Skip to main content

Fibrillin 1 Antibody (RM463)

Novus Biologicals, part of Bio-Techne | Catalog # NBP3-18833

Recombinant Monoclonal Antibody
Novus Biologicals, part of Bio-Techne
Catalog #
Availability
Size / Price
Qty
Loading...
NBP3-18833

Key Product Details

Species Reactivity

Human

Applications

Immunohistochemistry, Western Blot

Label

Unconjugated

Antibody Source

Recombinant Monoclonal Rabbit IgG Clone # RM463 expressed in HEK293

Concentration

Please see the vial label for concentration. If unlisted please contact technical services.

Product Specifications

Immunogen

Recombinant full-length human Fibrillin 1 protein (Uniprot # P35555)

Clonality

Monoclonal

Host

Rabbit

Isotype

IgG

Description

Novus Biologicals Rabbit Fibrillin 1 Antibody (RM463) (NBP3-18833) is a recombinant monoclonal antibody validated for use in IHC and WB. All Novus Biologicals antibodies are covered by our 100% guarantee.

Scientific Data Images for Fibrillin 1 Antibody (RM463)

Fibrillin 1 Antibody (RM463)

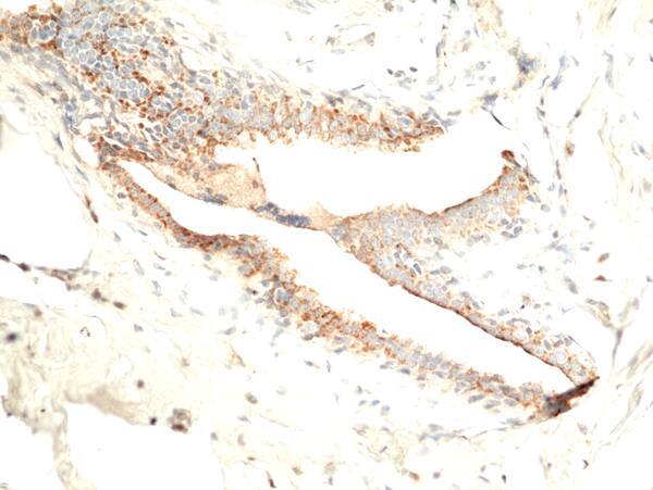
Immunohistochemistry: Fibrillin 1 Antibody (RM463)[NBP3-18833]

Immunohistochemistry: Fibrillin 1 Antibody (RM463)[NBP3-18833]Immunohistochemical staining of formalin fixed and paraffin embedded human breast tissue sections using Anti-Asprosin antibody (RM463) at 1:100 dilution.
Fibrillin 1 Antibody (RM463)

Western Blot: Fibrillin 1 Antibody (RM463) [NBP3-18833] -

Western Blot: Fibrillin 1 Antibody (RM463) [NBP3-18833] - Western Blot of human plasma using Clone RM463 at a 1:25000 dilution.
Fibrillin 1 Antibody (RM463)

Immunohistochemistry-Paraffin: Fibrillin 1 Antibody (RM463) [NBP3-18833] -

Immunohistochemistry-Paraffin: Fibrillin 1 Antibody (RM463) [NBP3-18833] - Immunohistochemical staining of formalin fixed and paraffin embedded human breast tissue sections using RM463 at 1:100 dilution.

Applications for Fibrillin 1 Antibody (RM463)

Application
Recommended Usage

Immunohistochemistry

1:100 - 1:200

Western Blot

1:1000 - 1:25000

Formulation, Preparation, and Storage

Purification

Protein A purified

Formulation

50% Glycerol/PBS, 1% BSA

Preservative

0.09% Sodium Azide

Concentration

Please see the vial label for concentration. If unlisted please contact technical services.

Shipping

The product is shipped with polar packs. Upon receipt, store it immediately at the temperature recommended below.

Stability & Storage

Store at -20C.

Background: Fibrillin-1/FBN1

Long Name

Fibrillin-1

Alternate Names

ACMICD, Asprosin, Fibrillin 1, GPHYSD2, SSKS, WMS2

Gene Symbol

FBN1

Additional Fibrillin-1/FBN1 Products

Product Documents for Fibrillin 1 Antibody (RM463)

Certificate of Analysis

To download a Certificate of Analysis, please enter a lot number in the search box below.

Product Specific Notices for Fibrillin 1 Antibody (RM463)

This product is for research use only and is not approved for use in humans or in clinical diagnosis. Primary Antibodies are guaranteed for 1 year from date of receipt.

Loading...
Loading...
Loading...
Loading...
Loading...