Skip to main content

G3BP1 Antibody - BSA Free

Novus Biologicals, part of Bio-Techne | Catalog # NBP1-83404

Novus Biologicals, part of Bio-Techne
Catalog #
Availability
Size / Price
Qty
Loading...
NBP1-83404-25ul
NBP1-83404

Key Product Details

Species Reactivity

Validated:

Human, Mouse, Rat

Cited:

Mouse

Applications

Validated:

Immunohistochemistry, Immunohistochemistry-Paraffin, Western Blot, Immunocytochemistry/ Immunofluorescence, Knockdown Validated

Cited:

Western Blot

Label

Unconjugated

Antibody Source

Polyclonal Rabbit IgG

Format

BSA Free

Concentration

Concentrations vary lot to lot. See vial label for concentration. If unlisted please contact technical services.

Product Specifications

Immunogen

This antibody was developed against Recombinant Protein corresponding to amino acids: FRYQDEVFGGFVTEPQEESEEEVEEPEERQQTPEVVPDDSGTFYDQAVVSNDMEEHLEEPVAEPEPDPEPEPEQEPVSEIQEEKPEPVLEETAP

Clonality

Polyclonal

Host

Rabbit

Isotype

IgG

Scientific Data Images for G3BP1 Antibody - BSA Free

Immunocytochemistry/ Immunofluorescence: G3BP1 Antibody [NBP1-83404]

Immunocytochemistry/ Immunofluorescence: G3BP1 Antibody [NBP1-83404]

Immunocytochemistry/Immunofluorescence: G3BP1 Antibody [NBP1-83404] - Staining of human cell line U-251 MG shows localization to cytosol. Antibody staining is shown in green.
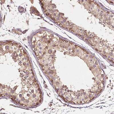
Immunohistochemistry-Paraffin: G3BP1 Antibody [NBP1-83404]

Immunohistochemistry-Paraffin: G3BP1 Antibody [NBP1-83404]

Immunohistochemistry-Paraffin: G3BP1 Antibody [NBP1-83404] - Staining of human testis shows positivity in cells in seminiferous ducts.
Immunohistochemistry-Paraffin: G3BP1 Antibody [NBP1-83404]

Immunohistochemistry-Paraffin: G3BP1 Antibody [NBP1-83404]

Immunohistochemistry-Paraffin: G3BP1 Antibody [NBP1-83404] - Staining of human lymph node shows positivity in lymphoid cells.

Applications for G3BP1 Antibody - BSA Free

Application
Recommended Usage

Immunocytochemistry/ Immunofluorescence

0.25-2 ug/ml

Immunohistochemistry

1:50 - 1:200

Immunohistochemistry-Paraffin

1:50 -1:200

Western Blot

0.04-0.4 ug/ml
Application Notes
WB reported in scientific literature (PMID: 27513819). For IHC-Paraffin, HIER pH 6 retrieval is recommended. ICC/IF, Fixation Permeabilization: Use PFA/Triton X-100.

Formulation, Preparation, and Storage

Purification

Affinity purified

Formulation

PBS (pH 7.2) and 40% Glycerol

Format

BSA Free

Preservative

0.02% Sodium Azide

Concentration

Concentrations vary lot to lot. See vial label for concentration. If unlisted please contact technical services.

Shipping

The product is shipped with polar packs. Upon receipt, store it immediately at the temperature recommended below.

Stability & Storage

Store at 4C short term. Aliquot and store at -20C long term. Avoid freeze-thaw cycles.

Background: G3BP1

G3BP1 encodes one of the DNA-unwinding enzymes which prefers partially unwound 3'-tailed substrates and can also unwind partial RNA/DNA and RNA/RNA duplexes in an ATP-dependent fashion. This enzyme is a member of the heterogeneous nuclear RNA-binding proteins and is also an element of the Ras signal transduction pathway. It binds specifically to the Ras-GTPase-activating protein by associating with its SH3 domain. Several alternatively spliced transcript variants of this gene have been described, but the full-length nature of some of these variants has not been determined.

Alternate Names

ATP-dependent DNA helicase VIII, EC 3.6.1, EC 3.6.4.12, EC 3.6.4.13, G3BP-1, G3BPRas-GTPase-activating protein SH3-domain-binding protein, GAP binding protein, GAP SH3 domain-binding protein 1, GTPase activating protein (SH3 domain) binding protein 1, hDH VIII, HDH-VIII, MGC111040, ras GTPase-activating protein-binding protein 1, RasGAP-associated endoribonuclease G3BP

Gene Symbol

G3BP1

Additional G3BP1 Products

Product Documents for G3BP1 Antibody - BSA Free

Certificate of Analysis

To download a Certificate of Analysis, please enter a lot number in the search box below.

Product Specific Notices for G3BP1 Antibody - BSA Free

This product is for research use only and is not approved for use in humans or in clinical diagnosis. Primary Antibodies are guaranteed for 1 year from date of receipt.

Loading...
Loading...
Loading...
Loading...