Skip to main content

G3BP1 Antibody (JE35-20)

Novus Biologicals, part of Bio-Techne | Catalog # NBP3-32358

Recombinant Monoclonal Antibody
Novus Biologicals, part of Bio-Techne
Catalog #
Availability
Size / Price
Qty
Loading...
NBP3-32358

Key Product Details

Species Reactivity

Human, Mouse, Rat

Applications

Immunocytochemistry/ Immunofluorescence, Immunohistochemistry, Immunohistochemistry-Paraffin, Western Blot

Label

Unconjugated

Antibody Source

Recombinant Monoclonal Rabbit IgG Clone # JE35-20 expressed in HEK293

Concentration

1 mg/ml

Product Specifications

Immunogen

Recombinant protein within Human G3BP1 aa 367-466 / 466. (Uniprot: Q13283)

Localization

Cytoplasm, Nucleus

Clonality

Monoclonal

Host

Rabbit

Isotype

IgG

Theoretical MW

52 kDa.
Disclaimer note: The observed molecular weight of the protein may vary from the listed predicted molecular weight due to post translational modifications, post translation cleavages, relative charges, and other experimental factors.

Description

Novus Biologicals Rabbit G3BP1 Antibody (JE35-20) (NBP3-32358) is a recombinant monoclonal antibody validated for use in IHC, WB and ICC/IF. All Novus Biologicals antibodies are covered by our 100% guarantee.

Scientific Data Images for G3BP1 Antibody (JE35-20)

G3BP1 Antibody (JE35-20)

Western Blot: G3BP1 Antibody (JE35-20) [NBP3-32358]

Western Blot: G3BP1 Antibody (JE35-20) [NBP3-32358] - Western blot analysis of G3BP1 on different lysates with Rabbit anti-G3BP1 antibody (NBP3-32358) at 1/500 dilution.

Lane 1: A549 cell lysate
Lane 2: N2A cell lysate

Lysates/proteins at 10 ug/Lane.

Predicted band size: 52 kDa
Observed band size: 68 kDa

Exposure time: 2 minutes;

10% SDS-PAGE gel.

Proteins were transferred to a PVDF membrane and blocked with 5% NFDM/TBST for 1 hour at room temperature. The primary antibody (NBP3-32358) at 1/500 dilution was used in 5% NFDM/TBST at room temperature for 2 hours. Goat Anti-Rabbit IgG - HRP Secondary Antibody at 1:200,000 dilution was used for 1 hour at room temperature.
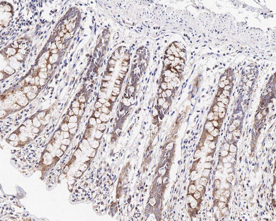
G3BP1 Antibody (JE35-20)

Immunohistochemistry: G3BP1 Antibody (JE35-20) [NBP3-32358]

Immunohistochemistry: G3BP1 Antibody (JE35-20) [NBP3-32358] - Immunohistochemical analysis of paraffin-embedded human colon tissue with Rabbit anti-G3BP1 antibody (NBP3-32358) at 1/200 dilution.

The section was pre-treated using heat mediated antigen retrieval with Tris-EDTA buffer (pH 9.0) for 20 minutes. The tissues were blocked in 1% BSA for 20 minutes at room temperature, washed with ddH2O and PBS, and then probed with the primary antibody (NBP3-32358) at 1/200 dilution for 1 hour at room temperature. The detection was performed using an HRP conjugated compact polymer system. DAB was used as the chromogen. Tissues were counterstained with hematoxylin and mounted with DPX.
G3BP1 Antibody (JE35-20)

Immunocytochemistry/ Immunofluorescence: G3BP1 Antibody (JE35-20) [NBP3-32358]

Immunocytochemistry/ Immunofluorescence: G3BP1 Antibody (JE35-20) [NBP3-32358] - Immunocytochemistry analysis of LOVO cells labeling G3BP1 with Rabbit anti-G3BP11 antibody (NBP3-32358) at 1/50 dilution.

Cells were fixed in 4% paraformaldehyde for 10 minutes at 37 ℃, permeabilized with 0.05% Triton X-100 in PBS for 20 minutes, and then blocked with 2% negative goat serum for 30 minutes at room temperature. Cells were then incubated with Rabbit anti-G3BP1 antibody (NBP3-32358) at 1/50 dilution in 2% negative goat serum overnight at 4 ℃. Goat Anti-Rabbit IgG H&L (iFluor™ 488) was used as the secondary antibody at 1/1,000 dilution. PBS instead of the primary antibody was used as the secondary antibody only control. Nuclear DNA was labelled in blue with DAPI.

Applications for G3BP1 Antibody (JE35-20)

Application
Recommended Usage

Immunocytochemistry/ Immunofluorescence

1:50

Immunohistochemistry-Paraffin

1:200-1:1000

Western Blot

1:500-1:1000

Formulation, Preparation, and Storage

Purification

Protein A purified

Formulation

1*TBS (pH7.4), 0.05% BSA and 40% Glycerol

Preservative

0.05% Sodium Azide

Concentration

1 mg/ml

Shipping

The product is shipped with polar packs. Upon receipt, store it immediately at the temperature recommended below.

Stability & Storage

Store at 4C short term. Aliquot and store at -20C long term. Avoid freeze-thaw cycles.

Background: G3BP1

G3BP1 encodes one of the DNA-unwinding enzymes which prefers partially unwound 3'-tailed substrates and can also unwind partial RNA/DNA and RNA/RNA duplexes in an ATP-dependent fashion. This enzyme is a member of the heterogeneous nuclear RNA-binding proteins and is also an element of the Ras signal transduction pathway. It binds specifically to the Ras-GTPase-activating protein by associating with its SH3 domain. Several alternatively spliced transcript variants of this gene have been described, but the full-length nature of some of these variants has not been determined.

Alternate Names

ATP-dependent DNA helicase VIII, EC 3.6.1, EC 3.6.4.12, EC 3.6.4.13, G3BP-1, G3BPRas-GTPase-activating protein SH3-domain-binding protein, GAP binding protein, GAP SH3 domain-binding protein 1, GTPase activating protein (SH3 domain) binding protein 1, hDH VIII, HDH-VIII, MGC111040, ras GTPase-activating protein-binding protein 1, RasGAP-associated endoribonuclease G3BP

Gene Symbol

G3BP1

Additional G3BP1 Products

Product Documents for G3BP1 Antibody (JE35-20)

Certificate of Analysis

To download a Certificate of Analysis, please enter a lot number in the search box below.

Product Specific Notices for G3BP1 Antibody (JE35-20)

This product is for research use only and is not approved for use in humans or in clinical diagnosis. Primary Antibodies are guaranteed for 1 year from date of receipt.

Loading...
Loading...
Loading...
Loading...