Skip to main content

FoxO1/FKHR Antibody - BSA Free

Novus Biologicals, part of Bio-Techne | Catalog # NB100-81924

Novus Biologicals, part of Bio-Techne
Catalog #
Availability
Size / Price
Qty
Loading...
NB100-81924
NB100-81924-0.025ml

Key Product Details

Species Reactivity

Human, Mouse, Rat

Applications

Immunocytochemistry/ Immunofluorescence, Immunohistochemistry, Immunohistochemistry-Paraffin, Western Blot

Label

Unconjugated

Antibody Source

Polyclonal Rabbit IgG

Format

BSA Free

Concentration

1.0 mg/ml

Product Specifications

Immunogen

Peptide sequence around amino acids 254~258 (A-A-S-M-D) derived from Human FoxO1/FKHR

Specificity

Detects endogenous level of total FoxO1/FKHR protein

Clonality

Polyclonal

Host

Rabbit

Isotype

IgG

Theoretical MW

80 kDa.
Disclaimer note: The observed molecular weight of the protein may vary from the listed predicted molecular weight due to post translational modifications, post translation cleavages, relative charges, and other experimental factors.

Description

Novus Biologicals Rabbit FoxO1/FKHR Antibody - BSA Free (NB100-81924) is a polyclonal antibody validated for use in IHC, WB and ICC/IF. All Novus Biologicals antibodies are covered by our 100% guarantee.

Scientific Data Images for FoxO1/FKHR Antibody - BSA Free

Western Blot: FoxO1/FKHR Antibody [NB100-81924] -

Western Blot: FoxO1/FKHR Antibody [NB100-81924] - Analysis of extracts from Hela cells using NB100-81924
FoxO1/FKHR Antibody - BSA Free

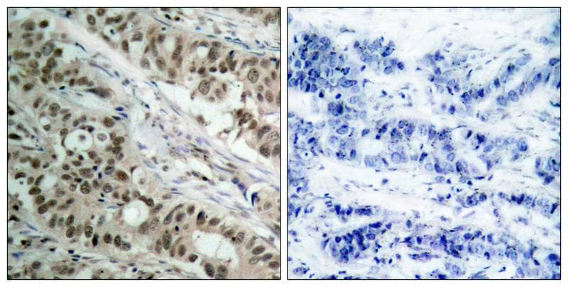
Immunohistochemistry-Paraffin: FoxO1/FKHR Antibody [NB100-81924] -

Immunohistochemistry-Paraffin: FoxO1/FKHR Antibody [NB100-81924] - Immunohistochemical analysis of paraffin-embedded human breast carcinoma tissue using NB100-81924(left) or the same antibody preincubated with blocking peptide(right).
FoxO1/FKHR Antibody - BSA Free

Immunocytochemistry/Immunofluorescence: FoxO1/FKHR Antibody [NB100-81924] -

Immunocytochemistry/Immunofluorescence: FoxO1/FKHR Antibody [NB100-81924] - Staining of methanol-fixed Hela cells using NB100-81924

Applications for FoxO1/FKHR Antibody - BSA Free

Application
Recommended Usage

Immunocytochemistry/ Immunofluorescence

1:100-1:200

Immunohistochemistry

1:50-1:100

Immunohistochemistry-Paraffin

1:50-1:100

Western Blot

1:500-1:1000

Formulation, Preparation, and Storage

Purification

Immunogen affinity purified

Formulation

PBS (without Mg2+ and Ca2+), pH 7.4, 150 mM NaCl, 50% glycerol

Format

BSA Free

Preservative

0.02% Sodium Azide

Concentration

1.0 mg/ml

Shipping

The product is shipped with polar packs. Upon receipt, store it immediately at the temperature recommended below.

Stability & Storage

Store at 4C short term. Aliquot and store at -20C long term. Avoid freeze-thaw cycles.

Background: FoxO1/FKHR

FOXO1A (FKHR or ForkHead in Rhabdomyosarcoma) is a 70 kDa protein which is a member of a subfamily of the forkhead homeotic gene family of transcription factors. Recent studies have shown that this protein can act as either a coactivator or a corepressor of nuclear receptor activity. This action is mediated through the LXXLL motif found in the C terminus of the FOXO1A protein. The specific function of the gene has not yet been determined; however, it may play a role in myogenic growth and differentiation. Chromosomal aberrations involving FOXO1A are a cause of rhabdomyosarcoma 2 (RMS2); also known as alveolar rhabdomyosarcoma.

Long Name

Forkhead Box O1

Alternate Names

FKH1, FKHR

Entrez Gene IDs

2308 (Human); 56458 (Mouse); 84482 (Rat)

Gene Symbol

FOXO1

UniProt

Additional FoxO1/FKHR Products

Product Documents for FoxO1/FKHR Antibody - BSA Free

Certificate of Analysis

To download a Certificate of Analysis, please enter a lot number in the search box below.

Product Specific Notices for FoxO1/FKHR Antibody - BSA Free

This product is for research use only and is not approved for use in humans or in clinical diagnosis. Primary Antibodies are guaranteed for 1 year from date of receipt.

Loading...
Loading...
Loading...
Loading...