Skip to main content

GHRH Antibody (C2) - BSA Free

Novus Biologicals, part of Bio-Techne | Catalog # NBP3-41494

Novus Biologicals, part of Bio-Techne
Catalog #
Availability
Size / Price
Qty
Loading...
NBP3-41494

Key Product Details

Species Reactivity

Human

Applications

Immunohistochemistry, Immunohistochemistry-Paraffin, Western Blot

Label

Unconjugated

Antibody Source

Monoclonal Mouse IgG2a Kappa Clone # C2

Format

BSA Free

Concentration

1 mg/ml

Product Specifications

Immunogen

Immunized with recombinant Human GHRH (Uniprot#: P01286; Cys19-Gly108 (Uniprot#: P01286)

Clonality

Monoclonal

Host

Mouse

Isotype

IgG2a Kappa

Description

Novus Biologicals Mouse GHRH Antibody (C2) - BSA Free (NBP3-41494) is a monoclonal antibody validated for use in IHC and WB. All Novus Biologicals antibodies are covered by our 100% guarantee.

Scientific Data Images for GHRH Antibody (C2) - BSA Free

GHRH Antibody (C2)

Western Blot: GHRH Antibody (C2) [NBP3-41494] -

Western Blot: GHRH Antibody (C2) [NBP3-41494] - Sample: Recombinant GHRH, Human.
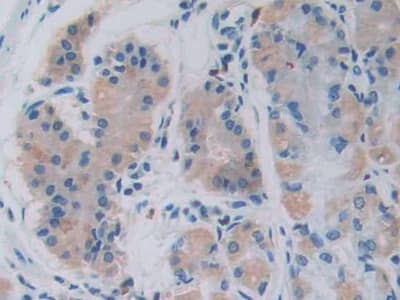
GHRH Antibody (C2)

Immunohistochemistry-Paraffin: GHRH Antibody (C2) [NBP3-41494] -

Immunohistochemistry-Paraffin: GHRH Antibody (C2) [NBP3-41494] - DAB staining on IHC-P; Samples: Human Stomach cancer Tissue; Primary Ab: 40ug/ml NBP3-41494; Second Ab: 2ug/mL HRP-Linked Caprine Anti-Mouse IgG Polyclonal Antibody

Applications for GHRH Antibody (C2) - BSA Free

Application
Recommended Usage

Immunohistochemistry

5-40ug/mL

Immunohistochemistry-Paraffin

5-40ug/mL

Western Blot

0.01-2ug/mL

Formulation, Preparation, and Storage

Purification

Protein A or G purified

Formulation

0.01M PBS, pH7.4, 50% glycerol

Format

BSA Free

Preservative

0.05% Proclin 300

Concentration

1 mg/ml

Shipping

The product is shipped with polar packs. Upon receipt, store it immediately at the temperature recommended below.

Stability & Storage

Store at 4C short term. Aliquot and store at -20C long term. Avoid freeze-thaw cycles.

Background: GHRH

GHRH, also known as Somatoliberin or Growth hormone-releasing hormone, has a 108 amino acid isoform and a 107 amino acid isoform that are 12 kDa, is produced by the hypothalamus and its main function is to stimulate growth hormone release. Disease research is being performed on this proteins involvement in gigantism, isolated growth hormone deficiency due to defect in ghrf, dwarfism, gigantism due to ghrf hypersecretion, zollinger-ellison syndrome, anorexia, nervosa, multiple endocrine neoplasia, polycystic ovary syndrome, short stature, Cushing's syndrome, hypopituitarism, diabetes insipidus, panic disorder, hypothyroidism, somatostatinoma, acromegaly, vipoma, pituitary adenoma, Prader-Willi syndrome, hyperprolactinemia, cancer, lipodystrophy, hypogonadism, diabetes mellitus, and Pseudohypoparathyroidism. This protein has been involved in 55 different pathways such as nuclear receptor activation by vitamin-A, Paxillin Interactions, telomerase components in cell signaling, mitochondrial apoptosis, molecular mechanisms of cancer, antioxidant action of vitamin-C, eIF2 pathway, intracellular calcium signaling, JNK pathway, apoptotic pathways in synovial fibroblasts, ERK5 signaling, Tec kinases signaling, GSK3 signaling, and cellular apoptosis pathway where it interacts with GHRHR, DPP4, FAP, ADCYAP1R1, POMC, NPS, MC4R, ADRB1, and 50 other proteins.

Alternate Names

GHRFsomatocrinin, GRF, growth hormone releasing hormone, Growth hormone-releasing factor, Growth hormone-releasing hormone, INN, MGC119781, sermorelin, Somatocrinin, somatoliberin, somatorelin

Gene Symbol

GHRH

Additional GHRH Products

Product Documents for GHRH Antibody (C2) - BSA Free

Certificate of Analysis

To download a Certificate of Analysis, please enter a lot number in the search box below.

Product Specific Notices for GHRH Antibody (C2) - BSA Free

This product is for research use only and is not approved for use in humans or in clinical diagnosis. Primary Antibodies are guaranteed for 1 year from date of receipt.

Loading...
Loading...
Loading...
Loading...