Skip to main content

Fibrillin 1 Antibody - BSA Free

Novus Biologicals, part of Bio-Techne | Catalog # NBP3-35691

Novus Biologicals, part of Bio-Techne
Catalog #
Availability
Size / Price
Qty
Loading...
NBP3-35691-100ul
NBP3-35691-20ul

Key Product Details

Species Reactivity

Human, Mouse, Rat

Applications

Immunohistochemistry, Immunohistochemistry-Paraffin, Western Blot, ELISA, Immunocytochemistry/ Immunofluorescence

Label

Unconjugated

Antibody Source

Polyclonal Rabbit IgG

Format

BSA Free

Concentration

Please see the vial label for concentration. If unlisted please contact technical services.

Product Specifications

Immunogen

Recombinant fusion protein containing a sequence corresponding to amino acids 360-460 of human Fibrillin 1 (NP_000129.3).

Sequence:
CDAGRCWSPGVTVAPEMCPIRATEDFNKLCSVPMVIPGRPEYPPPPLGPIPPVLPVPPGFPPGPQIPVPRPPVEYLYPSREPPRVLPVNVTDYCQLVRYLC

Clonality

Polyclonal

Host

Rabbit

Isotype

IgG

Theoretical MW

312 kDa.
Disclaimer note: The observed molecular weight of the protein may vary from the listed predicted molecular weight due to post translational modifications, post translation cleavages, relative charges, and other experimental factors.

Scientific Data Images for Fibrillin 1 Antibody - BSA Free

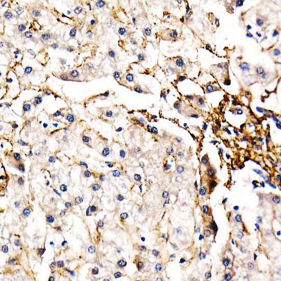
Fibrillin 1 Antibody

Immunohistochemistry: Fibrillin 1 Antibody [NBP3-35691] -

Immunohistochemistry: Fibrillin 1 Antibody [NBP3-35691] - Immunohistochemistry analysis of paraffin-embedded Human testis using Fibrillin 1 Rabbit pAb at dilution of 1:50 (40x lens). High pressure antigen retrieval performed with 0.01M Citrate Bufferr (pH 6.0) prior to IHC staining.
Fibrillin 1 Antibody

Immunocytochemistry/ Immunofluorescence: Fibrillin 1 Antibody [NBP3-35691] -

Immunocytochemistry/ Immunofluorescence: Fibrillin 1 Antibody [NBP3-35691] - Immunofluorescence analysis of NIH-3T3 cells using Fibrillin 1 Rabbit pAb at dilution of 1:100 (40x lens). Secondary antibody: Cy3-conjugated Goat anti-Rabbit IgG (H+L) at 1:500 dilution. Blue: DAPI for nuclear staining.
Fibrillin 1 Antibody

Western Blot: Fibrillin 1 Antibody [NBP3-35691] -

Western Blot: Fibrillin 1 Antibody [NBP3-35691] - Western blot analysis of lysates from Rat pancreas, using Fibrillin 1 Rabbit pAb at 1:1000 dilution.
Secondary antibody: HRP-conjugated Goat anti-Rabbit IgG (H+L) at 1:10000 dilution.
Lysates/proteins: 25ug per lane.
Blocking buffer: 3% nonfat dry milk in TBST.
Detection: ECL Basic Kit.
Exposure time: 90s.

Applications for Fibrillin 1 Antibody - BSA Free

Application
Recommended Usage

ELISA

Recommended starting concentration is 1 μg/mL. Please optimize the concentration based on your specific assay requirements.

Immunocytochemistry/ Immunofluorescence

1:50 - 1:200

Immunohistochemistry-Paraffin

1:50 - 1:200

Western Blot

1:500 - 1:1000

Formulation, Preparation, and Storage

Purification

Affinity purified

Formulation

PBS (pH 7.3), 50% glycerol

Format

BSA Free

Preservative

0.02% Sodium Azide

Concentration

Please see the vial label for concentration. If unlisted please contact technical services.

Shipping

The product is shipped with polar packs. Upon receipt, store it immediately at the temperature recommended below.

Stability & Storage

Store at -20C. Avoid freeze-thaw cycles.

Background: Fibrillin-1/FBN1

Long Name

Fibrillin-1

Alternate Names

ACMICD, Asprosin, Fibrillin 1, GPHYSD2, SSKS, WMS2

Gene Symbol

FBN1

Additional Fibrillin-1/FBN1 Products

Product Documents for Fibrillin 1 Antibody - BSA Free

Certificate of Analysis

To download a Certificate of Analysis, please enter a lot number in the search box below.

Product Specific Notices for Fibrillin 1 Antibody - BSA Free

This product is for research use only and is not approved for use in humans or in clinical diagnosis. Primary Antibodies are guaranteed for 1 year from date of receipt.

Loading...
Loading...
Loading...
Loading...
Loading...