FOXO3 Antibody (CL13589) - Azide and BSA Free
Novus Biologicals, part of Bio-Techne | Catalog # NBP3-43833
Conjugate
Catalog #
Forumulation
Catalog #
Key Product Details
Species Reactivity
Human
Applications
Immunohistochemistry-Paraffin, Western Blot
Label
Unconjugated
Antibody Source
Monoclonal Mouse IgG2A Clone # CL13589
Format
Azide and BSA Free
Concentration
LYOPH mg/ml
Product Specifications
Immunogen
This antibody was generated using a synthetic peptide of O43524, with the exact immunogen sequence remaining proprietary.
Clonality
Monoclonal
Host
Mouse
Isotype
IgG2A
Description
Novus Biologicals Mouse FOXO3 Antibody (CL13589) - Azide and BSA Free (NBP3-24564) is a monoclonal antibody validated for use in IHC and WB. All Novus Biologicals antibodies are covered by our 100% guarantee.
Scientific Data Images for FOXO3 Antibody (CL13589) - Azide and BSA Free
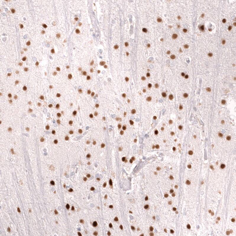
Immunohistochemistry-Paraffin: FOXO3 Antibody [NBP3-43833]
Staining of human anaplastic oligodendroglioma shows strong nuclear positivity in neurons.Immunohistochemistry-Paraffin: FOXO3 Antibody [NBP3-43833]
Staining of human liver shows no nuclear positivity in hepatocytes as expected.Immunohistochemistry-Paraffin: FOXO3 Antibody [NBP3-43833]
Staining of human cerebral cortex shows strong nuclear positivity in neurons.Applications for FOXO3 Antibody (CL13589) - Azide and BSA Free
Application
Recommended Usage
Immunohistochemistry-Paraffin
1:50 - 1:200
Western Blot
1 ug/ml
Application Notes
For IHC-Paraffin, we recommend using Heat-Induced Epitope Retrieval (HIER) with a pH level of 6. This optimized retrieval method ensures the best results for your experiments.
Formulation, Preparation, and Storage
Purification
Protein A purified
Reconstitution
Centrifuge the vial of lyophilized antibody at 12,000 x g for 20 seconds. Reconstitute by adding sterile, distilled water to achieve a final antibody concentration of 1mg/ml.
Formulation
Lyophilized from a 0.2 um filtered solution in PBS with Trehalose
Format
Azide and BSA Free
Preservative
No Preservative
Concentration
LYOPH mg/ml
Shipping
The product is shipped at ambient temperature. Upon receipt, store it immediately at the temperature recommended below.
Stability & Storage
Store at 4C short term. Aliquot and store at -20C long term. Avoid freeze-thaw cycles.
Background: FoxO3
Long Name
Forkhead Box O3
Alternate Names
AF6q21, FKHRL1, FKHRL1P2, FOXO3A
Gene Symbol
FOXO3
Additional FoxO3 Products
Product Documents for FOXO3 Antibody (CL13589) - Azide and BSA Free
Product Specific Notices for FOXO3 Antibody (CL13589) - Azide and BSA Free
This product is for research use only and is not approved for use in humans or in clinical diagnosis. Primary Antibodies are guaranteed for 1 year from date of receipt.
Loading...
Loading...
Loading...
Loading...
Loading...