Glutaredoxin 1/GLRX1 Antibody - BSA Free
Novus Biologicals, part of Bio-Techne | Catalog # NBP2-55346
Key Product Details
Species Reactivity
Validated:
Human
Predicted:
Mouse (97%), Rat (97%). Backed by our 100% Guarantee.
Applications
Immunohistochemistry, Immunohistochemistry-Paraffin, Western Blot
Label
Unconjugated
Antibody Source
Polyclonal Rabbit IgG
Format
BSA Free
Concentration
Concentrations vary lot to lot. See vial label for concentration. If unlisted please contact technical services.
Product Specifications
Immunogen
This antibody was developed against a recombinant protein corresponding to the following amino acid sequence: IQDYLQQLTGARTVPRVFIGKDCIGGCSDLVS
Clonality
Polyclonal
Host
Rabbit
Isotype
IgG
Description
Novus Biologicals Rabbit Glutaredoxin 1/GLRX1 Antibody - BSA Free (NBP2-55346) is a polyclonal antibody validated for use in IHC and WB. All Novus Biologicals antibodies are covered by our 100% guarantee.
Scientific Data Images for Glutaredoxin 1/GLRX1 Antibody - BSA Free
Western Blot: Glutaredoxin 1/GLRX1 Antibody [NBP2-55346]
Western Blot: Glutaredoxin 1/GLRX1 Antibody [NBP2-55346] - Analysis in human cell line RT-4, human cell line U-251 MG, human plasma, human liver tissue and human tonsil tissue.Immunohistochemistry-Paraffin: Glutaredoxin 1/GLRX1 Antibody [NBP2-55346]
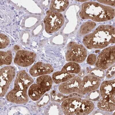
Immunohistochemistry-Paraffin: Glutaredoxin 1/GLRX1 Antibody [NBP2-55346] - Staining of human kidney shows strong cytoplasmic and nuclear positivity in cells in tubules.Western Blot: Glutaredoxin 1/GLRX1 Antibody - BSA Free [NBP2-55346] -
mRNA (A) and protein levels (B) of TRX1 and GLRX1 in control fibroblasts after RSL-3 treatment. A representative Western blot of TRX1 and GLRX1 is also reported. Values are expressed as mean +/- SEM. Statistical analyses were performed by ANOVA and significance was defined as *pApplications for Glutaredoxin 1/GLRX1 Antibody - BSA Free
Application
Recommended Usage
Immunohistochemistry
1:200 - 1:500
Immunohistochemistry-Paraffin
1:200 - 1:500
Western Blot
0.04-0.4 ug/ml
Application Notes
For IHC-Paraffin, HIER pH 6 retrieval is recommended.
Formulation, Preparation, and Storage
Purification
Affinity purified
Formulation
PBS (pH 7.2) and 40% Glycerol
Format
BSA Free
Preservative
0.02% Sodium Azide
Concentration
Concentrations vary lot to lot. See vial label for concentration. If unlisted please contact technical services.
Shipping
The product is shipped with polar packs. Upon receipt, store it immediately at the temperature recommended below.
Stability & Storage
Store at 4C short term. Aliquot and store at -20C long term. Avoid freeze-thaw cycles.
Background: Glutaredoxin 1/GLRX1
Alternate Names
GLRX, Thioltransferase
Gene Symbol
GLRX
Additional Glutaredoxin 1/GLRX1 Products
Product Documents for Glutaredoxin 1/GLRX1 Antibody - BSA Free
Product Specific Notices for Glutaredoxin 1/GLRX1 Antibody - BSA Free
This product is for research use only and is not approved for use in humans or in clinical diagnosis. Primary Antibodies are guaranteed for 1 year from date of receipt.
Loading...
Loading...
Loading...
Loading...