Skip to main content

FGF-21 Antibody (OTI2F10) - Azide and BSA Free

Novus Biologicals, part of Bio-Techne | Catalog # NBP2-71815

Novus Biologicals, part of Bio-Techne

Key Product Details

Species Reactivity

Human

Applications

Immunohistochemistry, Immunohistochemistry-Paraffin, Western Blot, Flow Cytometry, Immunocytochemistry/ Immunofluorescence, CyTOF-ready

Label

Unconjugated

Antibody Source

Monoclonal Mouse IgG2A Clone # OTI2F10

Format

Azide and BSA Free

Concentration

LYOPH mg/ml

Product Specifications

Immunogen

Human recombinant protein fragment corresponding to amino acids 29-209 of human FGF21(NP_061986) produced in E.coli.

Clonality

Monoclonal

Host

Mouse

Isotype

IgG2A

Description

Novus Biologicals Mouse FGF-21 Antibody (OTI2F10) - Azide and BSA Free (NBP2-00645) is a monoclonal antibody validated for use in IHC, WB, Flow and ICC/IF. All Novus Biologicals antibodies are covered by our 100% guarantee.

Scientific Data Images for FGF-21 Antibody (OTI2F10) - Azide and BSA Free

Western Blot: FGF-21 Antibody (OTI2F10)Azide and BSA Free [NBP2-71815]

Western Blot: FGF-21 Antibody (OTI2F10)Azide and BSA Free [NBP2-71815]

Western Blot: FGF-21 Antibody (OTI2F10) - Azide and BSA Free [NBP2-71815] - HEK293T cells were transfected with the pCMV6-ENTRY control (Left lane) or pCMV6-ENTRY FGF21 (Right lane) cDNA for 48 hrs and lysed. Equivalent amounts of cell lysates (5 ug per lane) were separated by SDS-PAGE and immunoblotted with anti-FGF21.
Immunocytochemistry/ Immunofluorescence: FGF-21 Antibody (OTI2F10) - Azide and BSA Free [NBP2-71815]

Immunocytochemistry/ Immunofluorescence: FGF-21 Antibody (OTI2F10) - Azide and BSA Free [NBP2-71815]

Immunocytochemistry/Immunofluorescence: FGF-21 Antibody (OTI2F10) - Azide and BSA Free [NBP2-71815] - Staining of COS7 cells transiently transfected by pCMV6-ENTRY FGF21(RC204538) at 1:100
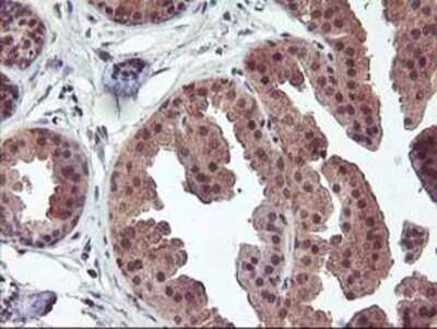
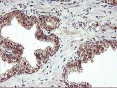
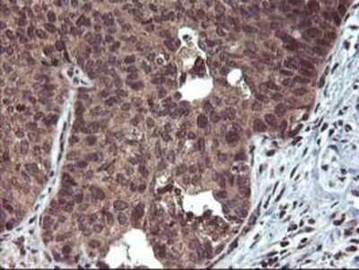
Immunohistochemistry: FGF-21 Antibody (OTI2F10) - Azide and BSA Free [NBP2-71815]

Immunohistochemistry: FGF-21 Antibody (OTI2F10) - Azide and BSA Free [NBP2-71815]

Immunohistochemistry: FGF-21 Antibody (OTI2F10) - Azide and BSA Free [NBP2-71815] - Staining of paraffin-embedded Human pancreas tissue using anti-FGF21 mouse monoclonal antibody.

Applications for FGF-21 Antibody (OTI2F10) - Azide and BSA Free

Application
Recommended Usage

Flow Cytometry

1:100

Immunocytochemistry/ Immunofluorescence

1:50-1:100

Immunohistochemistry

1:150

Immunohistochemistry-Paraffin

1:150

Western Blot

1:2000

Formulation, Preparation, and Storage

Purification

Immunogen affinity purified

Reconstitution

we recommend adding 100uL distilled water to a final antibody concentration of about 1 mg/mL. To use this carrier-free antibody for conjugation experiment, we strongly recommend performing another round of desalting process.

Formulation

Lyophilized from PBS (pH 7.3) with 8% Trehalose

Format

Azide and BSA Free

Preservative

No Preservative

Concentration

LYOPH mg/ml

Shipping

The product is shipped with polar packs. Upon receipt, store it immediately at the temperature recommended below.

Stability & Storage

Store at -20C. Avoid freeze-thaw cycles.

Background: FGF-21

FGF-21 (Fibroblast Growth Factor 21) is a member of an FGF subfamily that also includes FGF-19 and FGF-23. FGF-19 subfamily members lack a heparin binding domain, enabling them to freely circulate as endocrine factors and diffuse within tissues. FGF-21 signals through Klotho beta in complex with FGF receptors. It regulates cellular metabolism including glucose uptake in adipocytes and cellular sensitivity to insulin. It is basally expressed in the pancreas, thymus, liver, and adipose tissue and is upregulated in liver, muscle, and fat in obesity and diabetes. FGF-21 also plays a role in cell survival and proliferation, mesenchymal stem cell differentiation, circadian rhythm, and controlling reproductive capacity.

Long Name

Fibroblast Growth Factor 21

Alternate Names

FGF21

Gene Symbol

fgf21

Additional FGF-21 Products

Product Documents for FGF-21 Antibody (OTI2F10) - Azide and BSA Free

Certificate of Analysis

To download a Certificate of Analysis, please enter a lot number in the search box below.

Product Specific Notices for FGF-21 Antibody (OTI2F10) - Azide and BSA Free

This product is for research use only and is not approved for use in humans or in clinical diagnosis. Primary Antibodies are guaranteed for 1 year from date of receipt.

Loading...
Loading...
Loading...
Loading...
Loading...
Loading...