Skip to main content

FGF-21 Antibody (OTI2F10)

Novus Biologicals, part of Bio-Techne | Catalog # NBP2-00645

Catalog #
Availability
Size / Price
Qty
Loading...
NBP2-00645

Key Product Details

Species Reactivity

Human

Applications

Immunohistochemistry, Immunohistochemistry-Paraffin, Western Blot, Flow Cytometry, Immunocytochemistry/ Immunofluorescence

Label

Unconjugated

Antibody Source

Monoclonal Mouse IgG2A Clone # OTI2F10

Concentration

1.4 mg/ml

Product Specifications

Immunogen

Human recombinant protein fragment corresponding to amino acids 29-209 of human FGF21(NP_061986) produced in E.coli.

Clonality

Monoclonal

Host

Mouse

Isotype

IgG2A

Description

Novus Biologicals Mouse FGF-21 Antibody (OTI2F10) (NBP2-00645) is a monoclonal antibody validated for use in IHC, WB, Flow and ICC/IF. All Novus Biologicals antibodies are covered by our 100% guarantee.

Scientific Data Images for FGF-21 Antibody (OTI2F10)

Western Blot: FGF-21 Antibody (OTI2F10) [NBP2-00645]

Western Blot: FGF-21 Antibody (OTI2F10) [NBP2-00645]

Western Blot: FGF21 Antibody (2F10) [NBP2-00645] - HEK293T cells were transfected with the pCMV6-ENTRY control (Left lane) or pCMV6-ENTRY FGF21 (Right lane) cDNA for 48 hrs and lysed. Equivalent amounts of cell lysates (5 ug per lane) were separated by SDS-PAGE and immunoblotted with anti-FGF21.
Immunocytochemistry/ Immunofluorescence: FGF-21 Antibody (OTI2F10) [NBP2-00645]

Immunocytochemistry/ Immunofluorescence: FGF-21 Antibody (OTI2F10) [NBP2-00645]

Immunocytochemistry/Immunofluorescence: FGF-21 Antibody (2F10) [NBP2-00645] - Anti-FGF21 mouse monoclonal antibody immunofluorescent staining of COS7 cells transiently transfected by pCMV6-ENTRY FGF21(RC204538) at 1:100
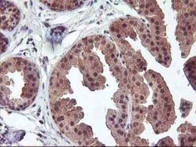
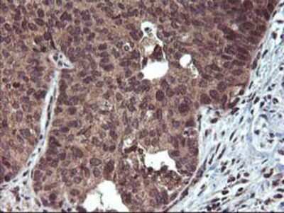
Immunohistochemistry-Paraffin: FGF21 Antibody (2F10) [NBP2-00645] Staining of paraffin-embedded Human tonsil using anti-FGF21 mouse monoclonal antibody.

Applications for FGF-21 Antibody (OTI2F10)

Application
Recommended Usage

Flow Cytometry

1:100

Immunocytochemistry/ Immunofluorescence

1:50-1:100

Immunohistochemistry

1:150

Immunohistochemistry-Paraffin

1:150

Western Blot

1:2000

Formulation, Preparation, and Storage

Purification

Immunogen affinity purified

Formulation

PBS (pH 7.3), 1.0% BSA and 50% Glycerol

Preservative

0.02% Sodium Azide

Concentration

1.4 mg/ml

Shipping

The product is shipped with polar packs. Upon receipt, store it immediately at the temperature recommended below.

Stability & Storage

Store at -20C. Avoid freeze-thaw cycles.

Background: FGF-21

The protein encoded by this gene is a member of the fibroblast growth factor (FGF) family. FGF family members possess broad mitogenic and cell survival activities and are involved in a variety of biological processes including embryonic development, cell growth, morphogenesis, tissue repair, tumor growth and invasion. The function of this growth factor has not yet been determined. [provided by RefSeq].

Long Name

Fibroblast Growth Factor 21

Alternate Names

FGF21

Entrez Gene IDs

26291 (Human)

Gene Symbol

FGF21

Additional FGF-21 Products

Product Documents for FGF-21 Antibody (OTI2F10)

Certificate of Analysis

To download a Certificate of Analysis, please enter a lot number in the search box below.

Product Specific Notices for FGF-21 Antibody (OTI2F10)

This product is for research use only and is not approved for use in humans or in clinical diagnosis. Primary Antibodies are guaranteed for 1 year from date of receipt.

Loading...
Loading...
Loading...
Loading...
Loading...