Free [NBP3-46178] -

Immunohistochemistry: Glutathione Peroxidase 5 Antibody - BSA Free [NBP3-46178] - Immunohistochemistry of paraffin-embedded human testis using (Glutathione Peroxidase 5 antibody) at dilution of 1:50

Applications for Glutathione Peroxidase 5 Antibody - BSA Free

Application
Recommended Usage

Immunohistochemistry

1:20-1:200

Western Blot

1:500-1:2000

Formulation, Preparation, and Storage

Purification

Immunogen affinity purified

Formulation

PBS, 50% Glycerol, pH (7.3)

Format

BSA Free

Preservative

0.02% Sodium Azide

Concentration

Please see the vial label for concentration. If unlisted please contact technical services.

Shipping

The product is shipped with polar packs. Upon receipt, store it immediately at the temperature recommended below.

Stability & Storage

Store at -20C. Avoid freeze-thaw cycles.

Background: Glutathione Peroxidase 5

Glutathione peroxidase (GPX)/glutathione reductase is part of the hydrogen peroxide scavenging system found within the epididymis in the mammalian male reproductive tract. GPX5 expression is epididymis-specific and the transcript is unique from other GPXs because it contains a deletion resulting in an mRNA that does not contain a selenocysteine (UGA) codon (an unusual amino acid present in other GPXs). This deletion also renders the mRNA incapable of encoding an active GPX isoenzyme. For this reason, GPX5 is selenium-independent and has very little activity towards hydrogen peroxide or organic hydroperoxides. GPX5, which is bound to the acrosome of sperm, may act to protect sperm from premature acrosome reaction in the epididymis. [provided by RefSeq]

Alternate Names

EC 1.11.1, EC 1.11.1.9, EGLP, epididymal androgen-related protein, epididymal secretory glutathione peroxidase, Epididymis-specific glutathione peroxidase-like protein, Glutathione peroxidase 5, glutathione peroxidase 5 (epididymal androgen-related protein), GPx-5, GSHPx-5

Gene Symbol

GPX5

Additional Glutathione Peroxidase 5 Products

Product Documents for Glutathione Peroxidase 5 Antibody - BSA Free

Certificate of Analysis

To download a Certificate of Analysis, please enter a lot number in the search box below.

Product Specific Notices for Glutathione Peroxidase 5 Antibody - BSA Free

This product is for research use only and is not approved for use in humans or in clinical diagnosis. Primary Antibodies are guaranteed for 1 year from date of receipt.

Loading...
Loading...
Loading...
Loading...