Skip to main content

FOXO3 Antibody (CL13589) - BSA Free

Novus Biologicals, part of Bio-Techne | Catalog # NBP3-24564

Novus Biologicals, part of Bio-Techne
Catalog #
Availability
Size / Price
Qty
Loading...
NBP3-24564-25ul
NBP3-24564-100ul

Key Product Details

Species Reactivity

Validated:

Human

Predicted:

Mouse (100%), Rat (100%). Backed by our 100% Guarantee.

Applications

Immunohistochemistry, Immunohistochemistry-Paraffin, Western Blot

Label

Unconjugated

Antibody Source

Monoclonal Mouse IgG2A Clone # CL13589

Format

BSA Free

Concentration

Concentrations vary lot to lot. See vial label for concentration. If unlisted please contact technical services.

Product Specifications

Immunogen

This antibody was developed using a synthetic peptide derived from O43524, with the exact immunogen sequence remaining proprietary.

Clonality

Monoclonal

Host

Mouse

Isotype

IgG2A

Description

Novus Biologicals Mouse FOXO3 Antibody (CL13589) - BSA Free (NBP3-24564) is a monoclonal antibody validated for use in IHC and WB. All Novus Biologicals antibodies are covered by our 100% guarantee.

Scientific Data Images for FOXO3 Antibody (CL13589) - BSA Free

Immunohistochemistry-Paraffin: FOXO3 Antibody (CL13589) [NBP3-24564]

Staining of human gastrointestinal shows weak to moderate nuclear positivity in glandular cells.

Western Blot: FOXO3 Antibody (CL13589) [NBP3-24564]

Western blot analysis in human cell line SH-SY5Y.

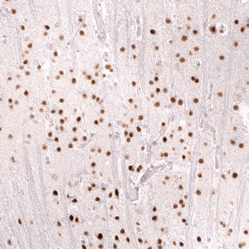
Immunohistochemistry-Paraffin: FOXO3 Antibody (CL13589) [NBP3-24564]

Staining of human anaplastic oligodendroglioma shows strong nuclear positivity in neurons.

Applications for FOXO3 Antibody (CL13589) - BSA Free

Application
Recommended Usage

Immunohistochemistry

1:50 - 1:200

Immunohistochemistry-Paraffin

1:50 - 1:200

Western Blot

1ug/ml
Application Notes
For IHC-Paraffin, we recommend using Heat-Induced Epitope Retrieval (HIER) with a pH level of 6. This optimized retrieval method ensures the best results for your experiments.

Formulation, Preparation, and Storage

Purification

Protein A purified

Formulation

PBS (pH 7.2) and 40% Glycerol

Format

BSA Free

Preservative

0.02% Sodium Azide

Concentration

Concentrations vary lot to lot. See vial label for concentration. If unlisted please contact technical services.

Shipping

The product is shipped with polar packs. Upon receipt, store it immediately at the temperature recommended below.

Stability & Storage

Store at 4C short term. Aliquot and store at -20C long term. Avoid freeze-thaw cycles.

Background: FoxO3

FOX3 probably functions as a trigger for apoptosis through expression of genes necessary for cell death. Translocation of the FOXO3 gene with the MLL gene is associated with secondary acute leukemia.

Long Name

Forkhead Box O3

Alternate Names

AF6q21, FKHRL1, FKHRL1P2, FOXO3A

Gene Symbol

FOXO3

Additional FoxO3 Products

Product Documents for FOXO3 Antibody (CL13589) - BSA Free

Certificate of Analysis

To download a Certificate of Analysis, please enter a lot number in the search box below.

Product Specific Notices for FOXO3 Antibody (CL13589) - BSA Free

This product is for research use only and is not approved for use in humans or in clinical diagnosis. Primary Antibodies are guaranteed for 1 year from date of receipt.

Loading...
Loading...
Loading...
Loading...