Skip to main content

Fibrillin 1 Antibody (FBN1/2191) - Azide and BSA Free

Novus Biologicals, part of Bio-Techne | Catalog # NBP3-21015

Novus Biologicals, part of Bio-Techne

Key Product Details

Species Reactivity

Human

Applications

Immunohistochemistry-Paraffin

Label

Unconjugated

Antibody Source

Monoclonal Mouse IgG1 kappa Clone # FBN1/2191

Format

Azide and BSA Free

Concentration

1 mg/ml

Product Specifications

Immunogen

Recombinant human Fibrillin 1 fragment around aa 330-476 (Exact sequence is proprietary)

Localization

Extracellular matrix.

Clonality

Monoclonal

Host

Mouse

Isotype

IgG1 kappa

Description

Positive Controls: HepG2 cells. Human kidney or placenta.

Antibody with azide - store at 2 to 8 C. Antibody without azide - store at -20 to -80 C. Non-hazardous. No MSDS required.

Scientific Data Images for Fibrillin 1 Antibody (FBN1/2191) - Azide and BSA Free

Fibrillin 1 Antibody (FBN1/2191) - Azide and BSA Free

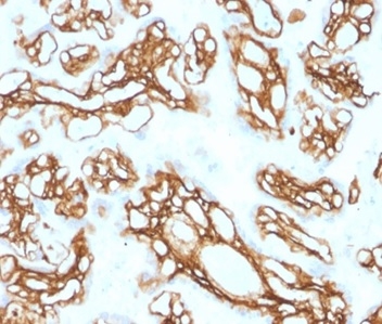
Fibrillin 1 Antibody (FBN1/2191)

Formalin-fixed, paraffin-embedded human kidney stained with Fibrillin 1 antibody (FBN1/2191). HIER: Tris/EDTA, pH9.0, 45min. Secondary: HRP-polymer, 30min. DAB, 5min.
Fibrillin 1 Antibody (FBN1/2191) - Azide and BSA Free

Fibrillin 1 Antibody (FBN1/2191)

Formalin-fixed, paraffin-embedded human placenta stained with Fibrillin 1 antibody (FBN1/2191). HIER: Tris/EDTA, pH9.0, 45min. Secondary: HRP-polymer, 30min. DAB, 5min.

Applications for Fibrillin 1 Antibody (FBN1/2191) - Azide and BSA Free

Application
Recommended Usage

Immunohistochemistry-Paraffin

1-2 ug/ml
Application Notes
Immunohistochemistry (Formalin-fixed): 1-2ug/ml for 30 minutes. at RT. Staining of formalin-fixed tissues requires heating tissue sections in 10mM Tris with 1mM EDTA, pH 9.0, for 45 min at 95C followed by cooling at RT for 20 minutes.

Optimal dilution for a specific application should be determined.

Formulation, Preparation, and Storage

Purification

Protein A or G purified

Formulation

10mM PBS

Format

Azide and BSA Free

Preservative

No Preservative

Concentration

1 mg/ml

Shipping

The product is shipped with polar packs. Upon receipt, store it immediately at the temperature recommended below.

Stability & Storage

Store at -20 to -70C. Avoid freeze-thaw cycles.

Background: Fibrillin-1/FBN1

Long Name

Fibrillin-1

Alternate Names

ACMICD, Asprosin, Fibrillin 1, GPHYSD2, SSKS, WMS2

Gene Symbol

FBN1

Additional Fibrillin-1/FBN1 Products

Product Documents for Fibrillin 1 Antibody (FBN1/2191) - Azide and BSA Free

Certificate of Analysis

To download a Certificate of Analysis, please enter a lot number in the search box below.

Product Specific Notices for Fibrillin 1 Antibody (FBN1/2191) - Azide and BSA Free

This product is for research use only and is not approved for use in humans or in clinical diagnosis. Primary Antibodies are guaranteed for 1 year from date of receipt.

Loading...
Loading...
Loading...
Loading...
Loading...