Skip to main content

GCKR Antibody

Novus Biologicals, part of Bio-Techne | Catalog # NBP2-16623

Novus Biologicals, part of Bio-Techne
Catalog #
Availability
Size / Price
Qty
Loading...
NBP2-16623

Key Product Details

Species Reactivity

Validated:

Human, Mouse

Cited:

Rat

Predicted:

Canine (96%), Rat (92%). Backed by our 100% Guarantee.

Applications

Validated:

Immunohistochemistry, Immunohistochemistry-Paraffin, Western Blot

Cited:

IF/IHC

Label

Unconjugated

Antibody Source

Polyclonal Rabbit IgG

Concentration

Concentrations vary lot to lot. See vial label for concentration. If unlisted please contact technical services.

Product Specifications

Immunogen

Recombinant protein encompassing a sequence within the N-terminus region of human GCKR. The exact sequence is proprietary.

Clonality

Polyclonal

Host

Rabbit

Isotype

IgG

Theoretical MW

69 kDa.
Disclaimer note: The observed molecular weight of the protein may vary from the listed predicted molecular weight due to post translational modifications, post translation cleavages, relative charges, and other experimental factors.

Scientific Data Images for GCKR Antibody

Western Blot: GCKR Antibody [NBP2-16623]

Western Blot: GCKR Antibody [NBP2-16623]

Western Blot: GCKR Antibody [NBP2-16623] - Sample (50 ug of whole cell lysate) A: Mouse Liver, 7. 5% SDS PAGE gel, diluted at 1:1000.
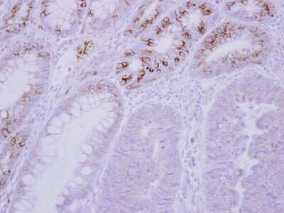
Immunohistochemistry-Paraffin: GCKR Antibody [NBP2-16623]

Immunohistochemistry-Paraffin: GCKR Antibody [NBP2-16623]

Immunohistochemistry-Paraffin: GCKR Antibody [NBP2-16623] - Human normal colon, using GCKR antibody at 1:500 dilution. Antigen Retrieval: Trilogy™ (EDTA based, pH 8.0) buffer, 15min.

Applications for GCKR Antibody

Application
Recommended Usage

Immunohistochemistry

1:100-1:1000

Immunohistochemistry-Paraffin

1:100-1:1000

Western Blot

1:500-1:3000

Formulation, Preparation, and Storage

Purification

Antigen Affinity-purified

Formulation

PBS, 1% BSA, 20% Glycerol

Preservative

0.01% Thimerosal

Concentration

Concentrations vary lot to lot. See vial label for concentration. If unlisted please contact technical services.

Shipping

The product is shipped with polar packs. Upon receipt, store it immediately at the temperature recommended below.

Stability & Storage

Aliquot and store at -20C or -80C. Avoid freeze-thaw cycles.

Background: GCKR

This gene encodes a protein belonging to the GCKR subfamily of the SIS (Sugar ISomerase) family of proteins. The gene product is a regulatory protein that inhibits glucokinase in liver and pancreatic islet cells by binding non-covalently to form an inactive complex with the enzyme. This gene is considered a susceptibility gene candidate for a form of maturity-onset diabetes of the young (MODY). [provided by RefSeq]

Alternate Names

FGQTL5, GKRP, glucokinase (hexokinase 4) regulator, glucokinase (hexokinase 4) regulatory protein, Glucokinase regulator, glucokinase regulatory protein

Gene Symbol

GCKR

UniProt

Additional GCKR Products

Product Documents for GCKR Antibody

Certificate of Analysis

To download a Certificate of Analysis, please enter a lot number in the search box below.

Product Specific Notices for GCKR Antibody

This product is for research use only and is not approved for use in humans or in clinical diagnosis. Primary Antibodies are guaranteed for 1 year from date of receipt.

Loading...
Loading...
Loading...
Loading...

⚠ WARNING: This product can expose you to chemicals including mercury, which is known to the State of California to cause reproductive toxicity with developmental effects.  For more information go to www.P65Warnings.ca.gov.